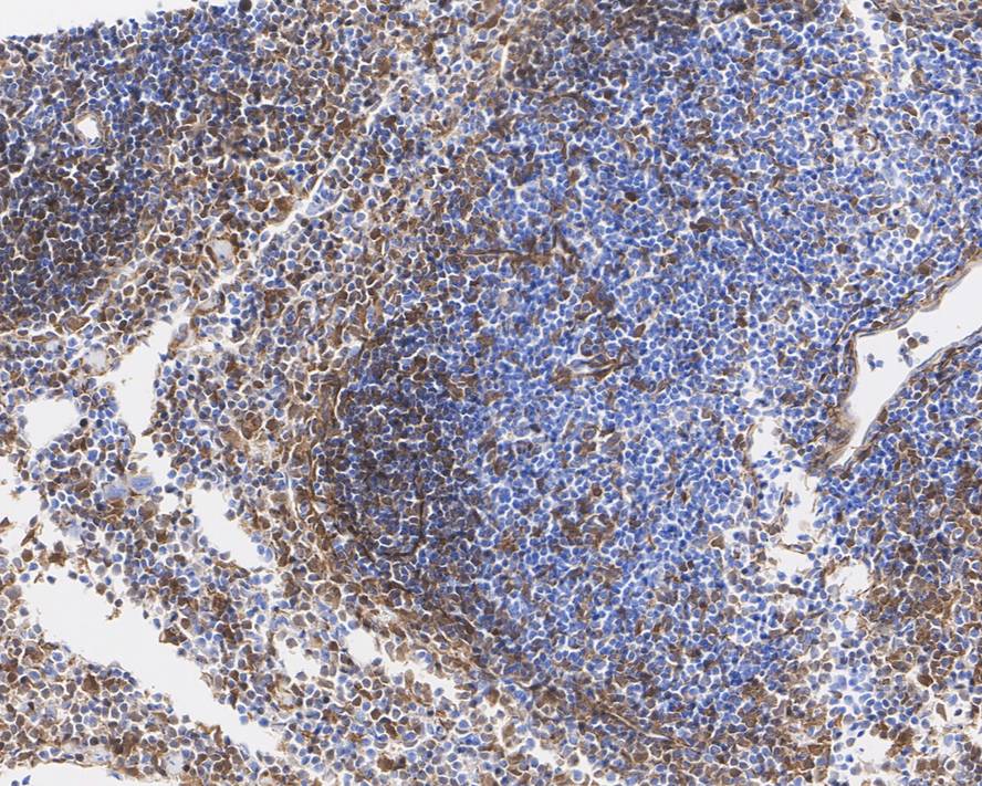
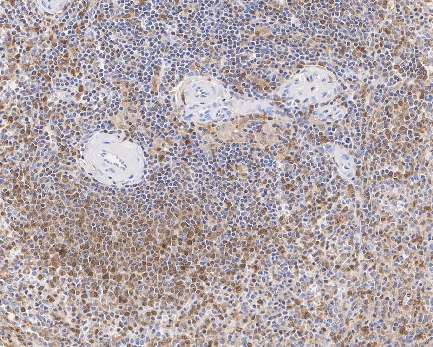
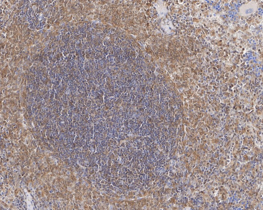
Caspase-1 + p10 + p12 Recombinant Rabbit Monoclonal Antibody [JE56-35] (HA722222)
Catalog# HA722222
Rabbit Monoclonal to Caspase-1 + p10 + p12
Tested for
-
WB
-
IF-Cell
-
IHC-P
Reacts with
-
Human
-
Mouse
-
Rat
Recombinant production enables lot-to-lot consistency and is animal-cruelty-free