Cleaved Caspase-3 Recombinant Rabbit Monoclonal Antibody [SR01-02] (ET1602-47)
Catalog# ET1602-47
Rabbit Monoclonal to Active Caspase-3
-
WB
-
IF-Cell
-
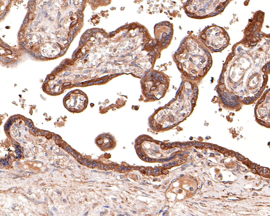
IHC-P
-
Human
-
Pig
Western blot analysis of Cleaved Caspase-3 on different lysates with Rabbit anti-Cleaved Caspase-3 antibody (ET1602-47) at 1/1,000 dilution.
Lane 1: Jurkat cell lysate (20 µg/Lane)
Lane 2: Jurkat treated with 25μM Etoposide for 5 hours cell lysate (20 µg/Lane)
Lane 3: Jurkat treated with 25μM Etoposide for 16 hours cell lysate (20 µg/Lane)
Predicted band size: 17 kDa
Observed band size: 17 kDa
Exposure time: 3 minutes; ECL: K1802;
4-20% SDS-PAGE gel.
Proteins were transferred to a PVDF membrane and blocked with 5% NFDM/TBST for 1 hour at room temperature. The primary antibody (ET1602-47) at 1/1,000 dilution was used in 5% NFDM/TBST at 4℃ overnight. Goat Anti-Rabbit IgG - HRP Secondary Antibody (HA1001) at 1/50,000 dilution was used for 1 hour at room temperature.
Safety datasheet
Select your chosen country/region
- MSDS_HUABIO.pdf
- MSDS_HUABIO.pdf
- MSDS_ET1602-47_Europe.pdf
- No MSDS Found
COA DOWNLOAD
- No COA Found
Specifications
Product Type
Recombinant Rabbit monoclonal primary
Product Name
Cleaved Caspase-3 Recombinant Rabbit Monoclonal Antibody [SR01-02] (ET1602-47)
Immunogen
Synthetic peptide within human caspase-3 aa 28-67 / 277.
Host
Rabbit
Positive Control
Camptothecin (2 μM) treated Jurkat cell lysate, Hela, PC-3M, human colon carcinoma tissue, human placenta tissue.
Conjugation
Unconjugated
Clonality
Monoclonal
Clone Number
SR01-02
RRID
APPLICATION DILUTION
-
WB
-
1:1,000-1:2,000
-
IF-Cell
-
1:50-1:200
-
IHC-P
-
1:50-1:200
PROPERTIES
Form
Liquid
Storage Condition
Shipped at 4℃. Store at +4℃ short term (1-2 weeks). It is recommended to aliquot into single-use upon delivery. Store at -20℃ long term.
Storage Buffer
1*TBS (pH7.4), 0.05% BSA, 40% Glycerol. Preservative: 0.05% Sodium Azide.
Concentration
1ug/ul
Purification
Protein A affinity purified.
Molecular Weight
Predicted band size: 17 kDa
Isotype
IgG
TARGET
UNIPROT #
PROTEIN NAME
Active Caspase-3
SYNONYMS
Caspase3;A830040C14Rik antibody;Apopain antibody;CASP 3 antibody;CASP-3 antibody;CASP3 antibody;CASP3_HUMAN antibody;Casp3a antibody;Caspase 3 antibody;Caspase 3, apoptosis-related cysteine peptidase antibody;Caspase 3, apoptosis-related cysteine protease antibody;Caspase 3, apoptosis-related cysteine protease a antibody;Caspase-3 subunit p12 antibody;Caspase3 antibody;CC3 antibody;CPP 32 antibody;CPP-32 antibody;CPP32 antibody;CPP32B antibody;Cysteine protease CPP32 antibody;EC 3.4.22.56 antibody;ICE3 antibody;LICE antibody;mldy antibody;OTTHUMP00000165052 antibody;OTTHUMP00000165053 antibody;OTTHUMP00000165054 antibody;PARP cleavage protease antibody;Procaspase3 antibody;Protein Yama antibody;SCA 1 antibody;SCA-1 antibody;SCA1 antibody;SREBP cleavage activity 1 antibody;Yama antibody;Yama protein antibody
SEQUENCE SIMILARITIES
Belongs to the peptidase C14A family.
TISSUE SPECIFICITY
Highly expressed in lung, spleen, heart, liver and kidney. Moderate levels in brain and skeletal muscle, and low in testis. Also found in many cell lines, highest expression in cells of the immune system.
POST-TRANSLATIONAL MODIFICATION
Cleavage by granzyme B, caspase-6, caspase-8 and caspase-10 generates the two active subunits. Additional processing of the propeptides is likely due to the autocatalytic activity of the activated protease. Active heterodimers between the small subunit of caspase-7 protease and the large subunit of caspase-3 also occur and vice versa.; S-nitrosylated on its catalytic site cysteine in unstimulated human cell lines and denitrosylated upon activation of the Fas apoptotic pathway, associated with an increase in intracellular caspase activity. Fas therefore activates caspase-3 not only by inducing the cleavage of the caspase zymogen to its active subunits, but also by stimulating the denitrosylation of its active site thiol.
SUBCELLULAR LOCATION
Cytoplasm
FUNCTION
Caspase-3 is a caspase protein that interacts with caspase-8 and caspase-9. It is encoded by the CASP3 gene. CASP3 orthologs have been identified in numerous mammals for which complete genome data are available. Unique orthologs are also present in birds, lizards, lissamphibians, and teleosts. Caspase-3 shares many of the typical characteristics common to all currently-known caspases. For example, its active site contains a cysteine residue (Cys-163) and histidine residue (His-121) that stabilize the peptide bond cleavage of a protein sequence to the carboxy-terminal side of an aspartic acid when it is part of a particular 4-amino acid sequence. This specificity allows caspases to be incredibly selective, with a 20,000-fold preference for aspartic acid over glutamic acid. A key feature of caspases in the cell is that they are present as zymogens, termed procaspases, which are inactive until a biochemical change causes their activation. Each procaspase has an N-terminal large subunit of about 20 kDa followed by a smaller subunit of about 10 kDa, called p20 and p10, respectively.
CITATIONS
-
Cul4 E3 ubiquitin ligase regulates ovarian cancer drug resistance by targeting the antiapoptotic protein BIRC3
-
WB
-
Human
-
Citation
-
-
Hu, Yeting;Qian, Yucheng;Wei, Jingsun;Jin, Tian;Kong, Xiangxing;Cao, Hongfeng;Ding, Kefeng
The Disulfiram/Copper Complex Induces Autophagic Cell Death in Colorectal Cancer by Targeting ULK1
-
WB
-
IHC
-
IF
-
Human
-
Citation
-
-
Alleviation of doxorubicin-induced cardiomyocyte death through miR-147-y-mediated mitophagy
-
Pig
-
Citation
-
-
Inhibition of STX17–SNAP29–VAMP8 complex formation by costunolide sensitizes ovarian cancer cells to cisplatin via the AMPK/mTOR signaling pathway
-
WB
-
Human
-
Citation
-
-
Xia, Z., Li, M., Hu, M., Lin, Y., Atteh, L. L., Fu, W., Gao, L., Bai, M., Huang, C., Yue, P., Liu, Y., & Meng, W.
Phosphoproteomics reveals that cinobufotalin promotes intrahepatic cholangiocarcinoma cell apoptosis by activating the ATM/CHK2/p53 signaling pathway
-
WB
-
Human
-
Citation
-
-
Li Xinlei,et al
Chidamide triggers pyroptosis in T-cell lymphoblastic lymphoma/leukemia via the FOXO1/GSDME axis
-
IHC
-
Human
-
Citation
-
-
Fan Chengcheng,et al
Natural Product-Inspired Discovery of Naphthoquinone-Furo-Piperidine Derivatives as Novel STAT3 Inhibitors for the Treatment of Triple-Negative Breast Cancer
-
WB
-
Human
-
Citation
-
-
Hu, J., Cao, J., Jin, R., Zhang, B., Topatana, W., Juengpanich, S., Li, S., Chen, T., Lu, Z., Cai, X., & Chen, M.
Inhibition of AMPK/PFKFB3 mediated glycolysis synergizes with penfluridol to suppress gallbladder cancer growth
-
WB
-
Human
-
Citation
-
-
Ziwei Liang
SAE1 promotes human glioma progression through activating AKT SUMOylation-mediated signaling pathways.
-
WB
-
glioma cells
-
Citation
-
-
Leptin Gene Protects Against Cold Stress in Antarctic Toothfish
-
WB
-
Citation
-
-
Dr Xia Liu,Professor Jianchao Wang
Silencing RRM2 inhibits multiple myeloma by targeting the Wnt/β-catenin signaling pathway
-
WB
-
multiple myeloma cell
-
Citation
-
-
Jujuboside B Inhibits the Proliferation of Breast Cancer Cell Lines by Inducing Apoptosis and Autophagy
-
WB
-
Human
-
Citation
-
-
Guo Q, Yu Y, Tang W, Zhou S, Lv X
Matrine exerts an anti‐tumor effect via regulating HN1 in triple breast cancer both in vitro and in vivo
-
WB
-
Mouse
-
Citation
-
-
Liu, X., Cui, S., Dan, C., Li, W., Xie, H., Li, C., & Shi, L.
Phellinus baumii Polyphenol: A Potential Therapeutic Candidate against Lung Cancer Cells
-
WB
-
Human
-
Citation
-
-
Wu Yan,et al
Identification of activating transcription factor 6 (ATF6) as a novel prognostic biomarker and potential target in oral squamous cell carcinoma
-
WB
-
Human
-
Citation
-
-
Autonomous metal-organic framework nanorobots for active mitochondria-targeted cancer therapy
-
Zhang, G., Dai, S., Chen, Y., Wang, H., Chen, T., Shu, Q., Chen, S., Shou, L., & Cai, X.
Aqueous extract of Taxus chinensis var. mairei regulates the Hippo-YAP pathway and promotes apoptosis of non-small cell lung cancer via ATF3 in vivo and in vitro. Biomedicine & pharmacotherapy = Biomedecine & pharmacotherapie, 138, 111506.
-
WB
-
Mouse
-
Human
-
Citation
-
-
Lingling Ding,et al
Development and Verification of Diagnosis Model for Papillary Thyroid Cancer Based on Pyroptosis-Related Genes: A Bioinformatic and in vitro Investigation
-
WB
-
Human
-
Citation
-
-
Chen, Y., Lu, Z., Qi, C., Yu, C., Li, Y., Huan, W., Wang, R., Luo, W., Shen, D., Ding, L., Ren, L., Xie, H., Xue, D., Wang, M., Ni, K., Xia, L., Qian, J., & Li, G.
N6-methyladenosine-modified TRAF1 promotes sunitinib resistance by regulating apoptosis and angiogenesis in a METTL14-dependent manner in renal cell carcinoma
-
WB
-
Human
-
Citation
-
-
A New Fusion Peptide Targeting Pancreatic Cancer and Inhibiting Tumor Growth
-
WB
-
Human
-
Citation
-
-
Lu Yang,et al
Discovery of Orally Bioavailable Phenyltetrazolium Derivatives for the Acute Treatment and the Secondary Prevention of Ischemic Stroke
-
WB
-
Mouse
-
Citation
-
-
Yuanwen Peng,et al
GALNT9 enrichment attenuates MPP+-induced cytotoxicity by ameliorating protein aggregations containing α-synuclein and mitochondrial dysfunction
-
WB
-
Rat
-
Citation
-
-
Discovery of N-((3S,4S)-4-(3,4-Difluorophenyl)piperidin-3-yl)-2-fluoro-4-(1-methyl-1H-pyrazol-5-yl)benzamide (Hu7691), a Potent and Selective Akt Inhibitor That Enables Decrease of Cutaneous Toxicity
-
WB
-
Mouse
-
Human
-
Citation
-
-
OTUD1 chemosensitizes triple-negative breast cancer to doxorubicin by modulating P16 expression
-
WB
-
Human
-
Citation
-
-
Jun Wang , Wenjia Liang , Xiangwen Wang , Zhao Chen , Lei Jiang
LTBP2 regulates cisplatin resistance in GC cells via activation of the NF-κB2/BCL3 pathway
-
WB
-
Human
-
Citation
-
-
Chen, X. B., Zhu, H. Y., Bao, K., Jiang, L., Zhu, H., Ying, M. D., He, Q. J., Yang, B., Sheng, R., & Cao, J.
Bis-isatin derivatives: design, synthesis, and biological activity evaluation as potent dimeric DJ-1 inhibitors. Acta pharmacologica Sinica, 10.1038/s41401-020-00600-5. Advance online publication.
-
Qing-yong Hu,et al
A structure-based virtual screening identifies a novel MDM2 antagonist in the activation of the p53 signaling and inhibition of tumor growth
-
WB
-
Human
-
Citation
-
-
Integrated Analysis of mRNA-seq and miRNA-seq to Identify c-MYC, YAP1 and miR-3960 as Major Players in the Anticancer Effects of Caffeic Acid Phenethyl Ester in Human Small Cell Lung Cancer Cell Line
-
WB
-
Human
-
Citation
-
-
Zhao Lili,et al
hnRNPH1 maintains mitochondrial homeostasis by establishing NRF1/DRP1 retrograde signaling under mitochondrial stress
-
WB
-
Human
-
Citation
-
-
Dasatinib causes keratinocyte apoptosis via inhibiting high mobility group Box 1-mediated mitophagy
-
WB
-
Human
-
Citation
-
-
Li, H., Song, D., Liu, Q., Li, L., Sun, X., Guo, J., Li, D., & Li, P.
miR-351 promotes atherosclerosis in diabetes by inhibiting the ITGB3/PIK3R1/Akt pathway and induces endothelial cell injury and lipid accumulation
-
WB
-
Mouse
-
Citation
-
-
Hu Yinqun,et al
Alantolactone induces concurrent apoptosis and GSDME-dependent pyroptosis of anaplastic thyroid cancer through ROS mitochondria-dependent caspase pathway
-
WB
-
Human
-
Citation
-
-
Evodiamine inhibits ESCC by inducing M-phase cell-cycle arrest via CUL4A/p53/p21 axis and activating noxa-dependent intrinsic and DR4-dependent extrinsic apoptosis
-
WB
-
Human
-
Citation
-
-
Wang, C., Wei, S., Liu, B., Wang, F., Lu, Z., Jin, M., & Wang, Y.
Maternal consumption of a fermented diet protects offspring against intestinal inflammation by regulating the gut microbiota
-
WB
-
Pig
-
Citation
-
-
Discovery of Novel 1,2,3,4-Tetrahydrobenzofuro[2,3-c]pyridine Histone Deacetylase Inhibitors for Efficient Treatment of Hepatocellular Carcinoma
-
WB
-
Human
-
Citation
-
-
Zhao, X. Q., Wan, H. Y., He, S. Y., Qin, H. J., Yu, B., & Jiang, N.
Vitamin D Receptor Genetic Polymorphisms Associate With a Decreased Susceptibility to Extremity Osteomyelitis Partly by Inhibiting Macrophage Apoptosis Through Inhibition of Excessive ROS Production via VDR-Bmi1 Signaling
-
WB
-
S.aureus
-
Human
-
Citation
-