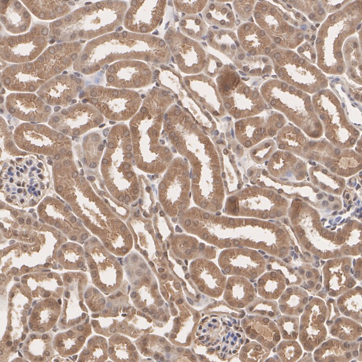
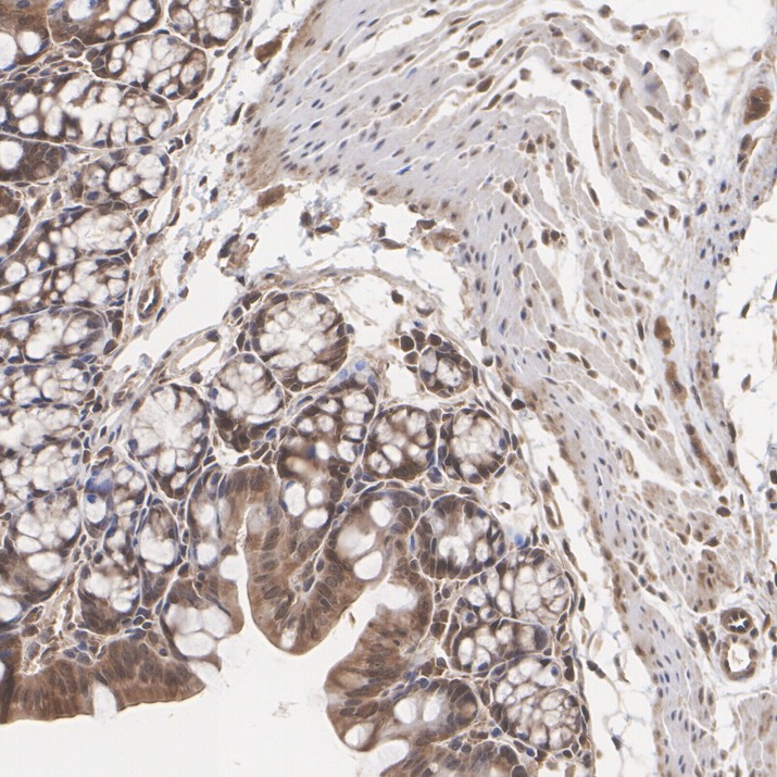
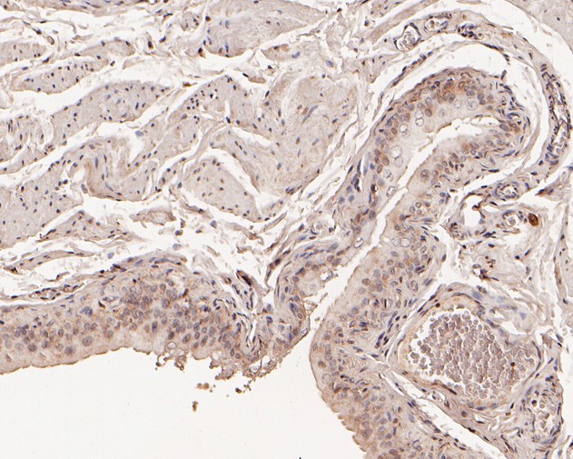
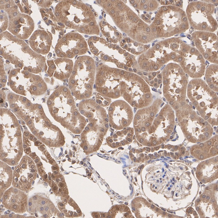
CHMP2A Rabbit Polyclonal Antibody (HA500070)
Catalog# HA500070
Rabbit Polyclonal to CHMP2A
Tested for
-
WB
-
IHC-P
Reacts with
-
Human
-
Mouse
-
Rat