Skip to content

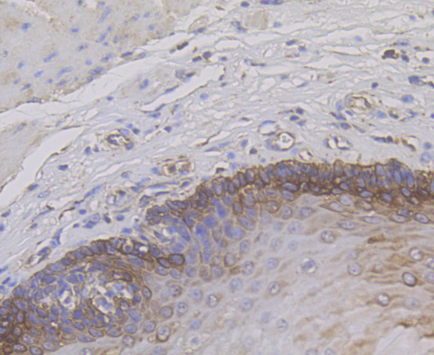
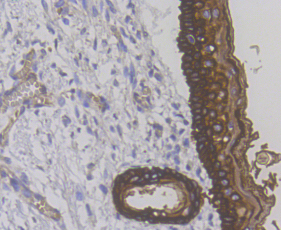
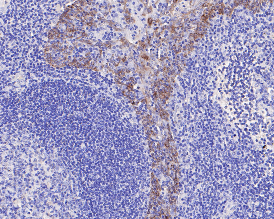
Cytokeratin 14 Rabbit Polyclonal Antibody (ER1901-08)

Price: Regular price $315.00

Unit price per 

Volume

Catalog# ER1901-08

Rabbit Polyclonal to Cytokeratin 14

Tested for
  • WB

  • IHC-P

Reacts with
  • Human

  • Rat

Close (esc)

Popup

Use this popup to embed a mailing list sign up form. Alternatively use it as a simple call to action with a link to a product or a page.

Age verification

By clicking enter you are verifying that you are old enough to consume alcohol.

Search

Your cart is currently empty.
Shop now