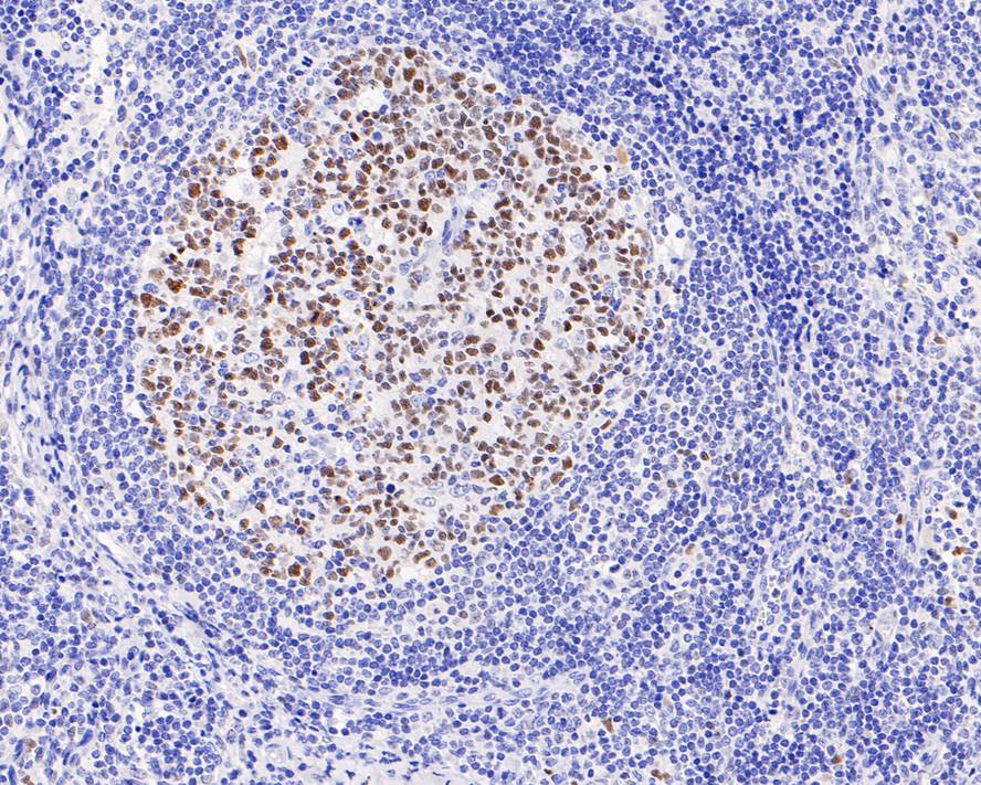
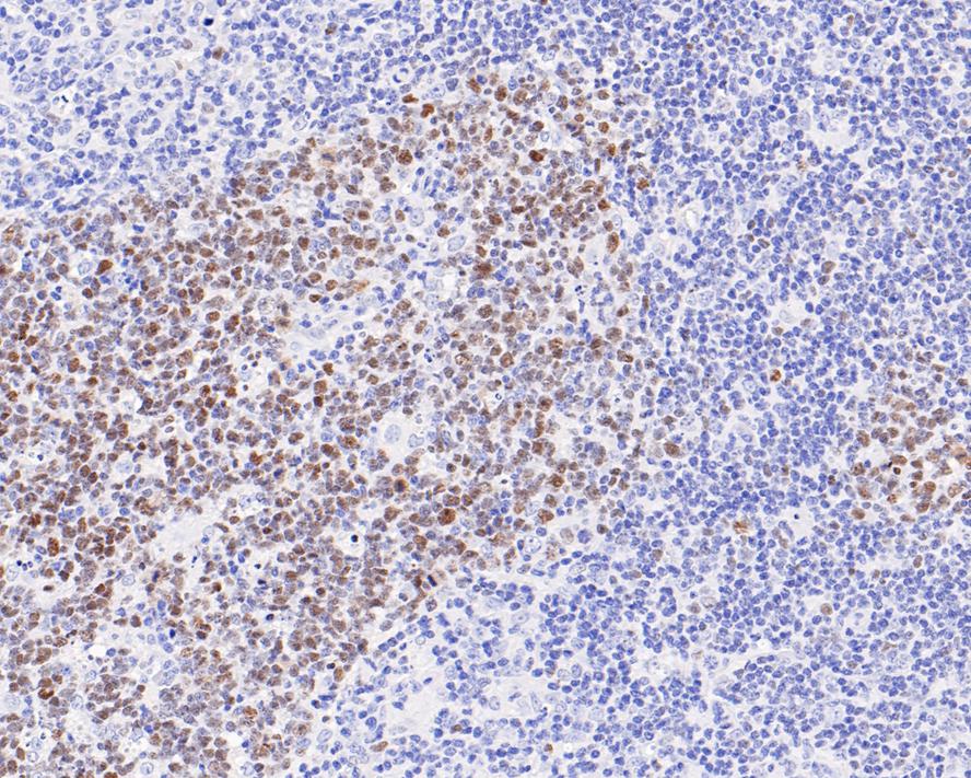
BCL6 Recombinant Mouse Monoclonal Antibody [A6C8-R] (HA601084)
Catalog# HA601084
Mouse Monoclonal to BCL6
Tested for
-
IHC-P
-
IF-Cell
-
mIHC
Reacts with
-
Human
Recombinant production enables lot-to-lot consistency and is animal-cruelty-free