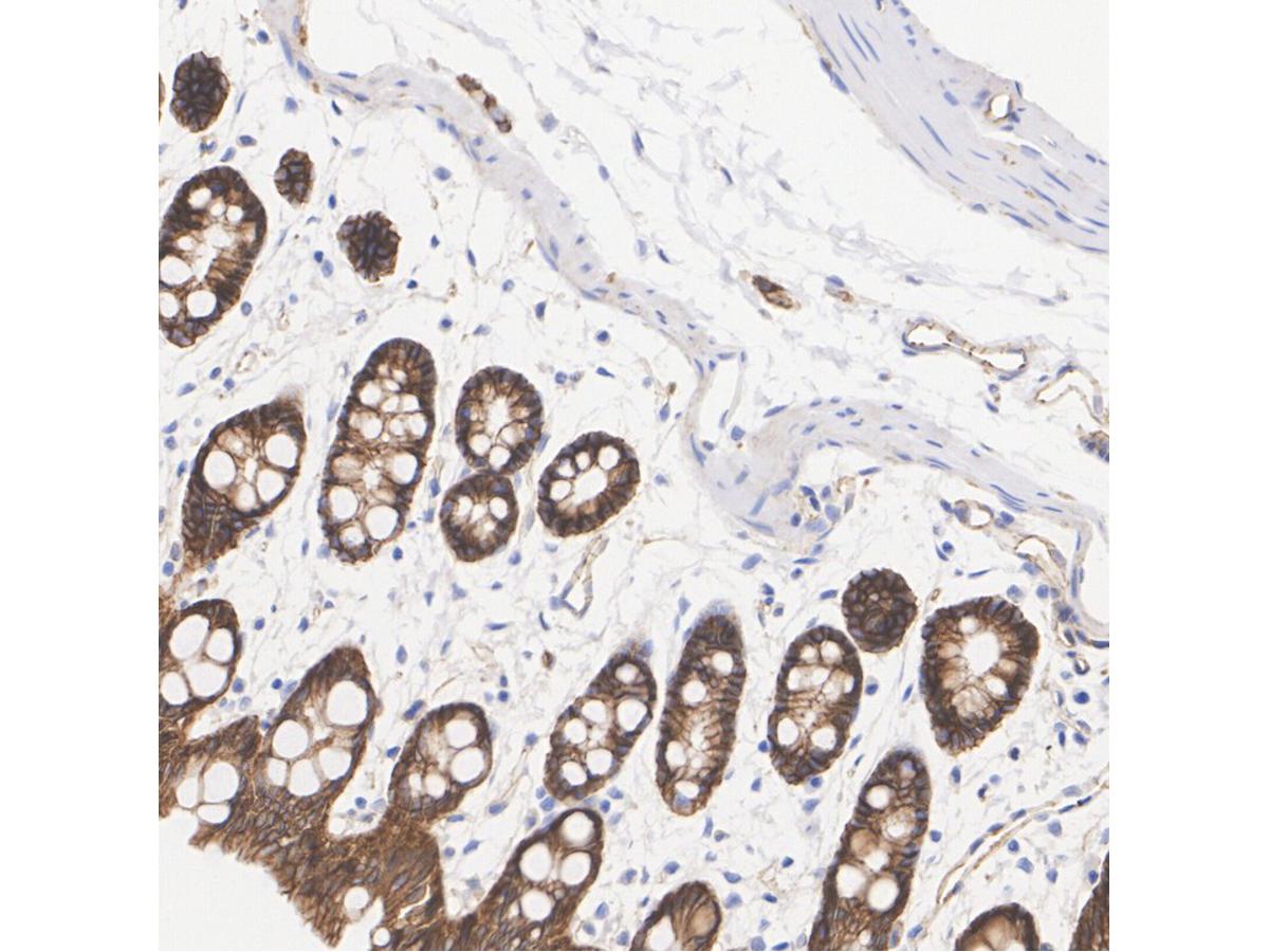
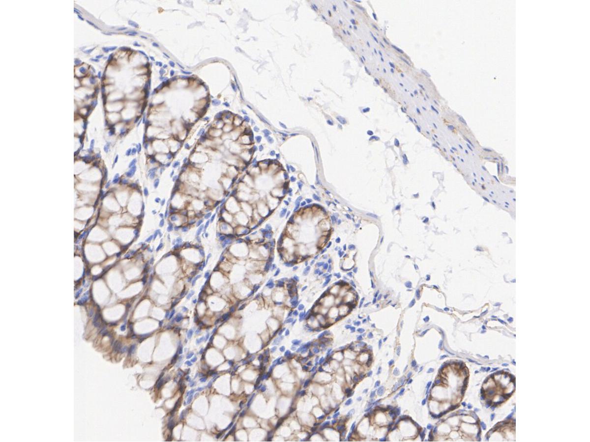
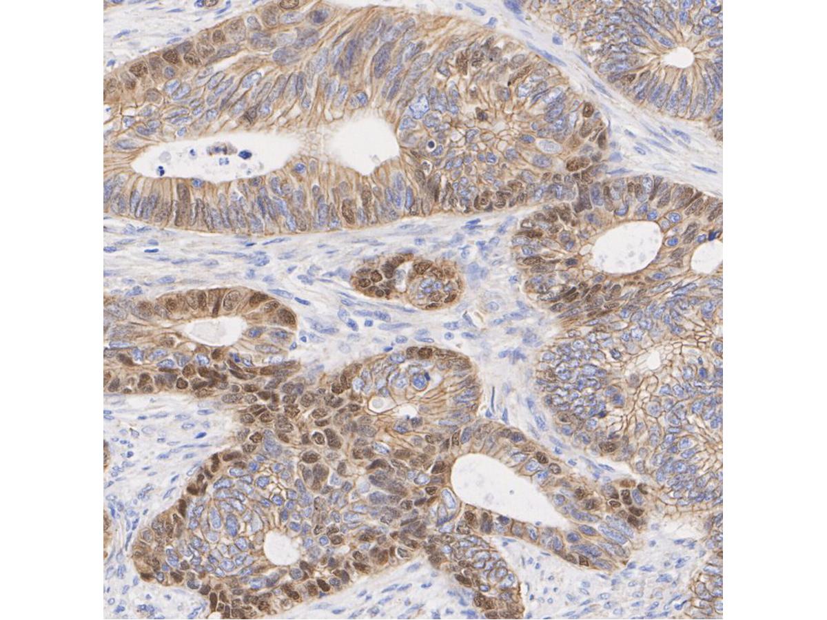
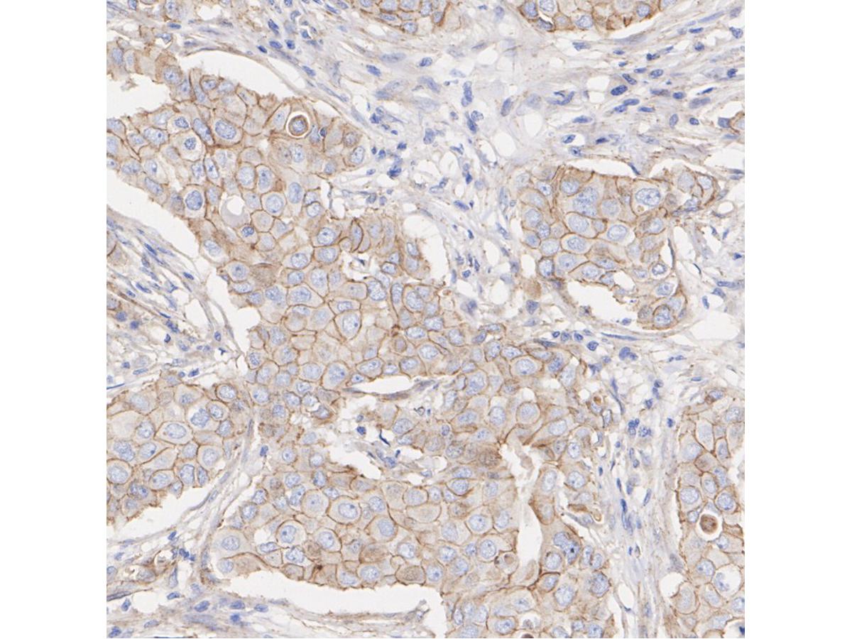
Beta Catenin Rabbit Polyclonal Antibody (ER0805)
Catalog# ER0805
Rabbit Polyclonal to Beta Catenin
Tested for
-
WB
-
IHC-P
-
FC
-
IF-Cell
-
IF-Tissue
Reacts with
-
Human
-
Mouse
-
Rat
This product has been cited in peer reviewed publications, see list HERE