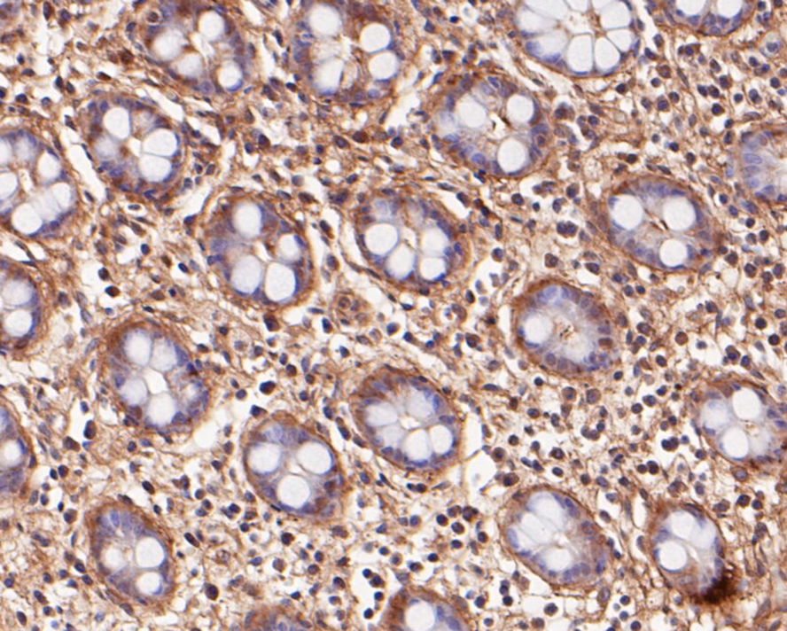
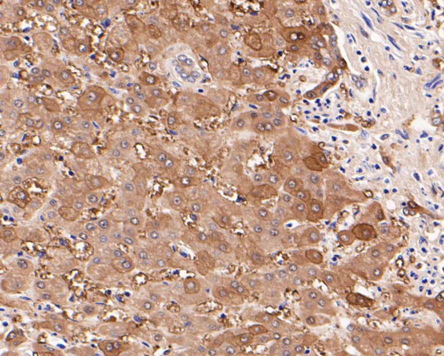
GOT1 Rabbit Polyclonal Antibody (ER1802-48)
Catalog# ER1802-48
Rabbit Polyclonal to GOT1
Tested for
-
WB
-
IHC-P
-
FC
Reacts with
-
Human