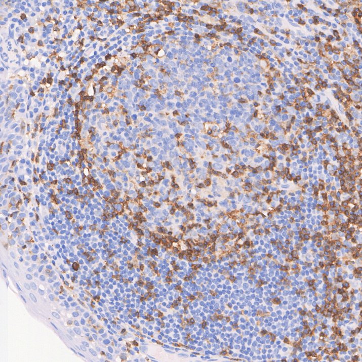
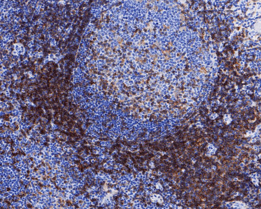
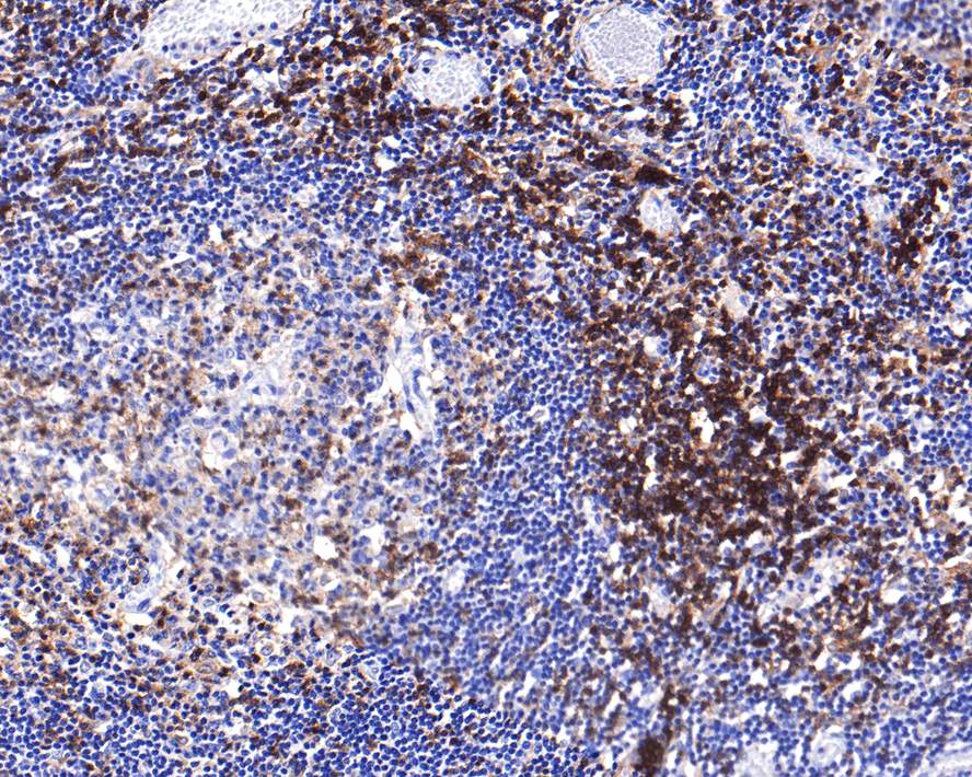
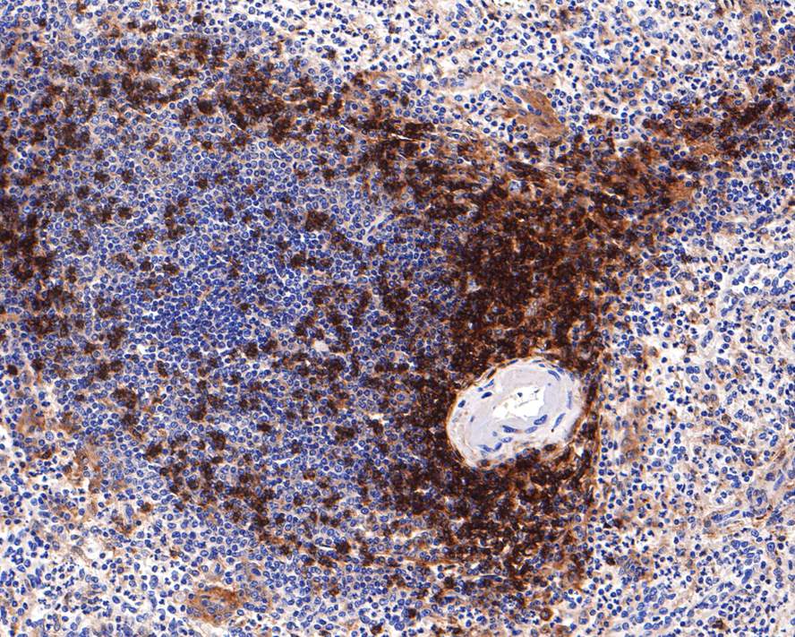
CD4 Recombinant Rabbit Monoclonal Antibody [ST0488] (ET1609-52)
Catalog# ET1609-52
Rabbit Monoclonal to CD4
Tested for
-
WB
-
IF-Cell
-
IF-Tissue
-
IHC-P
-
FC
-
mIHC
Reacts with
-
Human
Recombinant production enables lot-to-lot consistency and is animal-cruelty-free
Knock-Out or Knock-Down validated
This product has been cited in peer reviewed publications, see list HERE