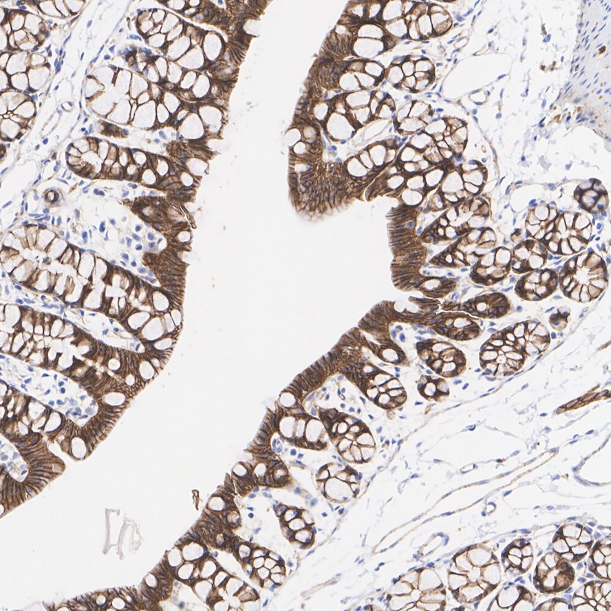
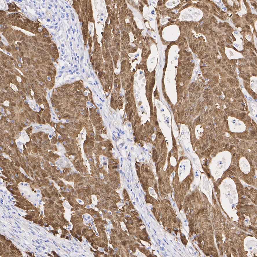
Beta Catenin Recombinant Rabbit Monoclonal Antibody [SA30-04] (ET1601-5)
Catalog# ET1601-5
Rabbit Monoclonal to Beta Catenin
Tested for
-
WB
-
IHC-P
-
IF-Tissue
-
IP
-
mIHC
-
IF-Cell
-
IHC-Fr
-
FC
Reacts with
-
Human
-
Mouse
-
Rat
Recombinant production enables lot-to-lot consistency and is animal-cruelty-free
This product has been cited in peer reviewed publications, see list HERE