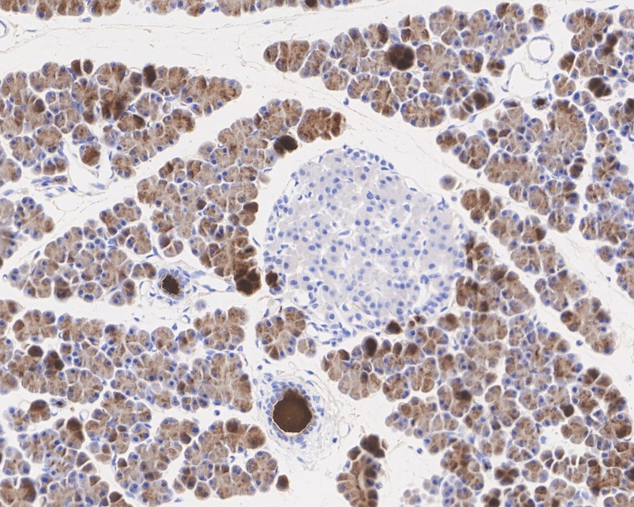
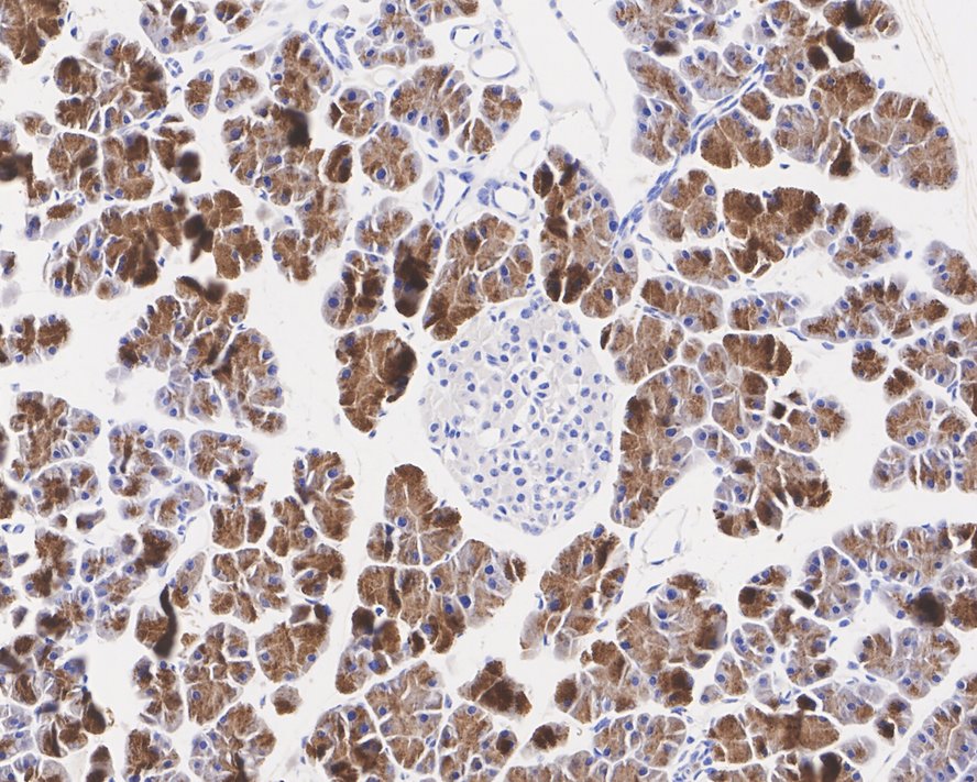
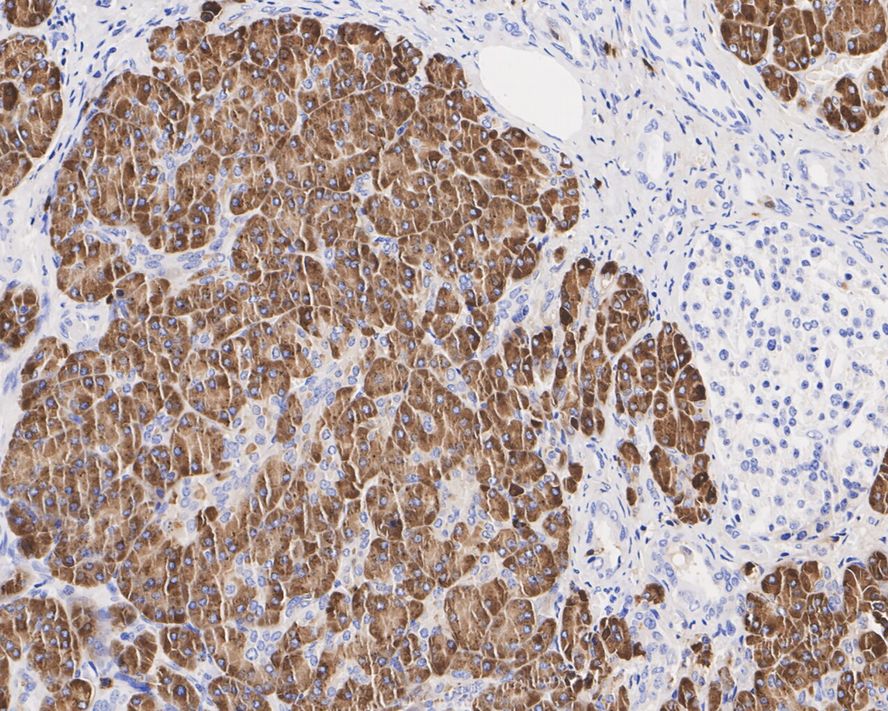
Carboxypeptidase A1+A2+B Recombinant Rabbit Monoclonal Antibody [JE34-07] (HA722393)
Catalog# HA722393
Rabbit Monoclonal to Carboxypeptidase A1+A2+B
Tested for
-
WB
-
IHC-P
Reacts with
-
Human
-
Mouse
-
Rat
Recombinant production enables lot-to-lot consistency and is animal-cruelty-free