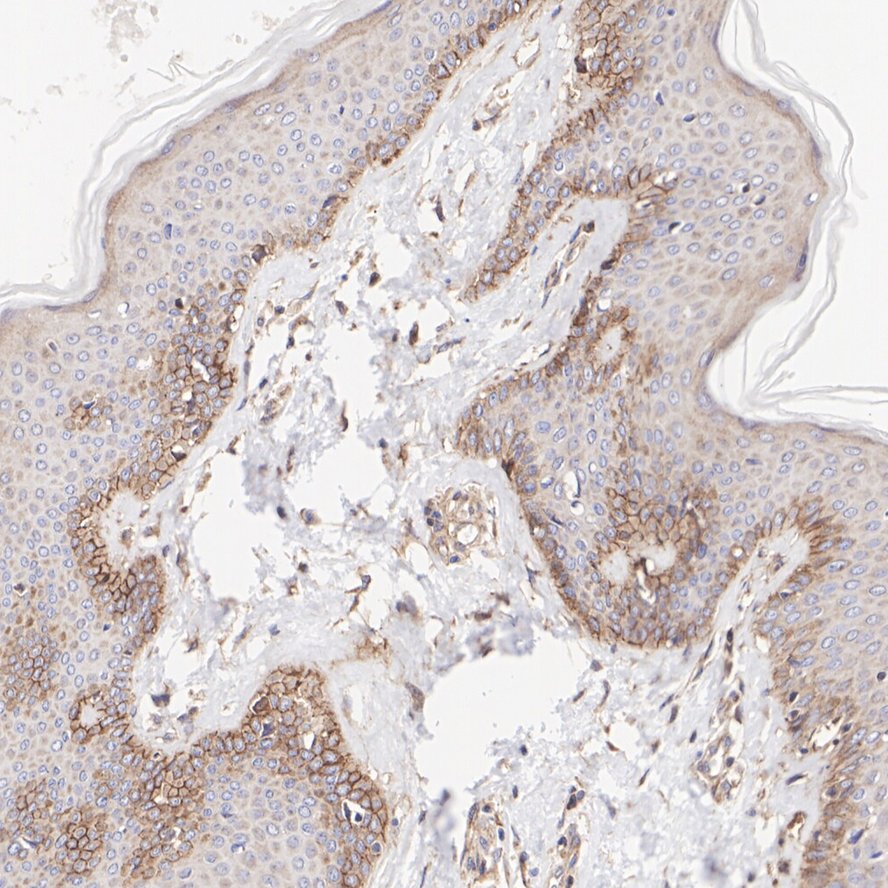
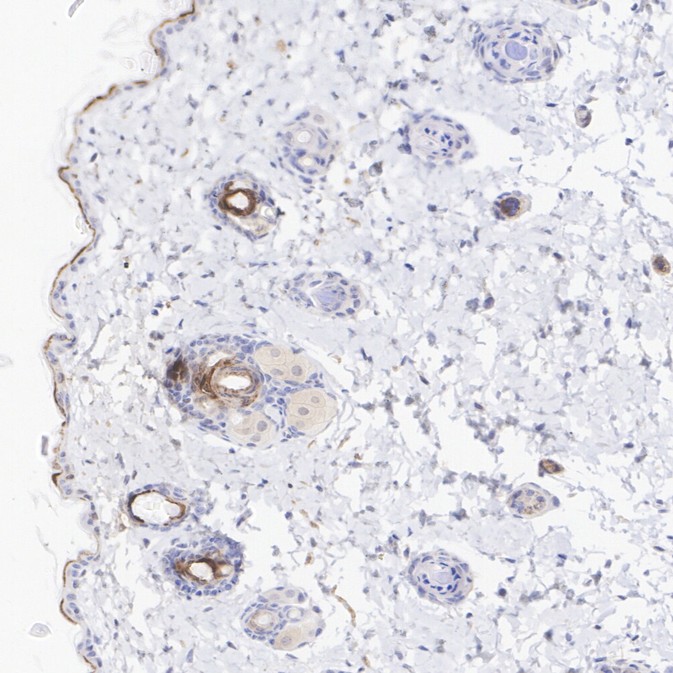
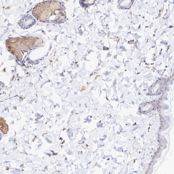
Integrin beta 1 Recombinant Rabbit Monoclonal Antibody [SR30-03] (ET1602-10)
Catalog# ET1602-10
Rabbit Monoclonal to Integrin beta 1
Tested for
-
WB
-
IHC-P
-
IF-Tissue
Reacts with
-
Human
-
Mouse
-
Rat
Recombinant production enables lot-to-lot consistency and is animal-cruelty-free