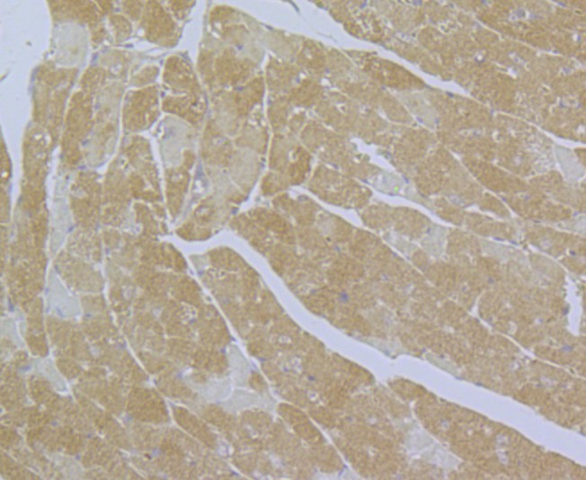
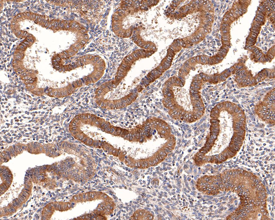
CACNA1C Rabbit Polyclonal Antibody (ER1803-49)
Catalog# ER1803-49
Rabbit Polyclonal to CACNA1C
Tested for
-
Dot Blot
-
IF-Cell
-
IHC-P
-
FC
Reacts with
-
Human
-
Mouse
-
Rat
This product has been cited in peer reviewed publications, see list HERE