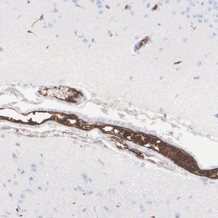
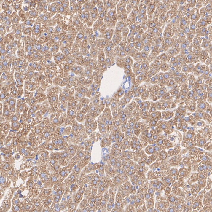
Antithrombin III / ATIII Recombinant Rabbit Monoclonal Antibody [PSH12-13] (HA723429)
Catalog# HA723429
Rabbit Monoclonal to Antithrombin III / ATIII
Tested for
-
WB
-
IHC-P
Reacts with
-
Human
-
Mouse
-
Rat
Recombinant production enables lot-to-lot consistency and is animal-cruelty-free