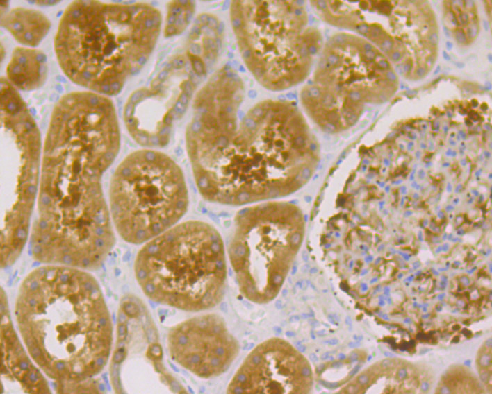
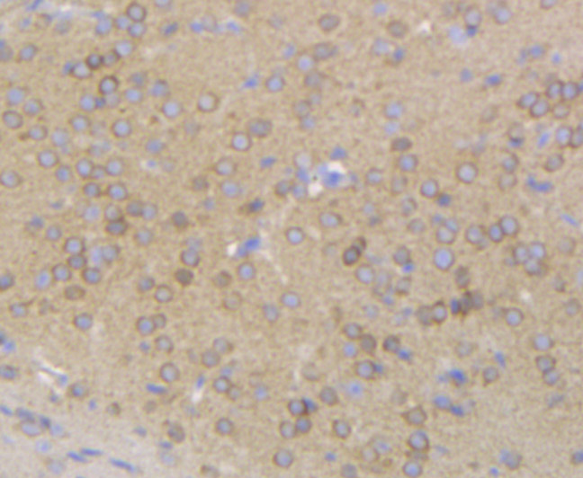
Gephyrin Recombinant Rabbit Monoclonal Antibody [JG34-47] (ET7108-04)
Catalog# ET7108-04
Rabbit Monoclonal to Gephyrin
Tested for
-
WB
-
IHC-P
Reacts with
-
Human
-
Mouse
-
Rat
Recombinant production enables lot-to-lot consistency and is animal-cruelty-free