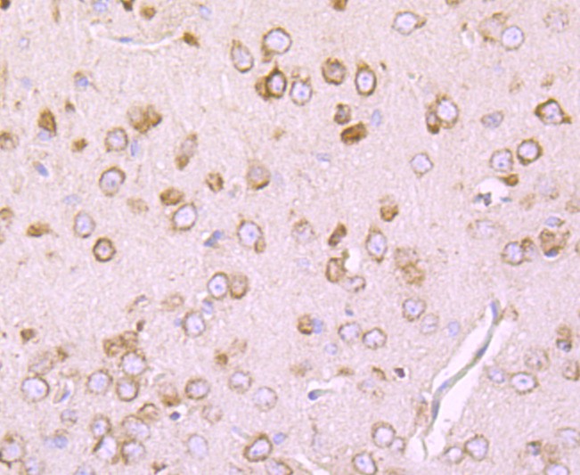
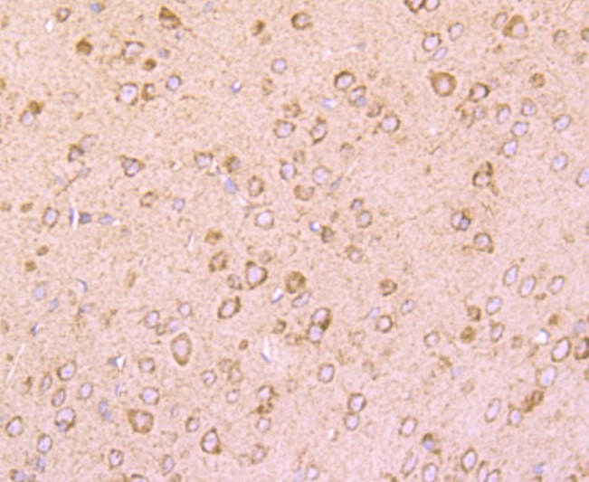
DRD1 Recombinant Rabbit Monoclonal Antibody [JM10-93] (ET1703-45)
Catalog# ET1703-45
Rabbit Monoclonal to DRD1
Tested for
-
WB
-
IF-Cell
-
IF-Tissue
-
IHC-P
-
IHC-Fr
Reacts with
-
Human
-
Mouse
-
Rat
Recombinant production enables lot-to-lot consistency and is animal-cruelty-free
This product has been cited in peer reviewed publications, see list HERE