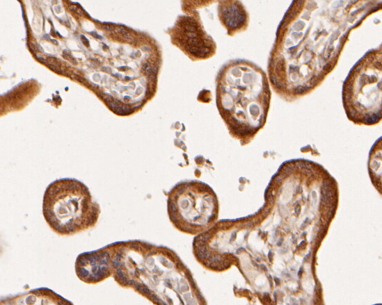
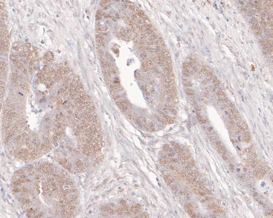
ADK Rabbit Polyclonal Antibody (HA500050)
Catalog# HA500050
Rabbit Polyclonal to ADK
Tested for
-
WB
-
IHC-P
Reacts with
-
Human
-
Mouse
-
Rat