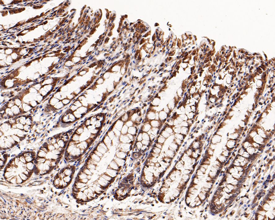
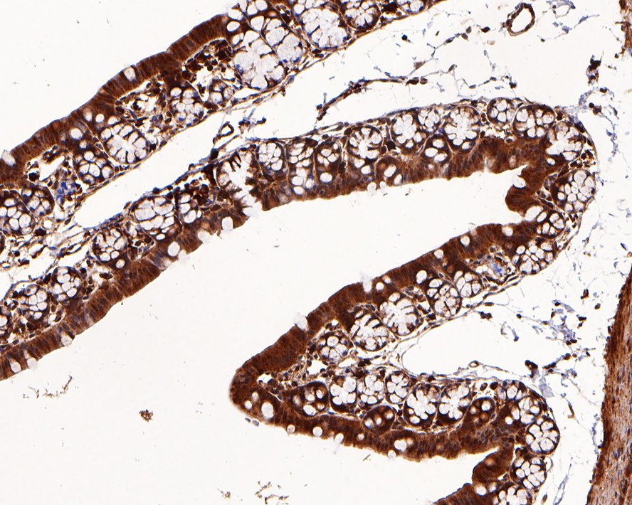
Beta TRCP Rabbit Polyclonal Antibody (HA500358)
Catalog# HA500358
Rabbit Polyclonal to Beta TRCP
Tested for
-
WB
-
IF-Cell
-
IHC-P
Reacts with
-
Human
-
Mouse
-
Rat