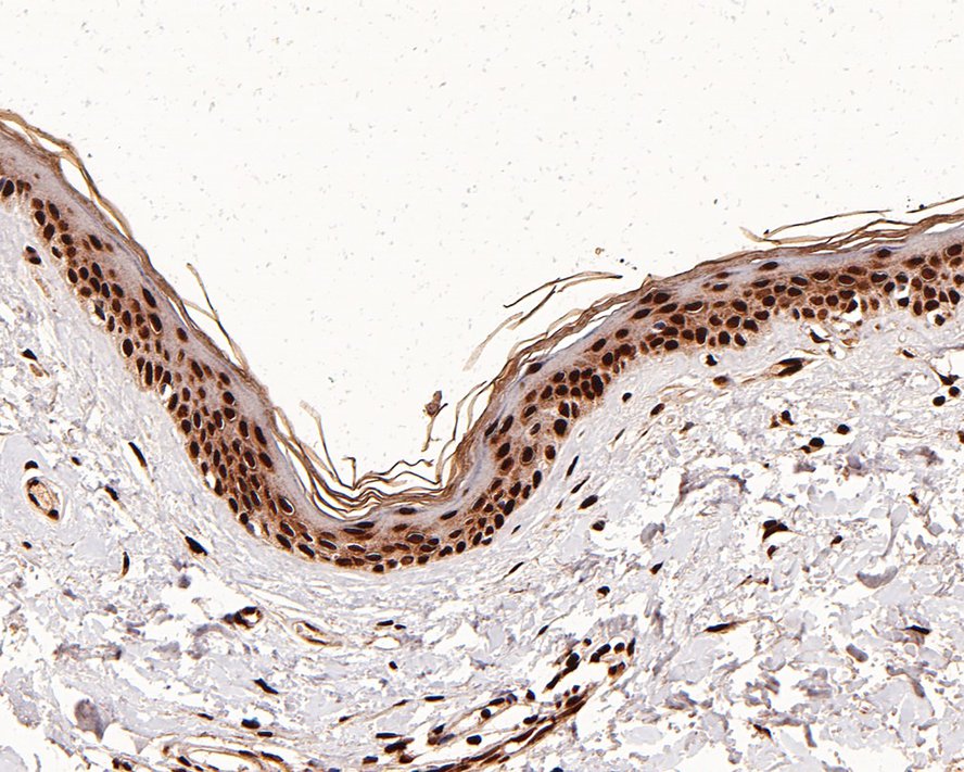
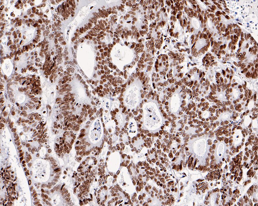
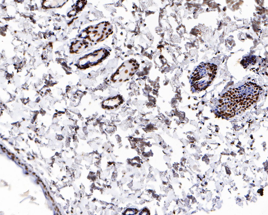
Histone H4 (acetyl K8) Recombinant Rabbit Monoclonal Antibody [PS01-25] (HA721249)
Catalog# HA721249
Rabbit Monoclonal to acetyl-Histone H4 (K8)
Tested for
-
WB
-
IF-Cell
-
IHC-P
-
ChIP
Reacts with
-
Human
-
Mouse
-
Rat
Recombinant production enables lot-to-lot consistency and is animal-cruelty-free