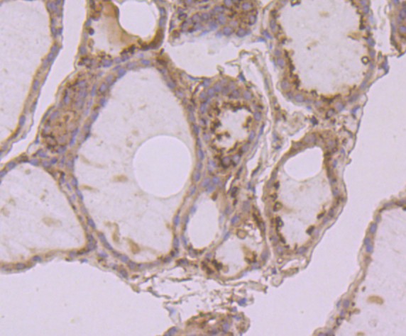
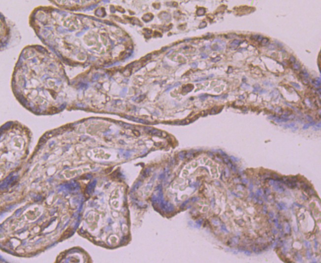
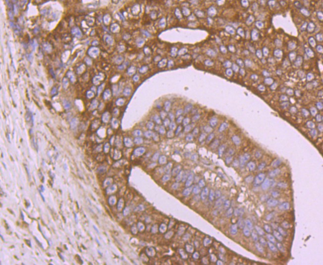
Calreticulin Mouse Monoclonal Antibody [7B2] (EM1701-61)
Catalog# EM1701-61
Mouse Monoclonal to Calreticulin
Tested for
-
WB
-
IHC-P
-
IF-Cell
-
FC
Reacts with
-
Human
Knock-Out or Knock-Down validated
This product has been cited in peer reviewed publications, see list HERE