Skip to content

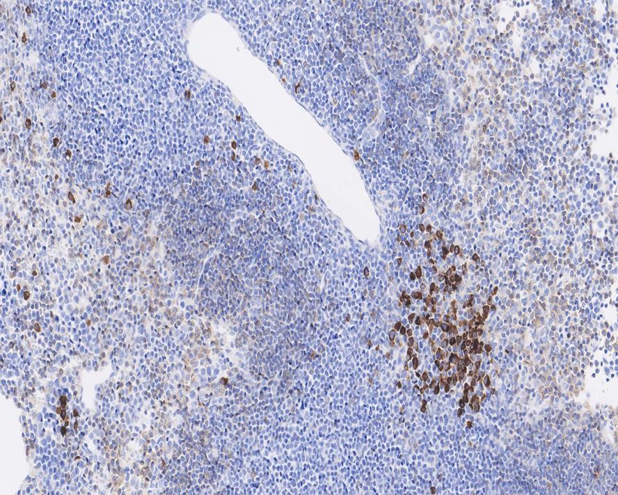
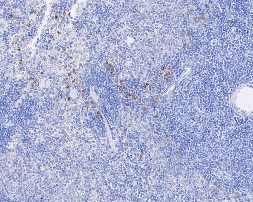
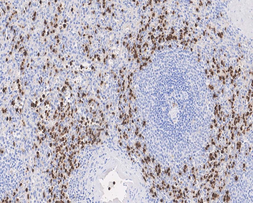
CLP Recombinant Rabbit Monoclonal Antibody [PSH01-73] (HA721725)

Price: Regular price $385.00

Unit price per 

Volume

Catalog# HA721725

Rabbit Monoclonal to CLP

Tested for
  • IHC

  • IF-Tissue

Reacts with
  • Human

  • Mouse

  • Rat

Recombinant production enables lot-to-lot consistency and is animal-cruelty-free
Close (esc)

Popup

Use this popup to embed a mailing list sign up form. Alternatively use it as a simple call to action with a link to a product or a page.

Age verification

By clicking enter you are verifying that you are old enough to consume alcohol.

Search

Your cart is currently empty.
Shop now