Skip to content

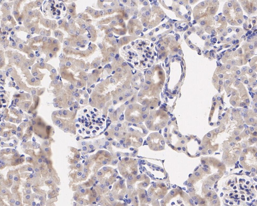
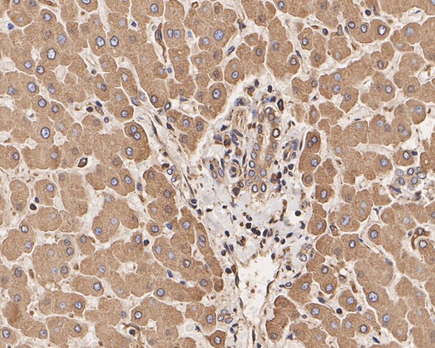
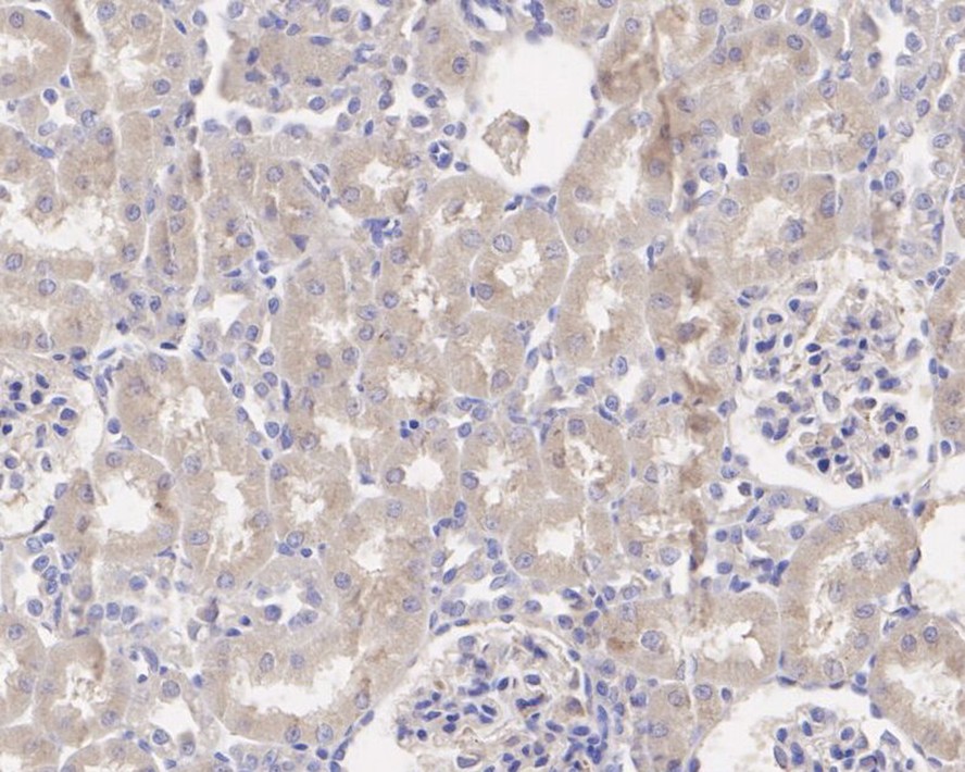
GRP78 / BIP Mouse Monoclonal Antibody [2-7] (M1505-13)

Price: Regular price $350.00

Unit price per 

Volume

Catalog# M1505-13

Mouse Monoclonal to GRP78 / BIP

Tested for
  • WB

  • IF-Cell

  • IHC-P

  • IF-Tissue

  • FC

Reacts with
  • Human

  • Mouse

  • Rat

  • Zebrafish

Close (esc)

Popup

Use this popup to embed a mailing list sign up form. Alternatively use it as a simple call to action with a link to a product or a page.

Age verification

By clicking enter you are verifying that you are old enough to consume alcohol.

Search

Your cart is currently empty.
Shop now