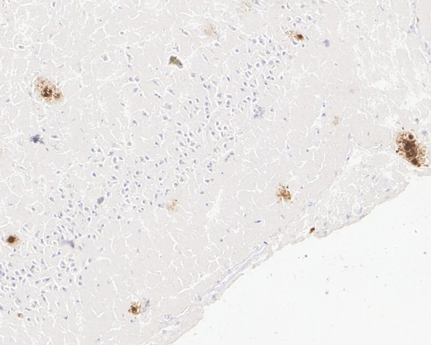
beta Amyloid 1-40 Recombinant Rabbit Monoclonal Antibody [PSH02-82] (HA721788)
Catalog# HA721788
Rabbit Monoclonal to beta Amyloid 1-40
Tested for
-
IHC-P
-
WB
Reacts with
-
Human
-
Mouse
-
Cynomolgus monkey
-
Pig
Recombinant production enables lot-to-lot consistency and is animal-cruelty-free