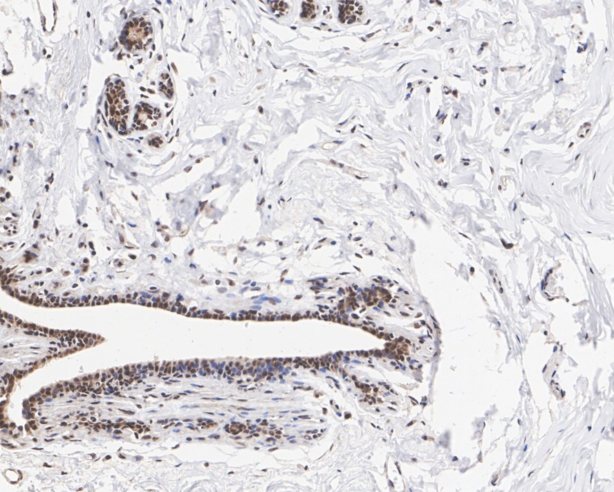
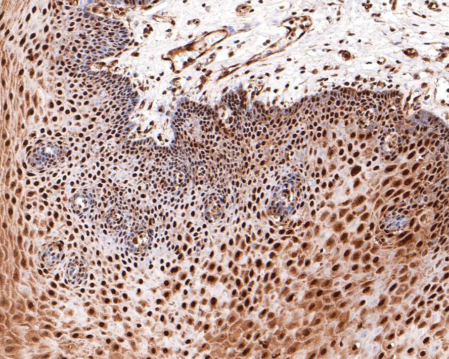
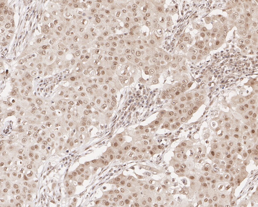
BRCA1 Mouse Monoclonal Antibody [A7E3] (HA601009)
Catalog# HA601009
Mouse Monoclonal to BRCA1
Tested for
-
IHC-P
Reacts with
-
Human
-
Mouse
-
Rat