beta Actin Mouse Monoclonal Antibody [A2-F6] (EM21002)
Catalog# EM21002
Mouse Monoclonal to beta Actin
-
WB
-
IF-Cell
-
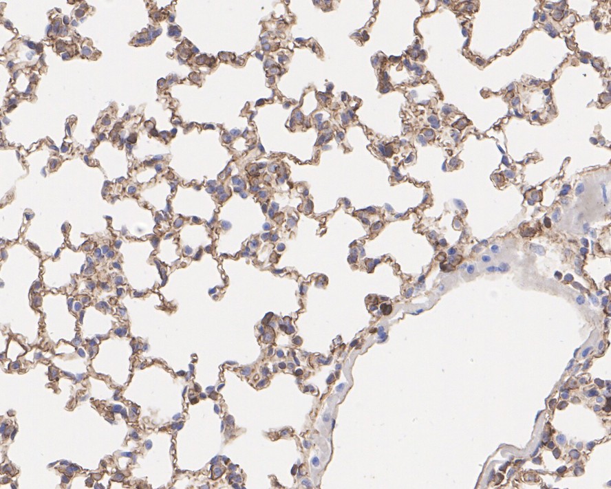
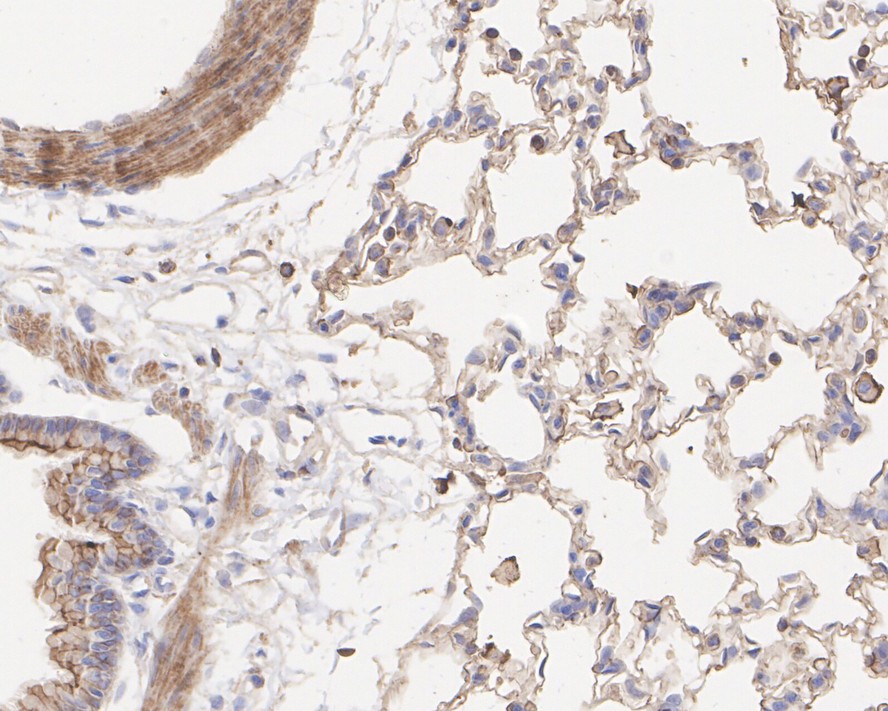
IHC-P
-
FC
-
Human
-
Mouse
-
Rat
Hela cell lysates at 10 µg/Lane.
Predicted band size: 42 kDa
Observed band size: 42 kDa
12% SDS-PAGE gel.
Proteins were transferred to a PVDF membrane and blocked with 5% NFDM/TBST for 1 hour at room temperature. The primary antibody (EM21002) at serial dilution was used in 5% NFDM/TBST at room temperature for 2 hours. Goat Anti-Mouse IgG - HRP Secondary Antibody (HA1006) at 1:100,000 dilution was used for 1 hour at room temperature.
Safety datasheet
Select your chosen country/region
- MSDS_HUABIO.pdf
- MSDS_HUABIO.pdf
- MSDS_EM21002_Europe.pdf
- No MSDS Found
COA DOWNLOAD
- No COA Found
Specifications
Product Type
Mouse monoclonal primary
Product Name
beta Actin Mouse Monoclonal Antibody [A2-F6] (EM21002)
Immunogen
Synthetic peptide (klh-coupled) within human beta-actin aa 1-50.
Host
Mouse
Positive Control
Hela cell lysate, THP-1 cell lysate, HepG2 cell lysate, MCF-7 cell lysate, PC-12 cell lysate, PMVEC cell lysate, RH-35 cell lysate, L6 cell lysate, NIH/3T3 cell lysate, L929 cell lysate, RAW264.7 cell lysate, B16F1 cell lysate, MEF cell lysate, Hela, A549, NIH/3T3, human colon carcinoma tissue, mouse prostate tissue, mouse kidney tissue.
Conjugation
Unconjugated
Clonality
Monoclonal
Clone Number
A2-F6
RRID
APPLICATION DILUTION
-
WB
-
1:40,000-100,000
-
IF-Cell
-
1:100-1:200
-
IHC-P
-
1:1,000
-
FC
-
1:1,000
PROPERTIES
Form
Liquid
Storage Condition
Shipped at 4℃. Store at +4℃ short term (1-2 weeks). It is recommended to aliquot into single-use upon delivery. Store at -20℃ long term.
Storage Buffer
1*PBS (pH7.4), 0.2% BSA, 40% Glycerol. Preservative: 0.05% Sodium Azide.
Concentration
2ug/ul
Purification
Protein A affinity purified.
Molecular Weight
Predicted band size: 42 kDa
Isotype
IgG1
TARGET
UNIPROT #
PROTEIN NAME
beta Actin
SYNONYMS
A26C1A antibody;A26C1B antibody;ACTB antibody;ACTB_HUMAN antibody;Actin beta antibody;Actin cytoplasmic 1 antibody;Actin, cytoplasmic 1, N-terminally processed antibody;Actx antibody;b actin antibody;Beta cytoskeletal actin antibody;Beta-actin antibody;BRWS1 antibody;E430023M04Rik antibody;MGC128179 antibody;PS1TP5 binding protein 1 antibody;PS1TP5BP1 antibody;β-actin antibody;β actin antibody
SEQUENCE SIMILARITIES
Belongs to the actin family.
POST-TRANSLATIONAL MODIFICATION
ISGylated.; Oxidation of Met-44 and Met-47 by MICALs (MICAL1, MICAL2 or MICAL3) to form methionine sulfoxide promotes actin filament depolymerization. MICAL1 and MICAL2 produce the (R)-S-oxide form. The (R)-S-oxide form is reverted by MSRB1 and MSRB2, which promote actin repolymerization.; Monomethylation at Lys-84 (K84me1) regulates actin-myosin interaction and actomyosin-dependent processes. Demethylation by ALKBH4 is required for maintaining actomyosin dynamics supporting normal cleavage furrow ingression during cytokinesis and cell migration.; Methylated at His-73 by SETD3. Methylation at His-73 is required for smooth muscle contraction of the laboring uterus during delivery (By similarity).; [Actin, cytoplasmic 1, N-terminally processed]: N-terminal acetylation by NAA80 affects actin filament depolymerization and elongation, including elongation driven by formins. In contrast, filament nucleation by the Arp2/3 complex is not affected.; (Microbial infection) Monomeric actin is cross-linked by V.cholerae toxins RtxA and VgrG1 in case of infection: bacterial toxins mediate the cross-link between Lys-50 of one monomer and Glu-270 of another actin monomer, resulting in formation of highly toxic actin oligomers that cause cell rounding. The toxin can be highly efficient at very low concentrations by acting on formin homology family proteins: toxic actin oligomers bind with high affinity to formins and adversely affect both nucleation and elongation abilities of formins, causing their potent inhibition in both profilin-dependent and independent manners.
SUBCELLULAR LOCATION
Cytoplasm.
FUNCTION
Beta-actin (human gene and protein abbreviation ACTB/ACTB) is one of six different actin isoforms which have been identified in humans. This is one of the two nonmuscle cytoskeletal actins. Actins are highly conserved proteins[5][6] that are involved in cell motility, structure and integrity. Alpha actins are a major constituent of the contractile apparatus. Beta-actin has been shown to interact with SPTBN2. In addition, RNA-binding protein Sam68 was found to interact with the mRNA encoding β-actin, which regulates the synaptic formation of the dendritic spines with its cytoskeletal components. Beta-actin has been shown to activate eNOS, thereby increasing NO production. An eight-amino acid residue (326-333) in actin has been shown to mediate the interaction between actin and eNOS. Recurrent mutations in this gene have been associated to cases of diffuse large B-cell lymphoma. Beta actin is often used in Western blotting as a loading control, to normalize total protein amounts and check for eventual protein degradation in the samples. Its transcript is also commonly used as a housekeeping gene standard in qPCR. Its molecular weight is approximately 42 kDa.
CITATIONS
-
Yi Ting Zhou
Activation of AKT-mTOR Signaling Directs Tenogenesis of Mesenchymal Stem Cells
-
WB
-
Murine C3H10T1/2 MSC line
-
Citation
-
-
Sun Yujie,et sl
Regulation mechanism of EBV-encoded EBER1 and LMP2A on YAP1 and the impact of YAP1 on the EBV infection status in EBV-associated gastric carcinoma
-
WB
-
Human
-
Citation
-
-
P22077 inhibits LPS-induced inflammatory response by promoting K48-linked ubiquitination and degradation of TRAF6
-
WB
-
Mouse
-
Citation
-
-
Jin, X., Li, L., Peng, Q., Gan, C., Gao, L., He, S., Tan, S., Pu, W., Liu, Y., Gong, Y., Yao, Y., Wang, G., Liu, X., Gong, M., Lei, P., Zhang, H., Qi, S., Xu, H., Hu, H., Dong, B., … Dai, L.
Glycyrrhetinic acid restricts mitochondrial energy metabolism by targeting SHMT2
-
WB
-
Human
-
Citation
-
-
Minyue Dong
Involvement of follistatin-like 3 in preeclampsia.
-
WB
-
human
-
Citation
-
-
Jie-Feng Cui
Dynamic Expression Patterns of Differential Proteins during Early Invasion of Hepatocellular Carcinoma
-
WB
-
IF
-
human
-
Citation
-
-
Camptothecin-Loaded and Manganese Dioxide-Coated Polydopamine Nanomedicine Used for Magnetic Resonance Imaging Diagnosis and Chemo-Photothermal Therapy for Lung Cancer
-
WB
-
Mouse
-
Citation
-
-
β1, 4-galactosyltransferase v modulates breast cancer stem cells through wnt/β-catenin signaling pathway
-
WB
-
Human
-
Citation
-
-
The activities and mechanisms of intestinal microbiota metabolites of TCM herbal ingredients could be illustrated by a strategy integrating spectrum-effects, network pharmacology, metabolomics and molecular docking analysis: Platycodin D as an example
-
WB
-
Mouse
-
Citation
-
-
Activation of Wnt/β‑Catenin‑p130/E2F4 promotes the differentiation of bone marrow‑derived mesenchymal stem cells into type II alveolar epithelial cells through cell cycle arrest
-
WB
-
Mouse
-
Citation
-
-
Lan Kunmei,et al
Sensing of mitochondrial DNA by ZBP1 promotes RIPK3- mediated necroptosis and ferroptosis in response to diquat poisoning
-
WB
-
Mouse
-
Citation
-
-
PNSA, a Novel C-Terminal Inhibitor of HSP90, Reverses Epithelial–Mesenchymal Transition and Suppresses Metastasis of Breast Cancer Cells In Vitro
-
Xiao W,Chen W
Teuvincenone F Suppresses LPS-Induced Inflammation and NLRP3 Inflammasome Activation by Attenuating NEMO Ubiquitination
-
WB
-
Mouse
-
Citation
-
-
Increased production and anti-senescence activity of exopolysaccharides in Ganoderma lingzhi by co-overexpression of β-1, 3-glucan synthase and UDP-glucose pyrophosphorylase
-
WB
-
Human
-
Citation
-
-
A pan-cancer analysis of SLC1A5 in human cancers
-
WB
-
Human
-
Citation
-
-
Huirong M.
Effect of Bushenwenyanghuayu decoction on nerve growth factor and bradykinin/bradykinin B1 receptor in a endometriosis dysmenorrhea mouse model
-
WB
-
mouse
-
Citation
-
-
Scavenger receptor A-mediated nanoparticles target M1 macrophages for acute liver injury
-
WB
-
Mouse
-
Citation
-
-
Baricitinib improves pulmonary fibrosis in mice with rheumatoid arthritis-associated interstitial lung disease by inhibiting the Jak2/Stat3 signaling pathway
-
WB
-
Mouse
-
Citation
-
-
Chen Liangmin,et al
Psoralen and Isopsoralen, Two Estrogen-Like Natural Products from Psoraleae Fructus, Induced Cholestasis via Activation of ERK1/2
-
WB
-
Zebrafish
-
Citation
-
-
Exercise improved bone health in aging mice: a role of SIRT1 in regulating autophagy and osteogenic differentiation of BMSCs
-
WB
-
Mouse
-
Citation
-
-
Qianghua Xu
Molecular cloning of heat shock protein 60 (PtHSP60)from Portunus trituberculatus and its expression response to salinity stress
-
WB
-
Portunus trituberculatus
-
Citation
-
-
Zhu Ning,et al
Loss-of-function mutation of REV1 (p. R704Q) mediates cetuximab primary resistance by activating autophagy in RAS-wild type metastatic colorectal cancer
-
WB
-
Human
-
Citation
-
-
miR-155 and miR-146a collectively regulate meningitic Escherichia coli infection-mediated neuroinflammatory responses
-
WB
-
Human
-
Citation
-
-
Zhou N
Activation of cAMP-response element-binding protein is positively regulated by PKA and calcium-sensitive calcineurin and negatively by PKC in insect
-
WB
-
Bombyx mori
-
Citation
-
-
Iron Oxide Nanoparticles as Autophagy Intervention Agents Suppress Hepatoma Growth by Enhancing Tumoricidal Autophagy
-
WB
-
Human
-
Citation
-
-
Pulsatilla chinensis saponins improve SCFAs regulating GPR43-NLRP3 signaling pathway in the treatment of ulcerative colitis
-
Meng Tiantian,et al
MicroRNA-181b attenuates lipopolysaccharide-induced inflammatory responses in pulpitis via the PLAU/AKT/NF-κB axis
-
WB
-
Rat
-
Citation
-
-
Alisol B blocks the development of HFD-induced obesity by triggering the LKB1-AMPK signaling in subcutaneous adipose tissue
-
WB
-
Mouse
-
Citation
-
-
Molecular mechanism of c-Myc and PRPS1/2 against thiopurine resistance in Burkitt's lymphoma
-
WB
-
Human
-
Citation
-
-
Zhang, Z., Yang, C., Li, L., Zhu, Y., Su, K., Zhai, L., Wang, Z., & Huang, J.
“γδT Cell-IL17A-Neutrophil” Axis Drives Immunosuppression and Confers Breast Cancer Resistance to High-Dose Anti-VEGFR2 Therapy
-
WB
-
Mouse
-
Citation
-
-
MitoQ protects against hyperpermeability of endothelium barrier in acute lung injury via a Nrf2-dependent mechanism
-
WB
-
Human
-
Citation
-
-
Role of Gltp in Maturation of Oligodendrocytes Under the Regulation of Nkx2.2
-
WB
-
Mouse
-
Citation
-
-
Butyrate reverses ferroptosis resistance in colorectal cancer by inducing c-Fos-dependent xCT suppression
-
WB
-
Mouse
-
Citation
-
-
L. Jia;W.-L. Chen
An essential role for GLUT5-mediated fructose utilization in exacerbating the malignancy of clear cell renal cell carcinoma
-
WB
-
human
-
Citation
-
-
Wu, H., Yang, H., Ji, G., Zheng, T., Zhang, Y., Deng, T., Zheng, X., Zhou, J., & Hu, B.
SUMO1 Modification Facilitates Avibirnavirus Replication by Stabilizing Polymerase VP1. Journal of virology, 93(10), e02227-18.
-
WB
-
Citation
-
-
Lixin Wei
Activation of autophagy protects against cholestasis-induced hepatic injury
-
WB
-
mouse
-
Citation
-
-
The genomic basis for colonizing the freezing Southern Ocean revealed by Antarctic toothfish and Patagonian robalo genomes
-
WB
-
Strain
-
Citation
-
-
Shi Fan,et al
Hepatitis B virus X protein promotes tumor glycolysis by downregulating lncRNA OIP5-AS1/HKDC1 in HCC
-
WB
-
Mouse
-
Citation
-
-
Analysis of cantharidin-induced nephrotoxicity in HK-2 cells using untargeted metabolomics and an integrative network pharmacology analysis
-
WB
-
human
-
Citation
-
-
Wang Yuanyuan,et al
Solanesol alleviates CFA-induced chronic inflammatory pain via inhibition of proinflammatory cytokines in spinal glial cells
-
WB
-
Mouse
-
Citation
-
-
Berberine Alleviates Non-alcoholic Steatohepatitis Through Modulating Gut Microbiota Mediated Intestinal FXR Activation
-
WB
-
Mouse
-
Citation
-
-
Celastrol Inhibited Human Esophageal Cancer by Activating DR5-Dependent Extrinsic and Noxa/Bim-Dependent Intrinsic Apoptosis
-
WB
-
Human
-
Citation
-
-
Andrographolide Inhibits ER-Positive Breast Cancer Growth and Enhances Fulvestrant Efficacy via ROS-FOXM1-ER-α Axis
-
WB
-
Human
-
Citation
-
-
Guang Ji
Hawthorn leaf flavonoids alleviate nonalcoholic fatty liver disease by enhancing the adiponectin/AMPK pathway
-
WB
-
Rat
-
Citation
-
-
Zhen-Yu Du
Nutritional background changes the hypolipidemic effects of fenofibrate in Nile tilapia (Oreochromis niloticus).
-
WB
-
Oreochromis niloticus
-
Citation
-
-
Yi Guoliang,et al
Atractylenolide-III attenuates osteoarthritis by repolarizing macrophages through inactivating TLR4/NF-κB signaling
-
WB
-
Rat
-
Citation
-
-
Regulation of TRAF6 by MicroRNA-146a in Zebrafish Embryos after Exposure to Di(2-Ethylhexyl) Phthalate at Different Concentrations
-
WB
-
zebrafish
-
Citation
-
-
Preparation of Ultra-Small Copper Nanoparticles-Loaded Self-Healing Hydrogels with Antibacterial, Inflammation-Suppressing and Angiogenesis-Enhancing Properties for Promoting Diabetic Wound Healing
-
WB
-
Human,Mouse
-
Citation
-
-
Deng, T., Hu, B., Wang, X., Lin, L., Zhou, J., Xu, Y., Yan, Y., Zheng, X., & Zhou, J.
Inhibition of Antiviral Innate Immunity by Avibirnavirus VP3 via Blocking TBK1-TRAF3 Complex Formation and IRF3 Activation. mSystems, 6(3), e00016-21.
-
WB
-
Citation
-
-
Zixin Liu, Limei Fan, Dongqin Niu, Ming Chen, Weiran Zhang, Yuchen Liu, Jinhua Xu, Dong Wang
Copper (II) complex of salicylate phenanthroline induces the apoptosis of colorectal cancer cells, including oxaliplatin‑resistant cells
-
WB
-
Mouse
-
Human
-
Citation
-
-
Jiyong Zhou
Ubiquitination Is Essential for Avibirnavirus Replication by Supporting VP1 Polymerase Activity
-
WB
-
human
-
Citation
-
-
Andrographolide Induces Noxa-Dependent Apoptosis by Transactivating ATF4 in Human Lung Adenocarcinoma Cells
-
WB
-
Human
-
Citation
-
-
Xiangru Wang
Induction of VEGFA and Snail-1 by meningitic Escherichia coli mediates disruption of the blood-brain barrier
-
WB
-
IHC
-
Escherichia coli
-
Citation
-
-
Dr. Jing Lv;Dr. Shihai Liu
Forkhead box K1 regulates the malignant behavior of gastric cancer by inhibiting autophagy
-
WB
-
human
-
Citation
-
-
Crocin alleviates intracerebral hemorrhage–induced neuronal ferroptosis by facilitating Nrf2 nuclear translocation
-
WB
-
Mouse
-
Citation
-
-
Ubiquitin-specific peptidase 39 promotes human glioma cells migration and invasion by facilitating ADAM9 mRNA maturation
-
WB
-
Human
-
Citation
-
-
Zhewei Fei
Vasodilator-stimulated phosphoprotein (VASP),a novel target of miR-4455,promotes gastric cancer cell proliferation,migration,and invasion,through activating the PI3K/AKT signaling pathway
-
WB
-
human
-
Citation
-
-
Xiang-Ru Wang
EGFR transactivation contributes to neuroinflammation in Streptococcus suis meningitis
-
WB
-
Streptococcus
-
Citation
-
-
Guang Ji
Increased ARPP-19 Expression Is Associated with Hepatocellular Carcinoma
-
WB
-
human
-
Citation
-
-
Astrocyte-Derived TGFβ1 Facilitates Blood–Brain Barrier Function via Non-Canonical Hedgehog Signaling in Brain Microvascular Endothelial Cells
-
WB
-
Human
-
Citation
-
-
MicroRNA-579-3p Exerts Neuroprotective Effects Against Ischemic Stroke via Anti-Inflammation and Anti-Apoptosis
-
WB
-
Rat
-
Citation
-
-
Diangui Li
Effect of Huazhuojiedu medicated serum on the proliferation and activation of hepatic stellate cells and the expression of PI3K and p-Akt in rats
-
WB
-
rat
-
Citation
-
-
Sun, Y., Zheng, C., Li, T., He, X., Yang, F., Guo, W., Song, J., Gao, Y., Deng, C., & Huang, X.
GB1a Activates SIRT6 to Regulate Lipid Metabolism in Mouse Primary Hepatocytes
-
WB
-
Mouse
-
Citation
-
-
Haiyan Song,Guang Ji
Elevated serum A20 is associated with severity of chronic hepatitis B and A20 inhibits NF-κB-mediated inflammatory response
-
WB
-
human
-
Citation
-
-
Jin, X., Liu, J., Wang, W., Li, J., Liu, G., Qiu, R., Yang, M., Liu, M., Yang, L., Du, X., & Lei, B.
Identification of age-associated proteins and functional alterations in human retinal pigment epithelium
-
WB
-
Human
-
Citation
-
-
CircPOMT1 and circMCM3AP inhibit osteogenic differentiation of human adipose-derived stem cells by targeting miR-6881-3p
-
WB
-
Human
-
Citation
-
-
Jiyong Zhou
The co-chaperone Cdc37 regulates the rabies virus phosphoprotein stability by targeting to Hsp90AA1 machinery
-
WB
-
mouse
-
Citation
-
-
Sun Y, He Q, Li J, et al
A GSTP1-mediated lactic acid signaling promotes tumorigenesis through the PPP oxidative branch
-
WB
-
Human
-
Citation
-
-
Integrative omic analysis reveals the improvement of alkaloid accumulation by ultraviolet-B radiation and its upstream regulation in Catharanthus roseus
-
WB
-
Human
-
Citation
-
-
Tan Xiuying,et al
Punicalagin Ameliorates Diabetic Liver Injury by Inhibiting Pyroptosis and Promoting Autophagy via Modulation of the FoxO1/TXNIP Signaling Pathway
-
WB
-
Mouse
-
Citation
-
-
Wei Jiang,Derong Cui
bFGF plays a neuroprotective role by suppressing excessive autophagy and apoptosis after transient global cerebral ischemia in rats
-
WB
-
rats
-
Citation
-
-
Autonomous metal-organic framework nanorobots for active mitochondria-targeted cancer therapy
-
HDAC6-mediated Hsp90 deacetylation reduces aggregation and toxicity of the protein alpha-synuclein by regulating chaperone-mediated autophagy
-
WB
-
human
-
Citation
-
-
Guo, Yafei;Li, Qin;Zhao, Gang;Zhang, Jie;Yuan, Hang;Feng, Tianyu;Ou, Deqiong;Gu, Rui;Li, Siqi;Li, Kai;Lin, Ping
Loss of TRIM31 promotes breast cancer progression through regulating K48- and K63-linked ubiquitination of p53
-
WB
-
Human
-
Citation
-
-
Liu, T., Xu, M., Shi, Z., Li, M., Wang, R., Shi, Y., Xu, X., Shao, T., & Sun, Q.
Shenhuang plaster ameliorates the Inflammation of postoperative ileus through inhibiting PI3K/Akt/NF-κB pathway
-
Zhang W
Myricetin suppresses differentiation of 3 T3-L1 preadipocytes and enhances lipolysis in adipocytes
-
WB
-
Mouse
-
Citation
-
-
Zhenyu Ju & Yu-Sheng Cong
A critical role of DDRGK1 in endoplasmic reticulum homoeostasis via regulation of IRE1a stability
-
WB
-
human
-
Citation
-
-
Bioactive mineralized small intestinal submucosa acellular matrix/PMMA bone cement for vertebral bone regeneration
-
WB
-
Mouse
-
Citation
-
-
Quantitative Profiling of Oxylipin Reveals the Mechanism of Pien-Tze-Huang on Alcoholic Liver Disease
-
WB
-
Mouse
-
Citation
-
-
Declined placental PLAC1 expression is involved in preeclampsia
-
WB
-
human
-
Citation
-
-
Yanning Liu,Min Zheng
MiR‐122 modification enhances the therapeutic efficacy of adipose tissue‐derived mesenchymal stem cells against liver fibrosis
-
WB
-
mouse
-
Citation
-
-
Yingying Sun , Le Xu , Yi Li , Shunze Jia , Gang Wang , Xufeng Cen , Yuyan Xu , Zhongkai Cao , Jingjing Wang , Ning Shen , Lidan Hu , Jin Zhang , Jianhua Mao , Hongguang Xia , Zhihong Liu , Xudong Fu
Mitophagy defect mediates the aging-associated hallmarks in Hutchinson-Gilford progeria syndrom
-
WB
-
Human
-
Citation
-
-
Xu Shuo,et al
Self-consuming DNA nanogear retrieval exosomes for grading analysis of gliomas
-
WB
-
Human
-
Citation
-
-
Yuan-Li Wang
Involvement of the single Cul4 gene of Chinese mitten crab Eriocheir sinensis in spermatogenesis
-
WB
-
Eriocheir sinensis
-
Citation
-
-
Li Weijing,et al
Dexmedetomidine hydrochloride plus sufentanil citrate inhibits glucose metabolism and epithelial‑mesenchymal transition in human esophageal squamous carcinoma KYSE30 cells by modulating the JAK/STAT3/HIF‑1α axis
-
WB
-
Human
-
Citation
-
-
Daurisoline Inhibits ESCC by Inducing G1 Cell Cycle Arrest and Activating ER Stress to Trigger Noxa-Dependent Intrinsic and CHOP-DR5-Dependent Extrinsic Apoptosis via p-eIF2α-ATF4 Axis
-
WB
-
Human
-
Citation
-
-
Aixin Hu , Wenxia Huang , Xin Shu , Shiyue Ma , Caimei Yang , Ruiqiang Zhang , Xiao Xiao , Yanping Wu
Lactiplantibacillus plantarum Postbiotics Suppress Salmonella Infection via Modulating Bacterial Pathogenicity, Autophagy and Inflammasome in Mice
-
WB
-
Mouse
-
Citation
-
-
Periodontal ligament fibroblasts regulate osteoblasts by exosome secretion induced by inflammatory stimuli
-
WB
-
Human
-
Citation
-
-
5hmC modification regulates R-loop accumulation in response to stress
-
WB
-
Mouse
-
Citation
-
-
Chen L
miR-888 in MCF-7 Side Population Sphere Cells Directly Targets E-cadherin
-
WB
-
Human
-
Citation
-
-
The let-7c/HoxB7 axis regulates the cell proliferation, migration and apoptosis in hepatocellular carcinoma
-
WB
-
Human
-
Citation
-
-
Zhang, Y., Li, B. X., Mao, Q. Z., Zhuo, J. C., Huang, H. J., Lu, J. B., Zhang, C. X., Li, J. M., Chen, J. P., & Lu, G.
The JAK-STAT pathway promotes persistent viral infection by activating apoptosis in insect vectors
-
WB
-
Laodelphax striatellus
-
Citation
-
-
Curcumin analogues attenuate Aβ25-35-induced oxidative stress in PC12 cells via Keap1/Nrf2/HO-1 signaling pathways.
-
WB
-
Human
-
Citation
-
-
Ni, Y., Zheng, A., Hu, Y., Rong, N., Zhang, Q., Long, W., Yang, S., Nan, S., Zhang, L., Zhou, K., Wu, T., & Fu, Z.
Compound dietary fiber and high-grade protein diet improves glycemic control and ameliorates diabetes and its comorbidities through remodeling the gut microbiota in mice
-
WB
-
Mouse
-
Citation
-
-
Jiemin Wong
Differential Regulation of the Ten-Eleven Translocation (TET) Family of Dioxygenases by O-Linked β-N-Acetylglucosamine Transferase (OGT)
-
WB
-
human
-
Citation
-
-
Ferulic acid supplementation alleviates hyperuricemia in high-fructose/fat diet-fed rats via promoting uric acid excretion and mediating the gut microbiota
-
WB
-
Rat
-
Citation
-
-
Meningitic Escherichia coli α-hemolysin aggravates blood–brain barrier disruption via targeting TGFβ1-triggered hedgehog signaling
-
WB
-
Rat
-
Citation
-
-
Qin Liu
The Bacterial T6SS Effector EvpP Prevents NLRP3 Inflammasome Activation by Inhibiting the Ca2+-Dependent MAPK-Jnk Pathway
-
WB
-
Mouse
-
Citation
-
-
Junyu Xu,Jian-hong Luo
Gamma Oscillation Dysfunction in mPFC Leads to Social Deficits in Neuroligin 3 R451C Knockin Mice
-
WB
-
Mouse
-
Citation
-
-
Juying Qian,Junbo Ge
Liraglutide attenuates NLRP3 inflammasome-dependent pyroptosis via regulating SIRT1/NOX4/ROS pathway in H9c2 cells
-
WB
-
H9c2 cardiomyoblasts
-
Citation
-
-
Liu Shengjie,et al
Pyrroloquinoline quinone promotes human mesenchymal stem cell-derived mitochondria to improve premature ovarian insufficiency in mice through the SIRT1/ATM/p53 pathway
-
WB
-
Mouse
-
Citation
-
-
Guohong Zhuang,Ping Yin
The pro-apoptotic effects of TiPe2 on aa rat fibroblast-like synoviocytes via regulation of the Dr5–caspase–NF-κB pathway in vitro
-
WB
-
rat
-
Citation
-
-
Yang Yimin
β-Mangostin targets and suppresses glioma via STING activation and tumor-associated microglia polarization
-
WB
-
Mouse
-
Citation
-
-
Inhibition of ROCK ameliorates pulmonary fibrosis by suppressing M2 macrophage polarisation through phosphorylation of STAT3
-
WB
-
Mouse
-
Citation
-
-
Chengwei Liang
Defective autophagy leads to the suppression of stem-like features of CD271+osteosarcoma cells
-
WB
-
human
-
Citation
-
-
Mei-Ling Zhang & Zhen-Yu Du
Systemic adaptation of lipid metabolism in response to low- and high-fat diet in Nile tilapia (Oreochromis niloticus)
-
WB
-
Oreochromis niloticus
-
Citation
-