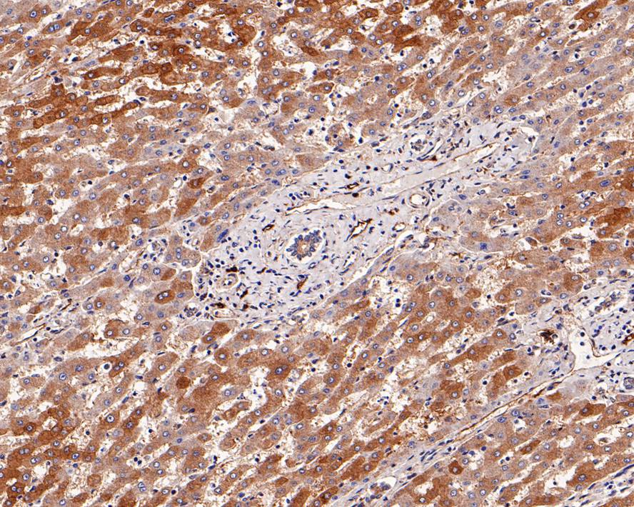
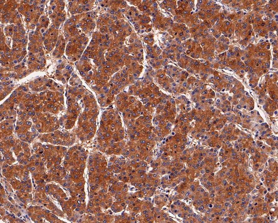
GRAMD1A Mouse Monoclonal Antibody [1-E4] (M1010-3)
Catalog# M1010-3
Mouse Monoclonal to GRAMD1A
Tested for
-
WB
-
IF-Cell
-
IHC-P
Reacts with
-
Human
-
Mouse
This product has been cited in peer reviewed publications, see list HERE