Skip to content

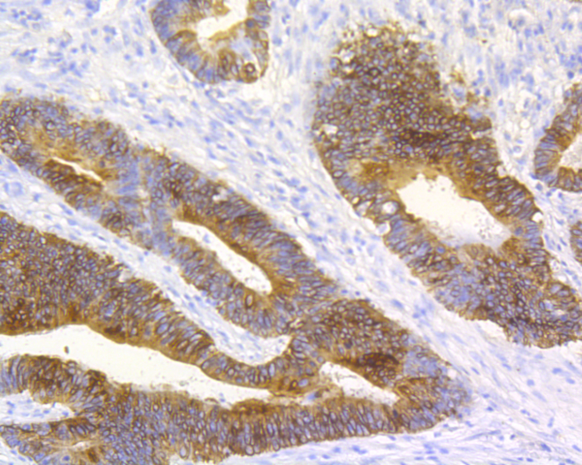
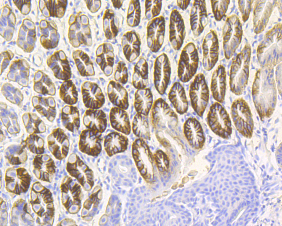
Cytokeratin 20 Recombinant Rabbit Monoclonal Antibody [JE20-39] (ET7110-54)

Price: Regular price $385.00

Unit price per 

Volume

Catalog# ET7110-54

Rabbit Monoclonal to Cytokeratin 20

Tested for
  • WB

  • IHC-P

Reacts with
  • Human

  • Mouse

Recombinant production enables lot-to-lot consistency and is animal-cruelty-free
Close (esc)

Popup

Use this popup to embed a mailing list sign up form. Alternatively use it as a simple call to action with a link to a product or a page.

Age verification

By clicking enter you are verifying that you are old enough to consume alcohol.

Search

Your cart is currently empty.
Shop now