beta Actin Mouse Monoclonal Antibody [B4-B2] (M1210-2)
Catalog# M1210-2
Mouse Monoclonal to beta Actin
-
WB
-
IF-Cell
-
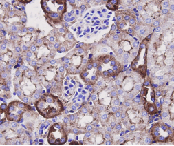
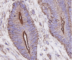
IHC-P
-
FC
-
Human
-
Mouse
-
Rat
Lane 1: HeLa cell lysate
Lane 2: HepG2 cell lysate
Lane 3: MCF7 cell lysate
Lane 4: A431 cell lysate
Lane 5: Jurkat cell lysate
Lane 6: HEK-293 cell lysate
Lane 7: RAW264.7 cell lysate
Lane 8: C2C12 cell lysate
Lane 9: PC-12 cell lysate
Lane 10: Mouse testis tissue lysate
Lane 11: Mouse spleen tissue lysate
Lane 12: Rat testis tissue lysate
Lane 13: Rat kidney tissue lysate
Lysates/proteins at 10 µg/Lane.
Predicted band size: 42 kDa
Observed band size: 42 kDa
Exposure time: 10 seconds;
4-20% SDS-PAGE gel.
Proteins were transferred to a PVDF membrane and blocked with 5% NFDM/TBST for 1 hour at room temperature. The primary antibody (M1210-2) at 1/20,000 dilution was used in 5% NFDM/TBST at 4℃ overnight. Goat Anti-Mouse IgG - HRP Secondary Antibody (HA1006) at 1/50,000 dilution was used for 1 hour at room temperature.
Safety datasheet
Select your chosen country/region
- MSDS_HUABIO.pdf
- MSDS_HUABIO.pdf
- MSDS_M1210-2_Europe.pdf
- No MSDS Found
COA DOWNLOAD
- No COA Found
Specifications
Product Type
Mouse monoclonal primary
Product Name
beta Actin Mouse Monoclonal Antibody [B4-B2] (M1210-2)
Immunogen
Synthetic peptide within n-terminal of human beta actin.
Host
Mouse
Positive Control
HeLa cell lysate, HepG2 cell lysate, MCF7 cell lysate, A431 cell lysate, Jurkat cell lysate, HEK-293 cell lysate, RAW264.7 cell lysate, C2C12 cell lysate, PC-12 cell lysate, mouse testis tissue lysate, mouse spleen tissue lysate, rat testis tissue lysate, rat kidney tissue lysate, NIH/3T3, human colon carcinoma tissue, mouse kidney tissue.
Conjugation
Unconjugated
Clonality
Monoclonal
Clone Number
B4-B2
RRID
APPLICATION DILUTION
-
WB
-
1:20,000-1:50,000
-
IF-Cell
-
1:100-1:200
-
IHC-P
-
1:100-1:200
-
FC
-
1:100-1:200
PROPERTIES
Form
Liquid
Storage Condition
Shipped at 4℃. Store at +4℃ short term (1-2 weeks). It is recommended to aliquot into single-use upon delivery. Store at -20℃ long term.
Storage Buffer
1*PBS (pH7.4), 0.2% BSA, 40% Glycerol. Preservative: 0.05% Sodium Azide.
Concentration
2ug/ul
Purification
Immunogen affinity purified.
Molecular Weight
Predicted band size: 42 kDa
Isotype
IgG1
TARGET
UNIPROT #
PROTEIN NAME
beta Actin
SYNONYMS
A26C1A antibody;A26C1B antibody;ACTB antibody;ACTB_HUMAN antibody;Actin beta antibody;Actin cytoplasmic 1 antibody;Actin, cytoplasmic 1, N-terminally processed antibody;Actx antibody;b actin antibody;Beta cytoskeletal actin antibody;Beta-actin antibody;BRWS1 antibody;E430023M04Rik antibody;MGC128179 antibody;PS1TP5 binding protein 1 antibody;PS1TP5BP1 antibody
SEQUENCE SIMILARITIES
Belongs to the actin family.
POST-TRANSLATIONAL MODIFICATION
ISGylated.; Oxidation of Met-44 and Met-47 by MICALs (MICAL1, MICAL2 or MICAL3) to form methionine sulfoxide promotes actin filament depolymerization. MICAL1 and MICAL2 produce the (R)-S-oxide form. The (R)-S-oxide form is reverted by MSRB1 and MSRB2, which promote actin repolymerization.; Monomethylation at Lys-84 (K84me1) regulates actin-myosin interaction and actomyosin-dependent processes. Demethylation by ALKBH4 is required for maintaining actomyosin dynamics supporting normal cleavage furrow ingression during cytokinesis and cell migration.; Methylated at His-73 by SETD3. Methylation at His-73 is required for smooth muscle contraction of the laboring uterus during delivery (By similarity).; [Actin, cytoplasmic 1, N-terminally processed]: N-terminal acetylation by NAA80 affects actin filament depolymerization and elongation, including elongation driven by formins. In contrast, filament nucleation by the Arp2/3 complex is not affected.; (Microbial infection) Monomeric actin is cross-linked by V.cholerae toxins RtxA and VgrG1 in case of infection: bacterial toxins mediate the cross-link between Lys-50 of one monomer and Glu-270 of another actin monomer, resulting in formation of highly toxic actin oligomers that cause cell rounding. The toxin can be highly efficient at very low concentrations by acting on formin homology family proteins: toxic actin oligomers bind with high affinity to formins and adversely affect both nucleation and elongation abilities of formins, causing their potent inhibition in both profilin-dependent and independent manners.
SUBCELLULAR LOCATION
Cytoplasm.
FUNCTION
Beta-actin (human gene and protein abbreviation ACTB/ACTB) is one of six different actin isoforms which have been identified in humans. This is one of the two nonmuscle cytoskeletal actins. Actins are highly conserved proteins that are involved in cell motility, structure and integrity. Alpha actins are a major constituent of the contractile apparatus. Beta-actin has been shown to interact with SPTBN2. In addition, RNA-binding protein Sam68 was found to interact with the mRNA encoding β-actin, which regulates the synaptic formation of the dendritic spines with its cytoskeletal components. Beta-actin has been shown to activate eNOS, thereby increasing NO production. An eight-amino acid residue (326-333) in actin has been shown to mediate the interaction between actin and eNOS. Recurrent mutations in this gene have been associated to cases of diffuse large B-cell lymphoma. Beta actin is often used in Western blotting as a loading control, to normalize total protein amounts and check for eventual protein degradation in the samples. Its transcript is also commonly used as a housekeeping gene standard in qPCR. Its molecular weight is approximately 42 kDa.
CITATIONS
-
Apple polyphenol extract alleviates lipid accumulation in free‐fatty‐acid‐exposed HepG2 cells via activating autophagy mediated by SIRT1/AMPK signaling
-
WB
-
Citation
-
-
Absence of terminal deoxynucleotidyl transferase expression in T‐ALL/LBL accumulates chromosomal abnormalities to induce drug resistance
-
WB
-
Citation
-
-
The NEDD8-activating enzyme E1 UBA3 orchestrates the immunosuppressive microenvironment in lung adenocarcinoma via the NF-кB pathway
-
WB
-
Human
-
Citation
-
-
Tao Xu
Disabling phosphorylation at the homer ligand of the metabotropic glutamate receptor 5 alleviates complete Freund's adjuvant-induced inflammatory pain
-
WB
-
Mouse
-
Citation
-
-
Lijuan Chen,Yiguo Hu
Targeting glutaminase1 and synergizing with clinical drugs achieved more promising antitumor activity on multiple myeloma
-
WB
-
mouse
-
Citation
-
-
D Zhou
SPARCL1 suppresses osteosarcoma metastasis and recruits macrophages by activation of canonical WNT/β-catenin signaling through stabilization of the WNT–receptor complex
-
WB
-
human
-
Citation
-
-
Wenjin Yin;Xueli Zhang; Jinsong Lu
TIMELESS regulates sphingolipid metabolism and tumor cell growth through Sp1/ACER2/S1P axis in ER-positive breast cancer
-
WB
-
human
-
Citation
-
-
Zhi-Hu Zhao
Coordinated regulation of IFITM1,2 and 3 genes by an IFN-responsive enhancer through long-range chromatin interactions
-
WB
-
human
-
Citation
-
-
Liang, L., Gu, W., Li, M., Gao, R., Zhang, X., Guo, C., & Mi, S.
The long noncoding RNA HOTAIRM1 controlled by AML1 enhances glucocorticoid resistance by activating RHOA/ROCK1 pathway through suppressing ARHGAP18. Cell death & disease, 12(7), 702.
-
WB
-
Human
-
Citation
-
-
Yingliang Wu,Di Wang
One-Carbon Metabolism Supports SAdenosylmethionine and Histone Methylation to Drive Inflammatory Macrophages
-
WB
-
human
-
Citation
-
-
Jianguo Xu,and Hong Tan
Macrophage Polarization in Response to Varying Pore Sizes of 3D Polyurethane Scaffolds
-
WB
-
mouse
-
Citation
-
-
Zhang, J. L., Chen, S. J., Liu, X. Y., Moczek, A. P., & Xu, H. J.
The transcription factor Zfh1 acts as a wing-morph switch in planthoppers
-
WB
-
Fifth-instar nymphs
-
Citation
-
-
Zhang Bao;Jianying Zhou
Triptolide induces atrophy of myotubes by triggering IRS-1 degradation and activating the FoxO3 pathway. Toxicology in vitro : an international journal published in association with BIBRA, 65, 104793.
-
WB
-
human
-
Citation
-
-
Wang, K., Huang, W., Chen, R., Lin, P., Zhang, T., Ni, Y. F., Li, H., Wu, J., Sun, X. X., Geng, J. J., Zhu, Y. M., Nan, G., Zhang, W., Chen, X., Zhu, P., Bian, H., & Chen, Z. N.
Di-methylation of CD147-K234 promotes the progression of NSCLC by enhancing lactate export
-
WB
-
Human
-
Citation
-
-
Jie Wu ;Ayaz Najafov;Hongguang Xia
Pharmacological targeting of MCL-1 promotes mitophagy and improves disease pathologies in an Alzheimer’s disease mouse model
-
WB
-
COIP
-
human
-
Citation
-
-
Song Kangping,et al
Pulsed electromagnetic fields potentiate bone marrow mesenchymal stem cell chondrogenesis by regulating the Wnt/β-catenin signaling pathway
-
WB
-
Mouse
-
Citation
-
-
王迪
Cholesterol Homeostatic Regulator SCAP-SREBP2 Integrates NLRP3 Inflammasome Activation and Cholesterol Biosynthetic Signaling in Macrophages
-
WB
-
None
-
Citation
-
-
Wu, Y., Zhang, C., Liu, X., He, Z., Shan, B., Zeng, Q., Zhao, Q., Zhu, H., Liao, H., Cen, X., Xu, X., Zhang, M., Hou, T., Wang, Z., Yan, H., Yang, S., Sun, Y., Chen, Y., Wu, R., Xie, T., … Xia, H.
ARIH1 signaling promotes anti-tumor immunity by targeting PD-L1 for proteasomal degradation. Nature communications, 12(1), 2346.
-
WB
-
Human
-
Citation
-
-
Xu, T., Ma, Q., Li, Y., Yu, Q., Pan, P., Zheng, Y., Li, Z., Xiong, X., Hou, T., Yu, B., Liu, H., & Sun, Y.
A small molecule inhibitor of the UBE2F-CRL5 axis induces apoptosis and radiosensitization in lung cancer
-
WB
-
Human
-
Citation
-
-
ARIH1 activates STING-mediated T-cell activation and sensitizes tumors to immune checkpoint blockade
-
WB
-
Human
-
Mouse
-
Citation
-
-
Zhou, J., Wang, Y., Qiu, Y., Wang, Y., Yang, X., Liu, C., Shi, Y., Feng, X., Hou, L., & Liu, J.
Contribution of DEAD-Box RNA Helicase 21 to the Nucleolar Localization of Porcine Circovirus Type 4 Capsid Protein
-
WB
-
Human
-
Citation
-
-
Li Yiming,et al
Id2 epigenetically controls CD8+ T-cell exhaustion by disrupting the assembly of the Tcf3-LSD1 complex
-
WB
-
Mouse
-
Citation
-
-
Zhang, X., He, Y., Jiang, Y., Bao, Y., Chen, Q., Xie, D., Yu, H., & Wang, X.
TMEM229A suppresses non‑small cell lung cancer progression via inactivating the ERK pathway. Oncology reports, 46(2), 176.
-
WB
-
Human
-
Citation
-
-
Duan, X., Huang, Y., Chen, X., Wang, W., Chen, J., Li, J., Yang, W., Li, J., Wu, Q., & Wong, J.
Moderate DNA hypomethylation suppresses intestinal tumorigenesis by promoting caspase-3 expression and apoptosis. Oncogenesis, 10(5), 38.
-
WB
-
Mouse
-
Citation
-
-
Liu Chao,et al
hnRNPA0 promotes MYB expression by interacting with enhancer lncRNA MY34UE-AS in human leukemia cells
-
WB
-
Human
-
Citation
-
-
Apple polyphenol extract improves high-fat diet-induced hepatic steatosis by regulating bile acid synthesis and gut microbiota in C57BL/6 male mice
-
WB
-
Mouse
-
Citation
-
-
Qin Liu
The Edwardsiella piscicida thioredoxin-like protein inhibits ASK1-MAPKs signaling cascades to promote pathogenesis during infection.
-
WB
-
HEK293T
-
Citation
-
-
Gao XK, Sheng ZK, Lu YH, et al
VAPB-mediated ER-targeting stabilizes IRS-1 signalosomes to regulate insulin/IGF signaling
-
WB
-
Mouse
-
Citation
-
-
Zhi-Nan Chen;Juan Tang
Alterations of the Immunologic Co-Stimulator B7 and TNFR Families Correlate with Hepatocellular Carcinoma Prognosis and Metastasis by Inactivating STAT3
-
WB
-
human
-
Citation
-
-
Tian Rui,et al
TBC1D4 antagonizes RAB2A-mediated autophagic and endocytic pathways
-
WB
-
Mouse
-
Citation
-
-
Bai, R., Shi, Z., Li, D., Zhou, D., Ge, W. T., & Zheng, S.
Gene expression profile of human colorectal cancer identified NKTR as a biomarker for liver metastasis
-
WB
-
Human
-
Citation
-
-
Ma, X., Zhang, M., Yan, R., Wu, H., Yang, B., & Miao, Z.
β2SP/TET2 complex regulates gene 5hmC modification after cerebral ischemia
-
WB
-
Mouse
-
Citation
-
-
Zijun Chen;Yunsen Li
Anti-H1N1 viral activity of three main active ingredients from zedoary oil
-
WB
-
human
-
Citation
-
-
Dr Tao Li;Professor Wenjun Yang
Narasin inhibits tumor metastasis and growth of ERα-positive breast cancer cells by inactivation of the TGF-β/SMAD3 and IL-6/STAT3 signaling pathways
-
WB
-
human
-
Citation
-
-
Shu Zheng
High-throughput proteomics integrated with gene microarray for discovery of colorectal cancer potential biomarkers
-
WB
-
human
-
Citation
-
-
Zhenyu Ju & Yu-Sheng Cong
A critical role of DDRGK1 in endoplasmic reticulum homoeostasis via regulation of IRE1a stability
-
WB
-
HEK293T
-
MCF7 and HepG2 cells
-
Citation
-
-
Chen, R., Huang, M., Yang, X., Chen, X. H., Shi, M. Y., Li, Z. F., Chen, Z. N., & Wang, K.
CALR-TLR4 Complex Inhibits Non-Small Cell Lung Cancer Progression by Regulating the Migration and Maturation of Dendritic Cells
-
WB
-
Mouse
-
Citation
-
-
Zhou, J., Qiu, Y., Zhu, N., Zhou, L., Dai, B., Feng, X., Hou, L., & Liu, J.
The Nucleolar Localization Signal of Porcine Circovirus Type 4 Capsid Protein Is Essential for Interaction With Serine-48 Residue of Nucleolar Phosphoprotein Nucleophosmin-1
-
IP
-
Citation
-
-
Sergio Grinstein,Elina Ikonen,Paul Saftig,Dante Neculai
Lysosomal integral membrane protein-2 (LIMP-2/ SCARB2) is involved in lysosomal cholesterol export
-
WB
-
A431 cells and MEFs
-
Citation
-
-
GSK3β-driven SOX2 overexpression is a targetable vulnerability in esophageal squamous cell carcinoma
-
WB
-
Human
-
Citation
-
-
Ming Zhang,Liangbiao Chen
Wnt Signaling Modulates Routes of Retinoic Acid-Induced Differentiation of Embryonic Stem Cells.
-
WB
-
IS
-
Embryonic Stem Cells
-
Citation
-
-
Deng T, Du L, Ding S, et al
Protein kinase Cdc7 supports viral replication by phosphorylating Avibirnavirus VP3 protein
-
WB
-
Human
-
Citation
-
-
Qihan Wu;Jiemin Wong
USP7 negatively controls global DNA methylation by attenuating ubiquitinated histone-dependent DNMT1 recruitment
-
WB
-
human
-
Citation
-
-
Chen, X. H., Chen, R., Shi, M. Y., Tian, R. F., Zhang, H., Xin, Z. Q., Chen, Z. N., & Wang, K.
Chimeric antigen receptor T cells targeting CD147 for non-small cell lung cancer therapy
-
WB
-
Mouse
-
Citation
-
-
Xu, T., Yu, W., Fang, H., Wang, Z., Chi, Z., Guo, X., Jiang, D., Zhang, K., Chen, S., Li, M., Guo, Y., Zhang, J., Yang, D., Yu, Q., Wang, D., & Zhang, X.
Ubiquitination of NLRP3 by gp78/Insig-1 restrains NLRP3 inflammasome activation
-
WB
-
Mouse
-
Citation
-
-
Apple polyphenol extract modulates bile acid metabolism and gut microbiota by regulating the circadian rhythms in daytime-restricted high fat diet feeding C57BL/6 male mice
-
WB
-
Mouse
-
Citation
-
-
Ma, X. R., Yang, S. Y., Zheng, S. S., Yan, H. H., Gu, H. M., Wang, F., Wu, Y., Dong, Z. J., Wang, D. X., Wang, Y., Meng, X., Sun, J., Xia, H. G., & Zhao, J. W.
Inhibition of RIPK1 by ZJU-37 promotes oligodendrocyte progenitor proliferation and remyelination via NF-κB pathway
-
WB
-
Rat
-
Citation
-
-
Song Yanna,et al
Astrocyte-derived CHI3L1 signaling impairs neurogenesis and cognition in the demyelinated hippocampus
-
WB
-
Mouse
-
Citation
-
-
Yu, W., Wang, Z., Yu, X., Zhao, Y., Xie, Z., Zhang, K., Chi, Z., Chen, S., Xu, T., Jiang, D., Guo, X., Li, M., Zhang, J., Fang, H., Yang, D., Guo, Y., Yang, X., Zhang, X., Wu, Y., Yang, W., … Wang, D.
Kir2.1-mediated membrane potential promotes nutrient acquisition and inflammation through regulation of nutrient transporters
-
WB
-
Mouse
-
Citation
-
-
Jiang, X., Wang, X., Ding, X., Du, M., Li, B., Weng, X., Zhang, J., Li, L., Tian, R., Zhu, Q., Chen, S., Wang, L., Liu, W., Fang, L., Neculai, D., & Sun, Q.
FAM134B oligomerization drives endoplasmic reticulum membrane scission for ER-phagy. The EMBO journal, 39(5), e102608.
-
WB
-
Human
-
Citation
-
-
Wu, D., Li, H., Liu, M., Qin, J., & Sun, Y.
The Ube2m-Rbx1 neddylation-Cullin-RING-Ligase proteins are essential for the maintenance of Regulatory T cell fitness
-
WB
-
Mouse
-
Citation
-
-
Yang, X., Wei, W., Tan, S., Guo, L., Qiao, S., Yao, B., & Wang, Z.
Identification and verification of HCAR3 and INSL5 as new potential therapeutic targets of colorectal cancer
-
WB
-
Human
-
Citation
-
-
Jianli Wang,Zhijian Cai
Specific Decrease in B-Cell-Derived Extracellular Vesicles Enhances Post-Chemotherapeutic CD8+ T Cell Responses.
-
WB
-
Mouse
-
Citation
-
-
Zhou, L., Zhang, L., Chen, S., Sun, D., & Qu, J.
Elevated Neddylation Pathway Promotes Th2 Cells Infiltration by Transactivating STAT5A in Hepatocellular Carcinoma
-
WB
-
Citation
-
-
Conjugated linoleic acids inhibit lipid deposition in subcutaneous adipose tissue and alter lipid profiles in serum of pigs
-
WB
-
Pig
-
Citation
-
-
Xue Zhang;Kejing Ying
A novel cell-based assay for dynamically detecting neutrophil extracellular trapsinduced lung epithelial injuries
-
WB
-
human
-
Citation
-
-
Liu Li,et al
Suppressing mitochondrial inner membrane protein (IMMT) inhibits the proliferation of breast cancer cells through mitochondrial remodeling and metabolic regulation
-
WB
-
Human
-
Citation
-
-
Min Xu; Yijin Gao; Yanxin Li
The function of a heterozygous p53 mutation in a Li-Fraumeni syndrome patient
-
WB
-
human
-
Citation
-
-
Zhai, Y., Lin, P., Feng, Z., Lu, H., Han, Q., Chen, J., Zhang, Y., He, Q., Nan, G., Luo, X., Wang, B., Feng, F., Liu, F., Chen, Z., & Zhu, P.
TNFAIP3-DEPTOR complex regulates inflammasome secretion through autophagy in ankylosing spondylitis monocytes
-
WB
-
Human
-
Citation
-
-
Lu Py,et al
Effect and mechanism of recombinant human fibroblast growth factor 18 on osteoporosis in OVX mice
-
WB
-
Mouse
-
Citation
-
-
Zhi-Gang Zhang
SLIT2/ROBO1 axis contributes to the Warburg effect in osteosarcoma through activation of SRC/ERK/c-MYC/PFKFB2 pathway
-
WB
-
Human
-
Citation
-
-
Hu, J., Huang, Z., Yu, M., Zhang, P., Xia, Z., & Gao, C.
Caspase-8 activation in neutrophils facilitates autoimmune kidney vasculitis through regulating CD4+ effector memory T cells
-
WB
-
Human
-
Citation
-
-
Qin Liu
Phosphothreonine Lyase Promotes p65 Degradation in a Mitogen-Activated Protein Kinase/Mitogen- and StressActivated Protein Kinase 1-Dependent Manner
-
WB
-
Escherichia coli
-
Citation
-
-
Wang, L., Lv, Q., Wu, P., Luo, S., Liu, S., Chen, X., & Luo, X.
RNA-seq and ATAC-seq analysis of CD163+ macrophage-induced progestin-insensitive endometrial cancer cells
-
WB
-
Human
-
Citation
-
-
Monocyte-derived immature dendritic cells negatively regulate hepatic stellate cells in vitro by secreting IL-10
-
WB
-
Human
-
Citation
-
-
Dr Xia Liu,Professor Jianchao Wang
Silencing RRM2 inhibits multiple myeloma by targeting the Wnt/β-catenin signaling pathway
-
WB
-
multiple myeloma cell
-
Citation
-
-
Zhou, J., Qiu, Y., Zhao, J., Wang, Y., Zhu, N., Wang, D., Cui, Y., Guo, J., Sun, T., Ji, Y., Wu, Z., Zeng, P., Li, J., Feng, X., Hou, L., & Liu, J.
The Network of Interactions between the Porcine Epidemic Diarrhea Virus Nucleocapsid and Host Cellular Proteins
-
WB
-
Pig
-
Citation
-
-
You, D., Du, D., Zhao, X., Li, X., Ying, M., & Hu, X.
Mitochondrial malic enzyme 2 promotes breast cancer metastasis via stabilizing HIF-1α under hypoxia. Chinese journal of cancer research = Chung-kuo yen cheng yen chiu, 33(3), 308–322.
-
WB
-
Human
-
Citation
-
-
Chen, Z., Zhang, Y., Guan, Q., Zhang, H., Luo, J., Li, J., Wei, W., Xu, X., Liao, L., Wong, J., & Li, J.
Linking nuclear matrix-localized PIAS1 to chromatin SUMOylation via direct binding of histones H3 and H2A.Z
-
WB
-
Citation
-
-
SMURF2 facilitates ubiquitin-mediated degradation of ID2 to attenuate lung cancer cell proliferation
-
WB
-
Human
-
Mouse
-
Citation
-
-
Gao, X. K., Rao, X. S., Cong, X. X., Sheng, Z. K., Sun, Y. T., Xu, S. B., Wang, J. F., Liang, Y. H., Lu, L. R., Ouyang, H., Ge, H., Guo, J. S., Wu, H. J., Sun, Q. M., Wu, H. B., Bao, Z., Zheng, L. L., & Zhou, Y. T.
Phase separation of insulin receptor substrate 1 drives the formation of insulin/IGF-1 signalosomes
-
WB
-
Mouse
-
Citation
-
-
Zhi‐Nan Chen
Basolateral CD147 induces hepatocyte polarity loss by E‐cadherin ubiquitination and degradation in hepatocellular carcinoma progress
-
WB
-
human
-
Citation
-
-
Control of SOX2 protein stability and tumorigenic activity by E3 ligase CHIP in esophageal cancer cells
-
WB
-
Human
-
Citation
-
-
Zhou, J., Li, J., Li, H., Zhang, Y., Dong, W., Jin, Y., Yan, Y., Gu, J., & Zhou, J.
The serine-48 residue of nucleolar phosphoprotein nucleophosmin-1 plays critical role in subcellular localization and interaction with porcine circovirus type 3 capsid protein. Veterinary research, 52(1), 4.
-
WB
-
Citation
-
-
Bo Zhang,Qiuheng Jin,Lizhen Xu, Ningning Li
Cooperative transport mechanism of human monocarboxylate transporter 2
-
WB
-
human
-
Citation
-
-
Shao, R., Wang, X., Xu, T., Xia, Y., & Cui, D.
The balance between AIM2-associated inflammation and autophagy: the role of CHMP2A in brain injury after cardiac arrest
-
WB
-
Rat
-
Citation
-
-
Jinyan Gu; Jiyong Zhou
Nucleolar protein NPM1 is essential for circovirus replication by binding to viral capsid
-
WB
-
CoIP
-
human
-
Citation
-
-
Juan Tang;Zhi-Nan Chen
Programmed Death Ligand 1 Indicates Pre-Existing Adaptive Immune Response by Tumor-Infiltrating CD8+ T Cells in Non-Small Cell Lung Cancer
-
IHC
-
WB
-
human
-
Citation
-
-
Pharmacological investigation of indole alkaloids from Alstonia scholaris against chronic glomerulonephritis
-
WB
-
Mouse
-
Citation
-
-
Yang D; Liu Q.
Edwardsiella piscicida T3SS effector EseK inhibits MAPKs phosphorylation and promotes bacterial colonization in zebrafish larvae.
-
WB
-
zebrafish
-
Citation
-
-
Cao Min,et al
Network pharmacology analysis and molecular mechanism of paeoniflorin and its metabolite in prolactinoma cells
-
WB
-
Rat
-
Citation
-
-
Gregory D. Fairn,Brian Raught, Qiming Sun,Dante Neculai
Palmitoylation of NOD1 and NOD2 is required for bacterial sensing
-
WB
-
human
-
Citation
-
-
Changqing Yang
Telocytes in liver regeneration: possible roles
-
WB
-
mouse
-
Citation
-
-
Gong, H., Gong, T., Liu, Y., Wang, Y., & Wang, X.
Profiling of N6-methyladenosine methylation in porcine longissimus dorsi muscle and unravelling the hub gene ADIPOQ promotes adipogenesis in an m6A-YTHDF1-dependent manner
-
WB
-
Pig
-
Citation
-
-
Duan Chunyan,et al
E3 ubiquitin ligase UBR5 modulates circadian rhythm by facilitating the ubiquitination and degradation of the key clock transcription factor BMAL1
-
WB
-
Human
-
Citation
-
-
Guo, Y., Liu, Y., Zhao, S., Xu, W., Li, Y., Zhao, P., Wang, D., Cheng, H., Ke, Y., & Zhang, X.
Oxidative stress-induced FABP5 S-glutathionylation protects against acute lung injury by suppressing inflammation in macrophages
-
WB
-
Mouse
-
Citation
-
-
Wang Jianfeng,et al
Cigarette smoking inhibits myoblast regeneration by promoting proteasomal degradation of NPAT protein and hindering cell cycle progression
-
WB
-
Mouse
-
Citation
-
-
Wu, Y., Shen, S., Chen, J., Ni, W., Wang, Q., Zhou, H., Chen, J., Zhang, H., Mei, Z., Sun, X., Shen, P., Jie, Z., Xu, W., Hong, Z., Ma, Y., Wang, K., Wan, S., Wu, H., Xie, Z., Qin, A., … Fan, S.
Metabolite asymmetric dimethylarginine (ADMA) functions as a destabilization enhancer of SOX9 mediated by DDAH1 in osteoarthritis
-
WB
-
Mouse
-
Citation
-
-
Hui Li
Transcription coactivator Cited1 acts as an inducer of trophoblast-like state from mouse embryonic stem cells through the activation of BMP signaling
-
WB
-
mouse
-
Citation
-
-
Hui Li,Bin-Bing S. Zhou
HPRT1 activity loss is associated with resistance to thiopurine in ALL
-
WB
-
human
-
Citation
-
-
Lushu Chen, Yuan Cao, Yaming Shen, Huan Li, Rong Ye, Jin Yao
Downregulation of PIK3IP1 in retinal microglia promotes retinal pathological neovascularization via PI3K-AKT pathway activation
-
WB
-
Human
-
Citation
-
-
Rong Zhang g,Jun Li e, Dong Zhou
S1P/S1PR3 axis promotes aerobic glycolysis by YAP/c-MYC/PGAM1 axis in osteosarcoma
-
WB
-
human
-
Citation
-
-
Gao, Y., Xiang, D., Li, W., Zheng, X., Wang, L., Li, Z., & Chen, T.
BRAFV600E Mutation-Responsive miRNA-222-3p Promotes Metastasis of Papillary Thyroid Cancer Cells via Snail-Induced EMT
-
WB
-
Human
-
Citation
-
-
Wang, L., Yu, P., Wang, J., Xu, G., Wang, T., Feng, J., Bei, Y., Xu, J., Wang, H., Das, S., & Xiao, J.
Downregulation of circ-ZNF609 Promotes Heart Repair by Modulating RNA N6-Methyladenosine-Modified Yap Expression
-
WB
-
Rat
-
Citation
-
-
Li Yantao,et al
Bovine lactoferrin inhibits inflammatory response and apoptosis in lipopolysaccharide-induced acute lung injury by targeting the PPAR-γ pathway
-
WB
-
Mouse
-
Citation
-
-
Integrating network pharmacology and in vivo experimental validation to reveal the alleviation of mailuoning oral liquid on non-alcoholic fatty liver disease
-
WB
-
Mouse
-
Citation
-
-
He Ying,et al
ABLIM1, a novel ubiquitin E3 ligase, promotes growth and metastasis of colorectal cancer through targeting IĸBα ubiquitination and activating NF-ĸB signaling
-
WB
-
Mouse
-
Citation
-
-
Jiwen Li & JieminWong
Activated MEK/ERK Pathway Drives Widespread and Coordinated Overexpression of UHRF1 and DNMT1 in Cancer cells
-
WB
-
human
-
Citation
-
-
Shuhong Shen,Yanxin Li
A novel fusion gene PLEKHA6-NTRK3 in langerhans cell histiocytosis
-
WB
-
HEK293T
-
Citation
-