GAPDH Mouse Monoclonal Antibody [5-E10] (EM1101)
Catalog# EM1101
Mouse Monoclonal to GAPDH
-
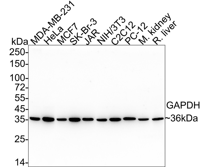
WB
-
IF-Cell
-
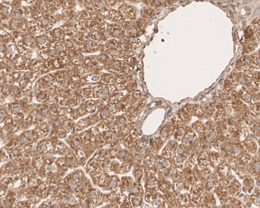
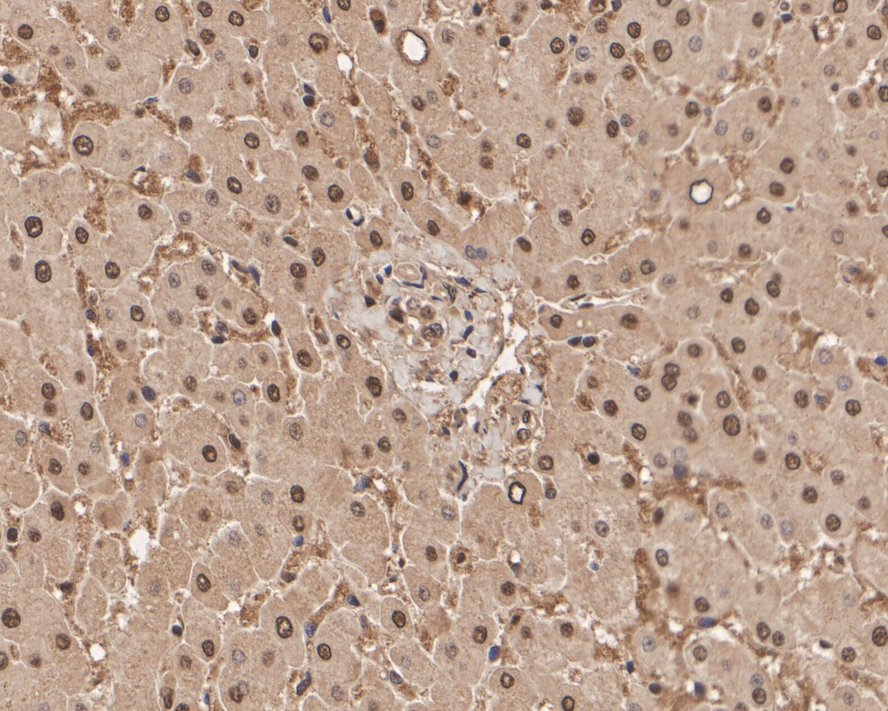
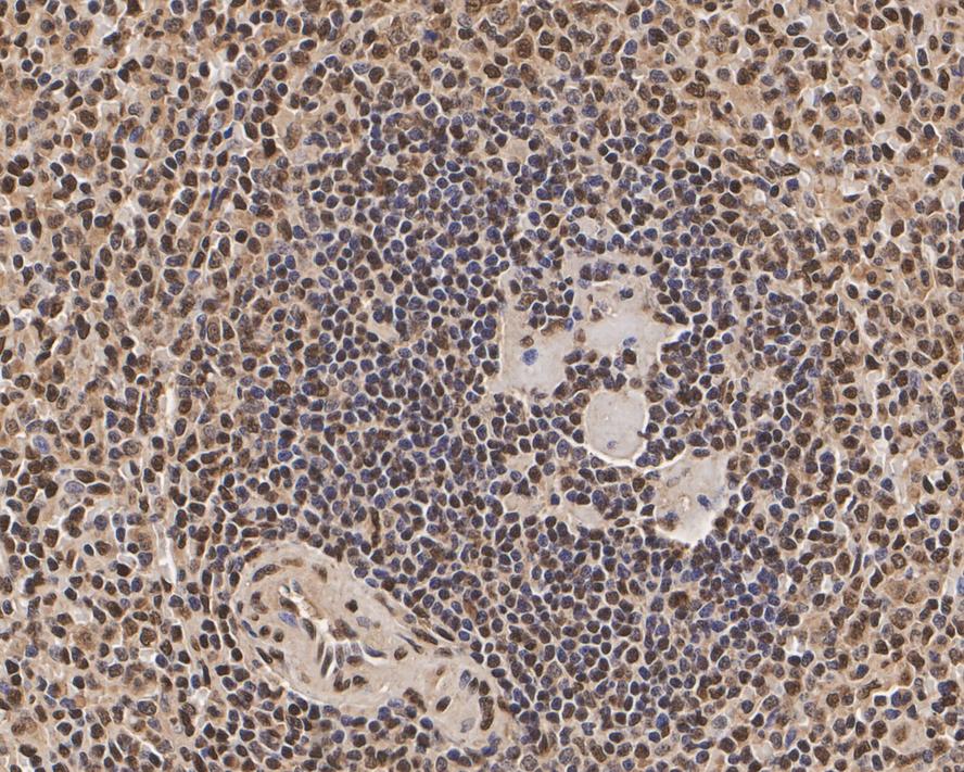
IHC-P
-
Human
-
Mouse
-
Rat
-
Zebrafish
-
Rabbit
Lane 1: MDA-MB-231 cell lysate (20 µg/Lane)
Lane 2: HeLa cell lysate (20 µg/Lane)
Lane 3: MCF7 cell lysate (20 µg/Lane)
Lane 4: SK-Br-3 cell lysate (20 µg/Lane)
Lane 5: JAR cell lysate (20 µg/Lane)
Lane 6: NIH/3T3 cell lysate (20 µg/Lane)
Lane 7: C2C12 cell lysate (20 µg/Lane)
Lane 8: PC-12 cell lysate (20 µg/Lane)
Lane 9: Mouse kidney tissue lysate (40 µg/Lane)
Lane 10: Rat liver tissue lysate (40 µg/Lane)
Predicted band size: 36 kDa
Observed band size: 36 kDa
Exposure time: 1 minute 30 seconds;
4-20% SDS-PAGE gel.
Proteins were transferred to a PVDF membrane and blocked with 5% NFDM/TBST for 1 hour at room temperature. The primary antibody (EM1101) at 1/10,000 dilution was used in 5% NFDM/TBST at room temperature for 2 hours. Goat Anti-Mouse IgG - HRP Secondary Antibody (HA1006) at 1/50,000 dilution was used for 1 hour at room temperature.
Safety datasheet
Select your chosen country/region
- MSDS_HUABIO.pdf
- MSDS_HUABIO.pdf
- MSDS_EM1101_Europe.pdf
- No MSDS Found
COA DOWNLOAD
- No COA Found
Specifications
Product Type
Mouse monoclonal primary
Product Name
GAPDH Mouse Monoclonal Antibody [5-E10] (EM1101)
Immunogen
Synthetic peptide within human gapdh aa 10-50.
Host
Mouse
Positive Control
MDA-MB-231 cell lysate, HeLa cell lysate, MCF7 cell lysate, SK-Br-3 cell lysate, JAR cell lysate, NIH/3T3 cell lysate, C2C12 cell lysate, PC-12 cell lysate, Mouse kidney tissue lysate, Rat liver tissue lysate, HeLa, F9, zebrafish cell/tissue lysates, human liver tissue, mouse liver tissue, human spleen tissue, rat liver tissue, rat spleen tissue.
Conjugation
Unconjugated
Clonality
Monoclonal
Clone Number
5-E10
RRID
APPLICATION DILUTION
-
WB
-
1:10,000-1:50,000
-
IF-Cell
-
1:200-1:500
-
IHC-P:1:200-1:1,000
PROPERTIES
Form
Liquid
Storage Condition
Shipped at 4℃. Store at +4℃ short term (1-2 weeks). It is recommended to aliquot into single-use upon delivery. Store at -20℃ long term.
Storage Buffer
1*PBS (pH7.4), 0.2% BSA, 40% Glycerol. Preservative: 0.05% Sodium Azide.
Concentration
2ug/ul
Purification
Protein L affinity purified.
Molecular Weight
Predicted band size: 36 kDa
Isotype
IgM
TARGET
UNIPROT #
PROTEIN NAME
GAPDH
SYNONYMS
38 kDa BFA-dependent ADP-ribosylation substrate antibody;aging associated gene 9 protein antibody;Aging-associated gene 9 protein antibody;BARS-38 antibody;cb609 antibody;EC 1.2.1.12 antibody;Epididymis secretory sperm binding protein Li 162eP antibody;G3P_HUMAN antibody;G3PD antibody;G3PDH antibody;GAPD antibody;GAPDH antibody;Glyceraldehyde 3 phosphate dehydrogenase antibody;Glyceraldehyde-3-phosphate dehydrogenase antibody;HEL-S-162eP antibody;KNC-NDS6 antibody;MGC102544 antibody;MGC102546 antibody;MGC103190 antibody;MGC103191 antibody;MGC105239 antibody;MGC127711 antibody;MGC88685 antibody;OCAS, p38 component antibody;OCT1 coactivator in S phase, 38-KD component antibody;peptidyl cysteine S nitrosylase GAPDH antibody;Peptidyl-cysteine S-nitrosylase GAPDH antibody;wu:fb33a10 antibody
SEQUENCE SIMILARITIES
Belongs to the glyceraldehyde-3-phosphate dehydrogenase family.
POST-TRANSLATIONAL MODIFICATION
S-nitrosylation of Cys-152 leads to interaction with SIAH1, followed by translocation to the nucleus (By similarity). S-nitrosylation of Cys-247 is induced by interferon-gamma and LDL(ox) implicating the iNOS-S100A8/9 transnitrosylase complex and seems to prevent interaction with phosphorylated RPL13A and to interfere with GAIT complex activity.; ISGylated.; Sulfhydration at Cys-152 increases catalytic activity.; Oxidative stress can promote the formation of high molecular weight disulfide-linked GAPDH aggregates, through a process called nucleocytoplasmic coagulation. Such aggregates can be observed in vivo in the affected tissues of patients with Alzheimer disease or alcoholic liver cirrhosis, or in cell cultures during necrosis. Oxidation at Met-46 may play a pivotal role in the formation of these insoluble structures. This modification has been detected in vitro following treatment with free radical donor (+/-)-(E)-4-ethyl-2-[(E)-hydroxyimino]-5-nitro-3-hexenamide. It has been proposed to destabilize nearby residues, increasing the likelihood of secondary oxidative damages, including oxidation of Tyr-45 and Met-105. This cascade of oxidations may augment GAPDH misfolding, leading to intermolecular disulfide cross-linking and aggregation.; Succination of Cys-152 and Cys-247 by the Krebs cycle intermediate fumarate, which leads to S-(2-succinyl)cysteine residues, inhibits glyceraldehyde-3-phosphate dehydrogenase activity. Fumarate concentration as well as succination of cysteine residues in GAPDH is significantly increased in muscle of diabetic mammals. It was proposed that the S-(2-succinyl)cysteine chemical modification may be a useful biomarker of mitochondrial and oxidative stress in diabetes and that succination of GAPDH and other thiol proteins by fumarate may contribute to the metabolic changes underlying the development of diabetes complications.
SUBCELLULAR LOCATION
Cytoplasm
FUNCTION
GAPDH (Glyceraldehyde-3-phosphate dehydrogenase) has both glyceraldehyde-3-phosphate dehydrogenase and nitrosylase activities, thereby playing a role in glycolysis and nuclear functions, respectively. It participates in nuclear events including transcription, RNA transport, DNA replication and apoptosis. GAPDH is a key enzyme in glycolysis that catalyzes the first step of the pathway by converting D-glyceraldehyde 3-phosphate (G3P) into 3-phospho-D-glyceroyl phosphate.
CITATIONS
-
Pan, G., Zhong, M., Yao, J., Tan, J., Zheng, H., Jiang, Y., Tang, Y., Zhou, H., Qin, D., Yu, X., Liu, L., Li, Z., Lin, Z., Jiang, Y., Xu, B., & Zha, J.
Orelabrutinib and venetoclax synergistically induce cell death in double hit lymphoma by interfering with the crosstalk between the PI3K/AKT and p38/MAPK signaling
-
WB
-
Human
-
Citation
-
-
LASS2 inhibits proliferation and induces apoptosis in HepG2 cells by affecting mitochondrial dynamics, the cell cycle and the nuclear factor‑κB pathways.
-
WB
-
Human
-
Citation
-
-
Jin HQ, Jiang WF, Zheng XT, et al
MiR‐199a‐5p enhances neuronal differentiation of neural stem cells and promotes neurogenesis by targeting Cav‐1 after cerebral ischemia
-
WB
-
Rat
-
Citation
-
-
Zhu, Y., Wang, Y., Tao, B., Han, J., Chen, H., Zhu, Q., Huang, L., He, Y., Hong, J., Li, Y., Chen, J., Huang, J., Lo, L. J., & Peng, J.
Nucleolar GTPase Bms1 displaces Ttf1 from RFB-sites to balance progression of rDNA transcription and replication
-
WB
-
Zebrafish
-
Citation
-
-
Shenshen Zou;Yuancun Liang
Mitochondrial FgEch1 is responsible for conidiation and full virulence in Fusarium graminearum
-
WB
-
Fusarium graminearum
-
Citation
-
-
Yan Jing,et al
The HMGCS2-associated hub genes as promising targets for ulcerative colitis patients
-
WB
-
Human
-
Citation
-
-
Yuanxiao Yang;Changyu Li
The Protective Effect of Shen Qi Wan on Adenine-Induced Podocyte Injury
-
WB
-
Mouse
-
Citation
-
-
Yu Hailiang,et al
Transcriptome analysis reveals that gga-miR-2954 inhibits the inflammatory response against Eimeria tenella infection
-
WB
-
Chicken
-
Citation
-
-
Berbamine reduces body weight via suppression of small GTPase Rab8a activity and activation of paraventricular hypothalamic neurons in obese mice
-
WB
-
Mouse
-
Citation
-
-
Min Liao
Rabies virus phosphoprotein P5 binding to BECN1 regulates self-replication by BECN1-mediated autophagy signaling pathway. Cell communication and signaling : CCS, 18(1), 153.
-
WB
-
CoIP
-
human
-
Citation
-
-
Lijuan Chen,Yiguo Hu
Targeting glutaminase1 and synergizing with clinical drugs achieved more promising antitumor activity on multiple myeloma
-
WB
-
mouse
-
Citation
-
-
Wenchan Chen
The Autophagy Gene BcATG8 Regulates the Vegetative Differentiation and Pathogenicity of Botrytis cinerea
-
WB
-
Botrytis cinerea
-
Citation
-
-
Chen, A., Ren, Y., Han, X., Liu, C., Zhou, Y., Xu, C., Qi, H., Ma, Z., & Chen, Y.
The COP9 signalosome complex regulates fungal development and virulence in the wheat scab fungus Fusarium graminearum
-
WB
-
Citation
-
-
Zhou Shengzhe,et al
An Immune‐Regulating Polysaccharide Hybrid Hydrogel with Mild Photothermal Effect and Anti‐Inflammatory for Accelerating Infected Wound Healing
-
WB
-
Mouse
-
Citation
-
-
Li Bo,et al
The anti-hyperlipidemia effect of Atractylodes macrocephala Rhizome (AM)-increased HDL via reverse cholesterol transfer (RCT)
-
WB
-
Rat
-
Citation
-
-
Boli Hu;Jiyong Zhou
Influenza A Virus Induces Autophagy by Its Hemagglutinin Binding to Cell Surface Heat Shock Protein 90AA1
-
WB
-
CoIP
-
Chicken
-
Citation
-
-
Liu, N., Zhu, M., Zhang, Y., Wang, Z., Li, B., & Ren, W.
Involvement of the Autophagy Protein Atg1 in Development and Virulence in Botryosphaeria dothidea
-
WB
-
Citation
-
-
Dong, J., Zhong, T., Xu, Z., Chen, H., Wang, X., Yang, L., Lou, Z., Xu, Y., Hou, T., Xu, R., Zhu, W., & Shao, J.
Identification of Monobenzone as a Novel Potential Anti-Acute Myeloid Leukaemia Agent That Inhibits RNR and Suppresses Tumour Growth in Mouse Xenograft Model
-
WB
-
Human
-
Citation
-
-
Zhang Ming
Aire Promotes the Self-Renewal of Embryonic Stem Cells Through Lin28
-
WB
-
mouse
-
Citation
-
-
Liang Xue,et al
Suppressing FXR promotes antiviral effects of bile acids via enhancing the interferon transcription
-
WB
-
Human
-
Citation
-
-
He, X., Xie, J., Zhang, J., Wang, X., Jia, X., Yin, H., Qiu, Z., Yang, Z., Chen, J., Ji, Z., Yu, W., Chen, M., Xu, W., & Gao, H.
Acid‐Responsive Dual‐Targeted Nanoparticles Encapsulated Aspirin Rescue the Immune Activation and Phenotype in Autism Spectrum Disorder
-
Mouse
-
Citation
-
-
Tang, G., Yuan, J., Wang, J., Zhang, Y. Z., Xie, S. S., Wang, H., Tao, Z., Liu, H., Kistler, H. C., Zhao, Y., Duan, C. G., Liu, W., Ma, Z., & Chen, Y.
Fusarium BP1 is a reader of H3K27 methylation
-
WB
-
Citation
-
-
Azizullah,et al
The SUMOylation pathway regulates the pathogenicity of Fusarium oxysporum f. sp. niveum in watermelon through stabilizing the pH regulator FonPalC via SUMOylation
-
WB
-
watermelon
-
Citation
-
-
Hu Chen; Zhi-Xiong Jim Xiao
Hotspot mutant p53-R273H inhibits KLF6 expression to promote cell migration and tumor metastasis
-
WB
-
human
-
Citation
-
-
Wu, H., Yang, H., Ji, G., Zheng, T., Zhang, Y., Deng, T., Zheng, X., Zhou, J., & Hu, B.
SUMO1 Modification Facilitates Avibirnavirus Replication by Stabilizing Polymerase VP1. Journal of virology, 93(10), e02227-18.
-
WB
-
Citation
-
-
Chen, Y., Zhang, W., Bai, X., & Liu, Y.
Targeting the transcriptional activity of STAT3 by a novel fusion protein
-
WB
-
Human
-
Citation
-
-
Chen, W., Xu, Z., You, W., Zhou, Y., Wang, L., Huang, Y., & Shan, T.
Cold exposure alters lipid metabolism of skeletal muscle through HIF-1α-induced mitophagy
-
WB
-
Mouse
-
Citation
-
-
Zhu Yufang,et al
Acid-sensing ion channel 1 in nucleus tractus solitarii neurons contributes to the enhanced CO2-stimulated cardiorespiratory effect in spontaneously hypertensive rats
-
WB
-
Rat
-
Citation
-
-
Yanning Liu & Min Zheng
0404 inhibits hepatocellular carcinoma through a p53/miR-34a/ SIRT1 positive feedback loop
-
WB
-
human
-
Citation
-
-
Peng Yuanwen,et al
Deficiency of polypeptide N-acetylgalactosamine transferase 9 contributes to a risk for Parkinson's disease via mitochondrial dysfunctions
-
WB
-
Mouse
-
Citation
-
-
Huang Jie,et al
DP7-C/mir-26a system promotes bone regeneration by remodeling the osteogenic immune microenvironment
-
WB
-
Rat
-
Citation
-
-
Jiyong Zhou
Ubiquitination Is Essential for Avibirnavirus Replication by Supporting VP1 Polymerase Activity
-
WB
-
human
-
Citation
-
-
Dahai Hu
Curcumin pretreatment protects against hypoxia/reoxgenation injury via improvement of mitochondrial function,destabilization of HIF-1α and activation of Epac1-Akt pathway in rat bone marrow mesenchymal stem cells.
-
WB
-
rat
-
Citation
-
-
Ni C, Pan K, Xu J, et al
Effects and mechanism of perinatal nonylphenol exposure on cardiac function and myocardial mitochondria in neonatal rats
-
WB
-
Rat
-
Citation
-
-
Samie R. Jaffrey,Guoqiang Xu
A novel effect of thalidomide and its analogs: suppression of cereblon ubiquitination enhances ubiquitin ligase function
-
WB
-
Human
-
Citation
-
-
Sui Aoran,et al
Scorpion venom heat-resistant synthesized peptide ameliorates epileptic seizures and imparts neuroprotection in rats mediated by NMDA receptors
-
WB
-
Rat
-
Citation
-
-
Feng, Y. L., Liu, Q., Chen, R. D., Liu, S. C., Huang, Z. C., Liu, K. M., Yang, X. Y., & Xie, A. Y.
DNA nicks induce mutational signatures associated with BRCA1 deficiency
-
WB
-
Citation
-
-
Chen Chujiang,et al
METTL3 promotes osteogenic differentiation of human umbilical cord mesenchymal stem cells by upregulating m6A modification of circCTTN
-
WB
-
Citation
-
-
HapX-mediated H2B deub1 and SreA-mediated H2A.Z deposition coordinate in fungal iron resistance
-
Co-IP
-
WB
-
Wheat
-
Citation
-
-
IDO1 can impair NK cells function against non-small cell lung cancer by downregulation of NKG2D Ligand via ADAM10
-
WB
-
Mouse
-
Human
-
Citation
-
-
Li, L., Tao, S., Guo, F., Liu, J., Huang, R., Tan, Z., Zeng, X., Ma, L., & Fu, P.
Genetic and pharmacological inhibition of fatty acid-binding protein 4 alleviated inflammation and early fibrosis after toxin induced kidney injury. International immunopharmacology, 96, 107760. Advance online publication.
-
Xiaojian Wang
Protein Kinase Serine/Threonine Kinase 24 Positively Regulates Interleukin 17-Induced Inflammation by Promoting IKK Complex Activation
-
WB
-
Mouse
-
Citation
-
-
Li Pingping,et al
Identification of naphthalimide-derivatives as novel PBD-targeted polo-like kinase 1 inhibitors with efficacy in drug-resistant lung cancer cells
-
WB
-
Citation
-
-
Wang, X., Li, M., Zhang, X., Li, Y., He, G., Dinnyés, A., Sun, Q., & Xu, W.
CYP11A1 Upregulation Leads to Trophoblast Oxidative Stress and Fetal Neurodevelopmental Toxicity That can be Rescued by Vitamin D
-
WB
-
Human
-
Citation
-
-
Zhenyu Ju & Yu-Sheng Cong
A critical role of DDRGK1 in endoplasmic reticulum homoeostasis via regulation of IRE1a stability
-
WB
-
human
-
Citation
-
-
Baobing Yin
LMO3 promotes hepatocellular carcinoma invasion,metastasis and anoikis inhibition by directly interacting with LATS1 and suppressing Hippo signaling
-
IHC
-
WB
-
human
-
Citation
-
-
Forkhead Box Protein M1 Promotes Nasopharyngeal Carcinoma Cell Tumorigenesis Possibly via the Wnt/β-Catenin Signaling Pathway
-
WB
-
Human
-
Citation
-
-
Yuancun Liang,Jinfeng Yu
FgPEX4 is involved in development,pathogenicity,and cell wall integrity in Fusarium graminearum.
-
WB
-
Fusarium graminearum
-
Citation
-
-
Linrong Lu
Suppression of Th17 cell differentiation by misshapen/NIK-related kinase MINK1.
-
WB
-
mouse
-
Citation
-
-
Wu Yulu,et al
B7-H3 suppresses CD8+ T cell immunologic function through reprogramming glycolytic metabolism
-
WB
-
Human
-
Citation
-
-
Quercetin prevents bone loss in hindlimb suspension mice via stanniocalcin 1-mediated inhibition of osteoclastogenesis
-
WB
-
mouse
-
Citation
-
-
Zeng Qi,et al
Label-free Raman imaging for screening of anti-inflammatory function food
-
WB
-
Mouse
-
Citation
-
-
Huijun Wu,Xuewen Gao
Involvement of FvSet1 in Fumonisin B1 Biosynthesis,Vegetative Growth,Fungal Virulence,and Environmental Stress Responses in Fusarium verticillioides
-
WB
-
Fungal Strains
-
Citation
-
-
Changchun Kang
High expression of APAF-1 elevates erythroid apoptosis in iron overload myelodysplastic syndrome
-
WB
-
human
-
Citation
-
-
Minghua Ge
Expression of PIM-1 in salivary gland adenoid cystic carcinoma: Association with tumor progression and patients' prognosis
-
WB
-
human
-
Citation
-
-
Guanwei Fan,Yi Wang
Analysis of microRNA Expression Profiles Induced by Yiqifumai Injection in Rats with Chronic Heart Failure
-
WB
-
rats
-
Citation
-
-
The transcription factor FgStuA regulates virulence and mycotoxin biosynthesis via recruiting the SAGA complex in Fusarium graminearum
-
Co-IP
-
Species independent
-
Citation
-
-
Yun Chen
The b-ZIP transcription factor FgTfmI is required for the fungicide phenamacril tolerance and pathogenecity in Fusarium graminearum.
-
WB
-
Fusarium graminearum
-
Citation
-
-
Liu, Q., Guo, L., Qi, H., Lou, M., Wang, R., Hai, B., Xu, K., Zhu, L., Ding, Y., Li, C., Xie, L., Shen, J., Xiang, X., & Shao, J.
A MYBL2 complex for RRM2 transactivation and the synthetic effect of MYBL2 knockdown with WEE1 inhibition against colorectal cancer. Cell death & disease, 12(7), 683.
-
WB
-
Mouse
-
Citation
-
-
Xu Hui,et al
Jintiange capsule ameliorates glucocorticoid-induced osteonecrosis of the femoral head in rats by regulating the activity and differentiation of BMSCs
-
WB
-
Rat
-
Citation
-
-
Lin Y, Wei J, Zhang Y, et al
Shen Qi Wan attenuates renal interstitial fibrosis through upregulating AQP1
-
WB
-
Human
-
Citation
-
-
Chen A, Liu N, Xu C, et al
The STRIPAK complex orchestrates cell wall integrity signalling to govern the fungal development and virulence of Fusarium graminearum
-
WB
-
Fusarium graminearum
-
Citation
-
-
Zhi Chen
Hepatitis B Virus Middle Protein Enhances IL-6 Production via p38 MAPK/NF-κB Pathways in an ER Stress-Dependent Manner
-
WB
-
human
-
Citation
-
-
MRTF-A-NF-κB/p65 axis-mediated PDL1 transcription and expression contributes to immune evasion of non-small-cell lung cancer via TGF-β
-
WB
-
Human
-
Citation
-
-
Dr Shengmei Zhu
miR-29a ameliorates ischemic injury of astrocytes in vitro by targeting the water channel protein aquaporin 4
-
WB
-
Mouse
-
Citation
-
-
The different functions of short and long thymic stromal lymphopoietin isoforms in autophagy-mediated asthmatic airway inflammation and remodeling
-
WB
-
Mouse
-
Citation
-
-
Chengwei Liang
Defective autophagy leads to the suppression of stem-like features of CD271+osteosarcoma cells
-
WB
-
human
-
Citation
-
-
Min Liao
Heat Shock Protein Member 8 Is an Attachment Factor for Infectious Bronchitis Virus
-
WB
-
IP
-
CO-IP
-
chicken
-
Citation
-
-
Xin Zhua
Biochemical changes of salivary gland adenoid cystic carcinoma cells induced by SGI-1776
-
WB
-
human
-
Citation
-
-
Zhonghua Ma; Yanni Yin
A fungal ABC transporter FgAtm1 regulates iron homeostasis via the transcription factor cascade FgAreA-HapX
-
WB
-
CO-IP
-
F. graminearum wild-type strain PH-1
-
Citation
-
-
C. Wang
Stage-specific functional relationships between Tub1 and Tub2 beta-tubulins in the wheat scab fungus Fusarium graminearum.
-
WB
-
Fusarium graminearum
-
Citation
-
-
Jia Canchao,et al
ESL Attenuates BLM-induced IPF in Mice: Dual Mediation of the TLR4/NF-κB and TGF-β1/PI3K/Akt/FOXO3a Pathways
-
WB
-
Mouse
-
Citation
-
-
Jiang SJ, Xiao X, Li J, Mu Y
Lycium barbarum polysaccharide-glycoprotein ameliorates ionizing radiation-induced epithelial injury by regulating oxidative stress and ferroptosis via the Nrf2 pathway
-
WB
-
Rat
-
Human
-
Citation
-
-
Jiang, X., Zhang, Y., Zhang, H., Zhang, X., Yin, X., Yuan, F., Wang, S., & Tian, Y.
Acetate suppresses myocardial contraction via the short-chain fatty acid receptor GPR43
-
WB
-
Rat
-
Citation
-
-
The spatial expression of mTORC2-AKT-IP3R signal pathway in mitochondrial combination of endoplasmic reticulum of maternal fetal interface trophoblast in intrahepatic cholestasis of pregnancy
-
WB
-
Human
-
Citation
-
-
Li, T., Wang, H., Xia, K., Wu, Z., Liu, R., Yin, X., Zhou, C., Li, Y., & Zou, S.
Long noncoding RNA expression profiles in intermittent parathyroid hormone induced cementogenesis. Genomics, 113(1 Pt 1), 217–228.
-
WB
-
Mouse
-
Citation
-
-
YUN CHEN
Capping proteins regulate fungal development,DON‐toxisome formation and virulence in Fusarium graminearum
-
WB
-
Fusarium graminearum
-
Citation
-
-
Tumstatin attenuates the promotion effect of IL-17 secreted by Th17 cells on the stemness maintenance of glioma cells
-
WB
-
Mouse
-
Citation
-
-
Tizhong Shan
GADD45α drives brown adipose tissue formation through upregulating PPARγ in mice
-
WB
-
Mouse
-
Citation
-
-
GADD45A regulates subcutaneous fat deposition and lipid metabolism by interacting with Stat1
-
WB
-
Mouse
-
Citation
-
-
Huijun Wu
Bacillomycin D Produced by Bacillus amyloliquefaciens Is Involved in the Antagonistic Interaction with the Plant-Pathogenic Fungus Fusarium graminearum
-
WB
-
Bacterial and fungal strains
-
Citation
-
-
Song Meiying,et al
Gomisin N rescues cognitive impairment of Alzheimer's disease by targeting GSK3β and activating Nrf2 signaling pathway
-
WB
-
Mouse
-
Citation
-
-
Yao, J., Lin, C., Jiang, J., Zhang, X., Li, F., Liu, T., & Diao, H.
lncRNA-HEIM Facilitated Liver Fibrosis by Up-Regulating TGF-β Expression in Long-Term Outcome of Chronic Hepatitis B. Frontiers in immunology, 12, 666370.
-
WB
-
Human
-
Citation
-
-
Ren, W., Zhang, Y., Zhu, M., Liu, Z., Lian, S., Wang, C., Li, B., & Liu, N.
The Phosphatase Cascade Nem1/Spo7-Pah1 Regulates Fungal Development, Lipid Homeostasis, and Virulence in Botryosphaeria dothidea
-
WB
-
Citation
-
-
Autophagy inhibition enhances anti‐pituitary adenoma effect of tetrandrine
-
WB
-
rat
-
Citation
-
-
Yao, W., Ma, A., Zhang, Z., & Zhu, L.
Intermittent Hydrostatic Pressure Promotes Cartilage Repair in an Inflammatory Environment through Hippo-YAP Signaling In Vitro and In Vivo
-
WB
-
Rat
-
Citation
-
-
Wenyong Shao
The endocytic cargo adaptor complex is required for cell-wall integrity via interacting with the sensor FgWsc2B in Fusarium graminearum.
-
CO-IP
-
Fusarium graminearum strain
-
Citation
-
-
Liu, Na;Zhou, Shanyue;Li, Baohua;Ren, Weichao
Involvement of the Autophagy Protein Atg6 in Development and Virulence in the Gray Mold Fungus Botrytis cinerea
-
WB
-
Citation
-
-
Tao Jing,et al
A nano-platform combats the "attack" and "defense" of cytoskeleton to block cascading tumor metastasis
-
WB
-
Mouse
-
Citation
-
-
Que Z, Zhou Z, Liu S, Zheng W, Lei B
Dihydroartemisinin inhibits EMT of glioma via gene BASP1 in extrachromosomal DNA
-
WB
-
Human
-
Citation
-
-
Nomilin and its analogue obacunone alleviate NASH and hepatic fibrosis in mice via enhancing antioxidant and anti‐inflammation capacity
-
WB
-
Mouse
-
Citation
-
-
Zhang, L., Li, Y., Dong, L., Sun, K., Liu, H., Ma, Z., Yan, L., & Yin, Y.
MAP Kinase FgHog1 and Importin β FgNmd5 Regulate Calcium Homeostasis in Fusarium graminearum
-
WB
-
Citation
-
-
Diagnosis and prognosis of non-small cell lung cancer based on machine learning algorithms
-
WB
-
Human
-
Citation
-
-
Hu, X., Xiao, G., He, L., Niu, X., Li, H., Lou, T., Hu, Q., Yang, Y., Xu, Q., Wei, Z., Qiu, M., Tanaka, K. F., Shen, Y., & Tao, Y.
Sustained ErbB Activation Causes Demyelination and Hypomyelination by Driving Necroptosis of Mature Oligodendrocytes and Apoptosis of Oligodendrocyte Precursor Cells
-
WB
-
Mouse
-
Citation
-
-
Small-molecule MX-C2/3 suppresses non-small cell lung cancer progression via p53 activation
-
Human
-
Citation
-
-
Wang, H., Li, T., Wang, X., Guan, Y., Jiang, Y., Chen, S., Zou, S., & Duan, P.
Mechanisms of sphingosine-1-phosphate (S1P) signaling on excessive stress-induced root resorption during orthodontic molar intrusion
-
WB
-
Rat
-
Citation
-
-
Jia-Sheng Wu;Zheng-Tao Wang;Yue-Ming Ma
Protective effect of cultured bear bile powder against dimethylnitrosamine-induced hepatic fibrosis in rats.
-
WB
-
rat
-
Citation
-
-
Liu Xinghui,et al
Exercise following joint distraction inhibits muscle wasting and delays the progression of post-traumatic osteoarthritis in rabbits by activating PGC-1α in skeletal …
-
WB
-
Human
-
Citation
-
-
Xuewen Gao
FvSet2 regulates fungal growth,pathogenicity,and secondary metabolism in Fusarium verticillioides
-
WB
-
Fusarium verticillioides
-
Citation
-
-
Gemfibrozil improves lipid metabolism in Nile tilapia Oreochromis niloticus fed a high-carbohydrate diet through peroxisome proliferator activated receptor-α activation
-
WB
-
Nile tilapia
-
Citation
-
-
Qingfeng Tang
Characterization of the Expression and Functions of Two Odorant-Binding Proteins of Sitophilus zeamais Motschulsky (Coleoptera: Curculionoidea)
-
WB
-
Sitophilus zeamais Motschulsky
-
Citation
-
-
Gu, Q., Wang, Y., Zhao, X., Yuan, B., Zhang, M., Tan, Z., Zhang, X., Chen, Y., Wu, H., Luo, Y., Keller, N. P., Gao, X., & Ma, Z.
Inhibition of histone acetyltransferase GCN5 by a transcription factor FgPacC controls fungal adaption to host-derived iron stress
-
WB
-
Citation
-