DAZAP1 Recombinant Rabbit Monoclonal Antibody [JE64-72] (HA722710)
Catalog# HA722710
Rabbit Monoclonal to DAZAP1
Tested for
-
WB
-
IF-Cell
-
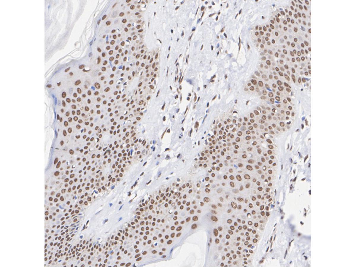
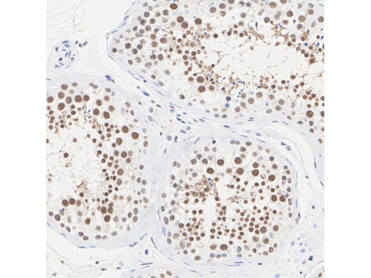
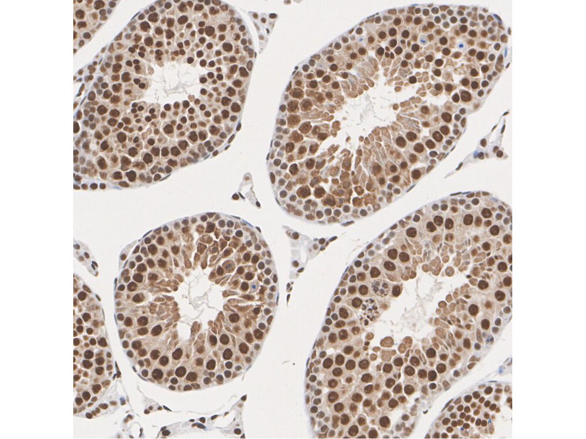
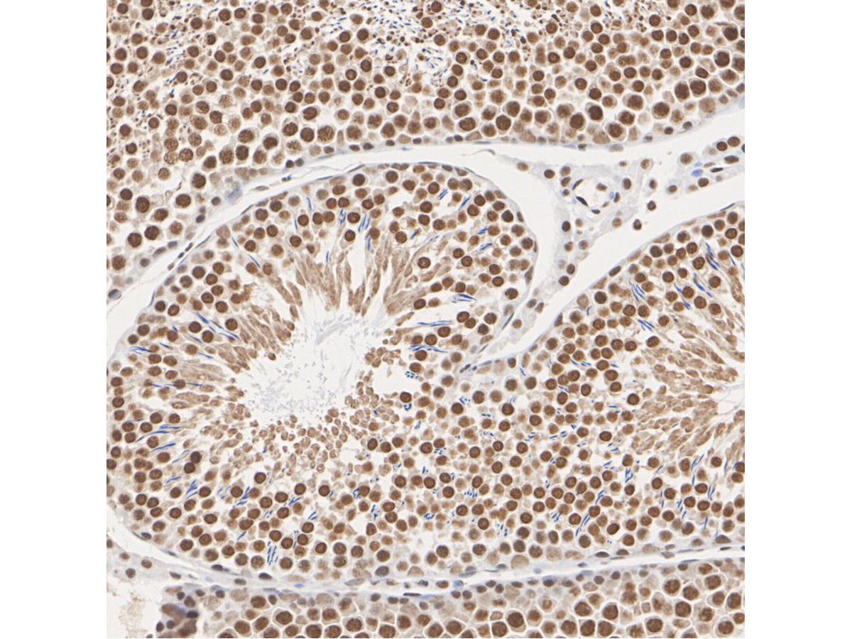
IHC-P
-
FC
-
IF-Tissue
Reacts with
-
Human
-
Mouse
-
Rat
Recombinant production enables lot-to-lot consistency and is animal-cruelty-free