Alkaline Phosphatase Recombinant Rabbit Monoclonal Antibody [SA40-00] (ET1601-21)
Catalog# ET1601-21
Rabbit Monoclonal to Alkaline Phosphatase
-
WB
-
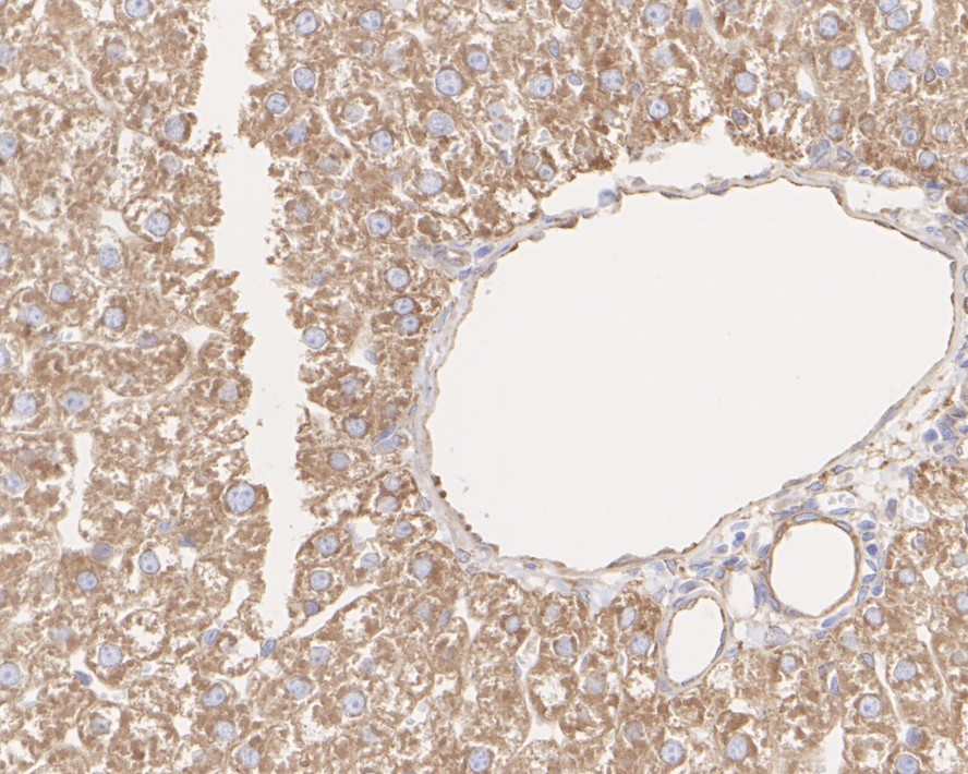
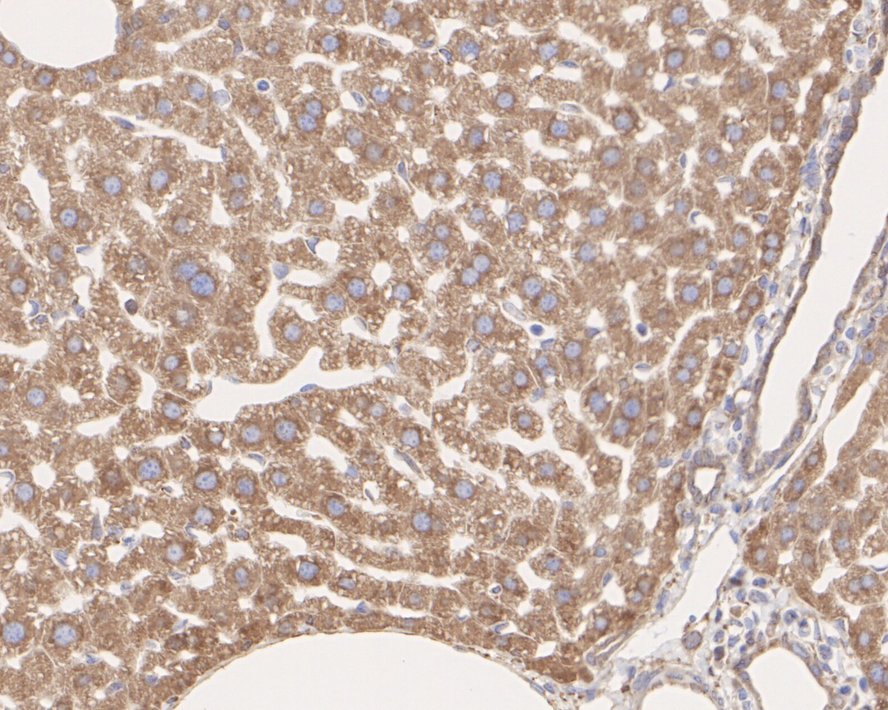
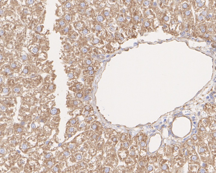
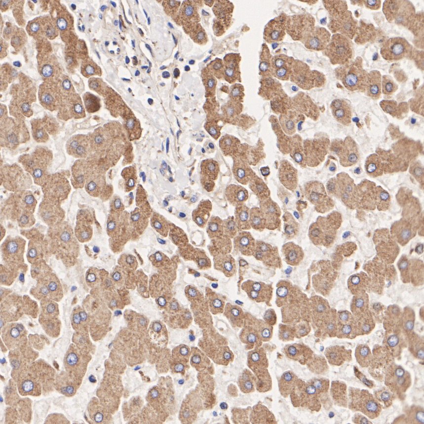
IHC-P
-
IF-Tissue
-
Human
-
Mouse
-
Rat
Lane 1: Saos-2 cell lysate (15 µg/Lane)
Lane 2: HeLa cell lysate (15 µg/Lane)
Lane 3: A549 cell lysate (15 µg/Lane)
Lane 4: Mouse liver tissue lysate (20 µg/Lane)
Lane 5: Rat liver tissue lysate (20 µg/Lane)
Predicted band size: 57 kDa
Observed band size: 75 kDa
Exposure time: 24 seconds; ECL: K1801;
4-20% SDS-PAGE gel.
Proteins were transferred to a PVDF membrane and blocked with 5% NFDM/TBST for 1 hour at room temperature. The primary antibody (ET1601-21) at 1/5,000 dilution was used in 5% NFDM/TBST at 4℃ overnight. Goat Anti-Rabbit IgG - HRP Secondary Antibody (HA1001) at 1:50,000 dilution was used for 1 hour at room temperature.
Safety datasheet
Select your chosen country/region
- MSDS_HUABIO.pdf
- MSDS_HUABIO.pdf
- MSDS_ET1601-21_Europe.pdf
- No MSDS Found
COA DOWNLOAD
- No COA Found
Specifications
Product Type
Recombinant Rabbit monoclonal primary
Product Name
Alkaline Phosphatase Recombinant Rabbit Monoclonal Antibody [SA40-00] (ET1601-21)
Immunogen
Synthetic peptide within human alkaline phosphatase aa 18-50.
Host
Rabbit
Positive Control
Saos-2 cell lysate, HeLa cell lysate, A549 cell lysate, Mouse liver tissue lysate, Rat liver tissue lysate, HepG2, SW480, mouse kidney tissue, mouse jawbone tissue, rat liver tissue, mouse liver tissue, Hela.
Conjugation
Unconjugated
Clonality
Monoclonal
Clone Number
SA40-00
RRID
APPLICATION DILUTION
-
WB
-
1:5,000
-
IHC-P
-
1:1,000-1:8,000
-
IF-Tissue
-
1:200
PROPERTIES
Form
Liquid
Storage Condition
Shipped at 4℃. Store at +4℃ short term (1-2 weeks). It is recommended to aliquot into single-use upon delivery. Store at -20℃ long term.
Storage Buffer
1*TBS (pH7.4), 0.05% BSA, 40% Glycerol. Preservative: 0.05% Sodium Azide.
Concentration
1ug/ul
Purification
Protein A affinity purified.
Molecular Weight
Predicted band size: 57 kDa
Isotype
IgG
TARGET
UNIPROT #
PROTEIN NAME
Alkaline Phosphatase
SYNONYMS
Alkaline phosphatase antibody;Alkaline phosphatase placental antibody;Alkaline phosphatase placental type antibody;Alkaline phosphatase Regan isozyme antibody;ALP antibody;Alp1 antibody;ALPP antibody;FLJ61142 antibody;Germ-cell alkaline phosphatase antibody;nagao isozyme antibody;OTTHUMP00000164354 antibody;PALP antibody;Placental alkaline phosphatase 1 antibody;placental heat-stable alkaline phosphatase antibody;placental type antibody;PLAP antibody;PLAP-1 antibody;PLAP1 antibody;PPB1_HUMAN antibody
SEQUENCE SIMILARITIES
Belongs to the alkaline phosphatase family.
POST-TRANSLATIONAL MODIFICATION
N-glycosylated.
SUBCELLULAR LOCATION
Cell membrane, Mitochondrion membrane, Mitochondrion intermembrane space, Extracellular vesicle membrane.
FUNCTION
This gene encodes a member of the alkaline phosphatase family of proteins. There are at least four distinct but related alkaline phosphatases: intestinal, placental, placental-like, and liver/bone/kidney (tissue non-specific). The first three are located together on chromosome 2, while the tissue non-specific form is located on chromosome 1. The product of this gene is a membrane bound glycosylated enzyme that is not expressed in any particular tissue and is, therefore, referred to as the tissue-nonspecific form of the enzyme. Alternative splicing results in multiple transcript variants, at least one of which encodes a preproprotein that is proteolytically processed to generate the mature enzyme. This enzyme may play a role in bone mineralization. Mutations in this gene have been linked to hypophosphatasia, a disorder that is characterized by hypercalcemia and skeletal defects.
CITATIONS
-
Chunying Li,et al
ED-71 promotes osseointegration of titanium implants in a rat model of GIOP by alleviating the effects of dexamethasone on bone remodeling in a SIRT1-dependent manner
-
IHC
-
WB
-
Rat
-
Citation
-
-
Pei, T., Su, G., Yang, J., Gao, W., Yang, X., Zhang, Y., Ren, J., Shen, Y., & Liu, X.
Fluid Shear Stress Regulates Osteogenic Differentiation via AnnexinA6-Mediated Autophagy in MC3T3-E1 Cells
-
WB
-
Human
-
Citation
-
-
Intermittent parathyroid hormone promotes cementogenesis in a PKA- and ERK1/2-dependent manner
-
WB
-
Mouse
-
Citation
-
-
Mingli Xiang,et al
Polydopamine-functionalized nanohydroxyapatite coated exosomes with enhanced cytocompatibility and osteogenesis for bone regeneration
-
WB
-
Rat
-
Citation
-
-
Haoyan Wu,et al
A Multifunctional miRNA Delivery System Based on Tetrahedral Framework Nucleic Acids for Regulating Inflammatory Periodontal Ligament Stem Cells and Attenuating Periodontitis Bone Loss
-
WB
-
Rat
-
Citation
-
-
Hyperlipidemia impacts osteogenesis via lipophagy
-
WB
-
Mouse
-
Citation
-
-
Zhong, L., , Chen, J., , Ma, Z., , Feng, H., , Chen, S., , Cai, H., , Xue, Y., , Pei, X., , Wang, J., , & Wan, Q.,
3D printing of metal-organic framework incorporated porous scaffolds to promote osteogenic differentiation and bone regeneration. Nanoscale, 12(48), 24437–24449.
-
WB
-
Rabbit
-
Citation
-
-
Zhang, Z., Ji, C., Wang, Y. N., Liu, S., Wang, M., Xu, X., & Zhang, D.
Maresin1 Suppresses High-Glucose-Induced Ferroptosis in Osteoblasts via NRF2 Activation in Type 2 Diabetic Osteoporosis
-
WB
-
Rat
-
Citation
-
-
Xiao, X., Zou, S., & Chen, J.
Cyclic tensile force modifies calvarial osteoblast function via the interplay between ERK1/2 and STAT3
-
WB
-
Mouse
-
Citation
-
-
A grooved porous hydroxyapatite scaffold induces osteogenic differentiation via regulation of PKA activity by upregulating miR‐129‐5p expression
-
IF-cell
-
Mouse
-
Citation
-
-
Chen, S., Wu, Z., He, Y., Zhu, L., Wang, J., Lin, H., Xie, J., Zhou, C., & Zou, S.
Cyclic di-adenosine monophosphate regulates the osteogenic and adipogenic differentiation of hPDLSCs via MAPK and NF-κB signaling
-
WB
-
Human
-
Citation
-
-
Li Lan,et al
Mechanically induced M2 macrophages are involved in bone remodeling of the midpalatal suture during palatal expansion
-
IHC
-
Rat
-
Citation
-
-
Xiaoli Wang,et al
Matrix vesicles from osteoblasts promote atherosclerotic calcification
-
WB
-
Human
-
Citation
-
-
Yang Yi,et al
Osteoking prevents bone loss and enhances osteoblastic bone formation by modulating the AGEs/IGF‐1/β‐catenin/OPG pathway in type 2 diabetic db/db mice
-
WB
-
Mouse
-
Citation
-
-
Li, H., Li, Y., Zou, J., Yang, Y., Han, R., & Zhang, J.
Sinomenine Inhibits Orthodontic Tooth Movement and Root Resorption in Rats and Enhances Osteogenic Differentiation of PDLSCs
-
WB
-
Rat
-
Citation
-
-
Zhou, J., Li, L., Cui, D., Xie, X., Yang, W., & Yan, F.
Effects of gold nanoparticles combined with human β-defensin 3 on the alveolar bone loss of periodontitis in rat
-
IHC
-
Rat
-
Citation
-
-
Peipei Duan
The role of sphingosine-1-phosphate signaling pathway in cementocyte mechanotransduction. Biochemical and biophysical research communications, 523(3), 595–601.
-
WB
-
Mouse
-
Citation
-
-
CDC42‑mediated Wnt signaling facilitates odontogenic differentiation of DPCs during tooth root elongation
-
WB
-
Mouse
-
Rat
-
Citation
-
-
METTL5 regulates cranial suture fusion via Wnt signaling
-
WB
-
Mouse
-
Citation
-
-
Li, S., Liu, Y., Tian, T., Zhang, T., Lin, S., Zhou, M., Zhang, X., Lin, Y., & Cai, X.
Bioswitchable Delivery of microRNA by Framework Nucleic Acids: Application to Bone Regeneration
-
Mouse
-
Citation
-
-
Li, T., Wang, H., Liu, R., Wang, X., Huang, L., Wu, Z., Yin, X., Zou, S., & Duan, P.
The role of EphB4/ephrinB2 signaling in root repair after orthodontically-induced root resorption. American journal of orthodontics and dentofacial orthopedics : official publication of the American Association of Orthodontists, its constituent societies, and the American Board of Orthodontics, 159(3), e217–e232.
-
Rat
-
Citation
-
-
Periodontal Ligament Stem Cell-Derived Extracellular Vesicles Enhance Tension-Induced Osteogenesis
-
WB
-
Human
-
Mouse
-
Citation
-
-
Wei, X., Qi, B., Ma, R., Zhang, Y., Liu, N., Fang, S., Zhu, Y., Xie, Y., Dai, J., & Zhu, L.
Quantitative Proteomics Revealed the Pharmacodynamic Network of Bugu Shengsui Decoction Promoting Osteoblast Proliferation
-
WB
-
Mouse
-
Citation
-
-
Stiff and Tough Hydrogels Prepared Through Integration of Ionic Cross-linking and Enzymatic Mineralization
-
IF-cell
-
Rat
-
Citation
-
-
Ali, Q., Ma, S., Farooq, U., Niu, J., Li, F., Li, D., Wang, Z., Sun, H., Cui, Y., & Shi, Y.
Pasture intake protects against commercial diet-induced lipopolysaccharide production facilitated by gut microbiota through activating intestinal alkaline phosphatase enzyme in meat geese
-
WB
-
Human
-
Citation
-
-
Zheng, Z., He, Y., Long, L., Gan, S., Chen, S., Zhang, M., Xu, J., Fu, R., Liao, Y., Zhu, Z., Wang, H., & Chen, W.
Involvement of PI3K/Akt signaling pathway in promoting osteogenesis on titanium implant surfaces modified with novel non-thermal atmospheric plasma
-
WB
-
Mouse
-
Citation
-
-
Deng, L., Lai, S., Fan, L., Li, X., Huang, H., & Mu, Y.
miR-210-3p suppresses osteogenic differentiation of MC3T3-E1 by targeting brain derived neurotrophic factor (BDNF)
-
WB
-
Mouse
-
Citation
-
-
Parathyroid hormone increases alveolar bone homoeostasis during orthodontic tooth movement in rats with periodontitis via crosstalk between STAT3 and β-catenin
-
WB
-
IHC
-
Rat
-
Citation
-
-
Li Z, Zhang B, Shang J, et al
Diabetic and nondiabetic BMSC–derived exosomes affect bone regeneration via regulating miR-17-5p/SMAD7 axis
-
WB
-
Rat
-
Citation
-
-
Xinqi Huang;Zhihe Zhao
circAKT3 positively regulates osteogenic differentiation of human dental pulp stromal cells via miR-206/CX43 axis
-
WB
-
Human
-
Citation
-
-
Li, T., Yan, Z., He, S., Zhou, C., Wang, H., Yin, X., Zou, S., & Duan, P.
Intermittent parathyroid hormone improves orthodontic retention via insulin-like growth factor-1. Oral diseases, 27(2), 290–300.
-
Zhang Jiajia,et al
Multifunctional surface of the nano-morphic PEEK implant with enhanced angiogenic, osteogenic, and antibacterial properties
-
IF
-
Rat
-
Citation
-
-
Xu Chunmei,et al
LepR-expressing cells are a critical population in periodontal healing post periodontitis
-
WB
-
Mouse
-
Citation
-
-
Xiaxin Yang,et al
Mitochondria-related HSDL2 is a potential biomarker in temporal lobe epilepsy by modulating astrocytic lipid metabolism
-
IHC
-
Rat
-
Citation
-
-
Qin Danlei,et al
Mussel-inspired immunomodulatory and osteoinductive dual-functional hydroxyapatite nanoplatform for promoting bone regeneration
-
WB
-
Mouse
-
Citation
-
-
Yijing Han,et al
Low-intensity pulsed ultrasound regulates bone marrow mesenchymal stromal cells differentiation and inhibits bone loss by activating the IL-11-Wnt/β-catenin signaling pathway
-
WB
-
Mouse
-
Citation
-
-
Noncanonical Wnt5a Signaling Suppresses Hippo/TAZ-Mediated Osteogenesis Partly Through the Canonical Wnt Pathway in SCAPs
-
WB
-
Human
-
Citation
-
-
Yang J,et al
Microfluidic bone chip to study osteogenesis of porous substrate topographies in normal and osteoporotic microenvironments
-
IF
-
Mouse
-
Citation
-
-
Shu-Kun He,et al
The effects of heat and hydrogen peroxide treatment on the osteoinductivity of demineralized cortical bone: a potential method for preparing tendon/ligament repair scaffolds
-
WB
-
Bovine
-
Citation
-
-
Yu Jin,et al
A Rat Model for Microimplant-assisted Rapid Palatal Expansion
-
IHC
-
Rat
-
Citation
-
-
Lycium barbarum polysaccharide‐glycoprotein promotes osteogenesis in hPDLSCs via ERK activation
-
WB
-
Human
-
Citation
-
-
Jiang, Y., Guan, Y., Lan, Y., Chen, S., Li, T., Zou, S., Hu, Z., & Ye, Q.
Mechanosensitive Piezo1 in Periodontal Ligament Cells Promotes Alveolar Bone Remodeling During Orthodontic Tooth Movement
-
IHC
-
WB
-
Rat
-
Citation
-
-
Wang Maoshan,et al
ED-71 ameliorates bone regeneration in type 2 diabetes by reducing ferroptosis in osteoblasts via the HIF1α pathway
-
WB
-
Rat
-
Citation
-
-
Huang, L., Yin, X., Chen, J., Liu, R., Xiao, X., Hu, Z., He, Y., & Zou, S.
Lithium chloride promotes osteogenesis and suppresses apoptosis during orthodontic tooth movement in osteoporotic model via regulating autophagy. Bioactive materials, 6(10), 3074–3084.
-
WB
-
Mouse
-
Citation
-
-
Liu Jiani,et al
PGC-1α/LDHA signaling facilitates glycolysis initiation to regulate mechanically induced bone remodeling under inflammatory microenvironment
-
WB
-
IHC
-
Rat
-
Citation
-
-
Jia-ping Xu
Quantitative label-free proteomic analysis reveals difffferentially expressed proteins in the digestive juice of resistant versus susceptible silkworm strains and their predicted impacts on BmNPV infection
-
WB
-
Bombyx mori
-
Citation
-
-
Wu Bingfeng,et al
Ions incorporated titanium implant for staged regulation of antibacterial activity and immunoregulation-mediated osteogenesis
-
IF
-
Rat
-
Citation
-