CD30 Recombinant Rabbit Monoclonal Antibody [PSH04-12] (HA722093)
Catalog# HA722093
Rabbit Monoclonal to CD30
Tested for
-
WB
-
IF-Cell
-
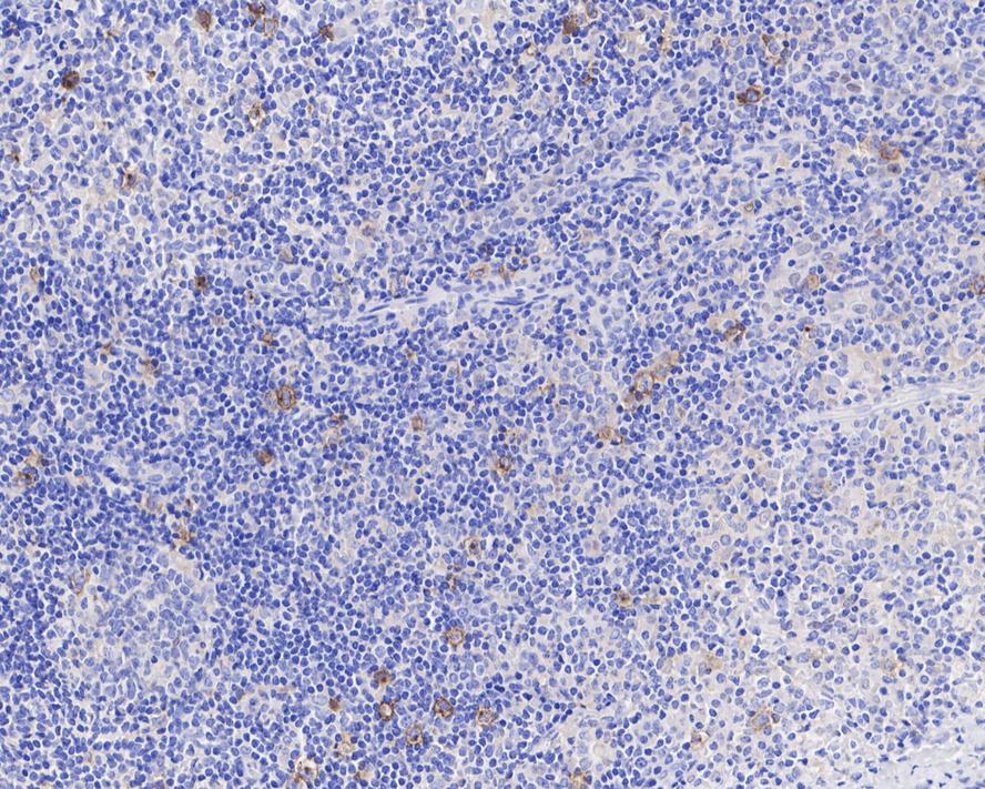
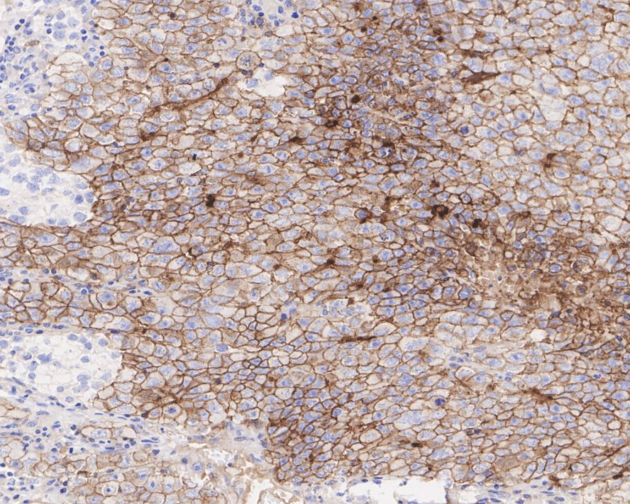
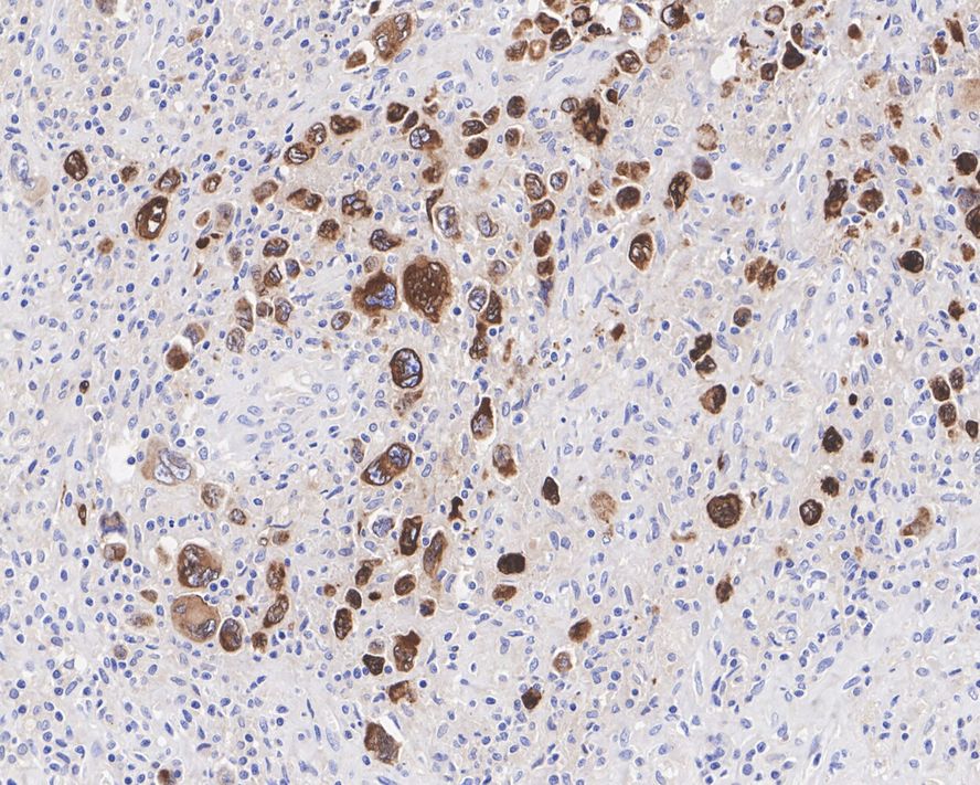
IHC-P
-
IF-Tissue
Reacts with
-
Human
Recombinant production enables lot-to-lot consistency and is animal-cruelty-free