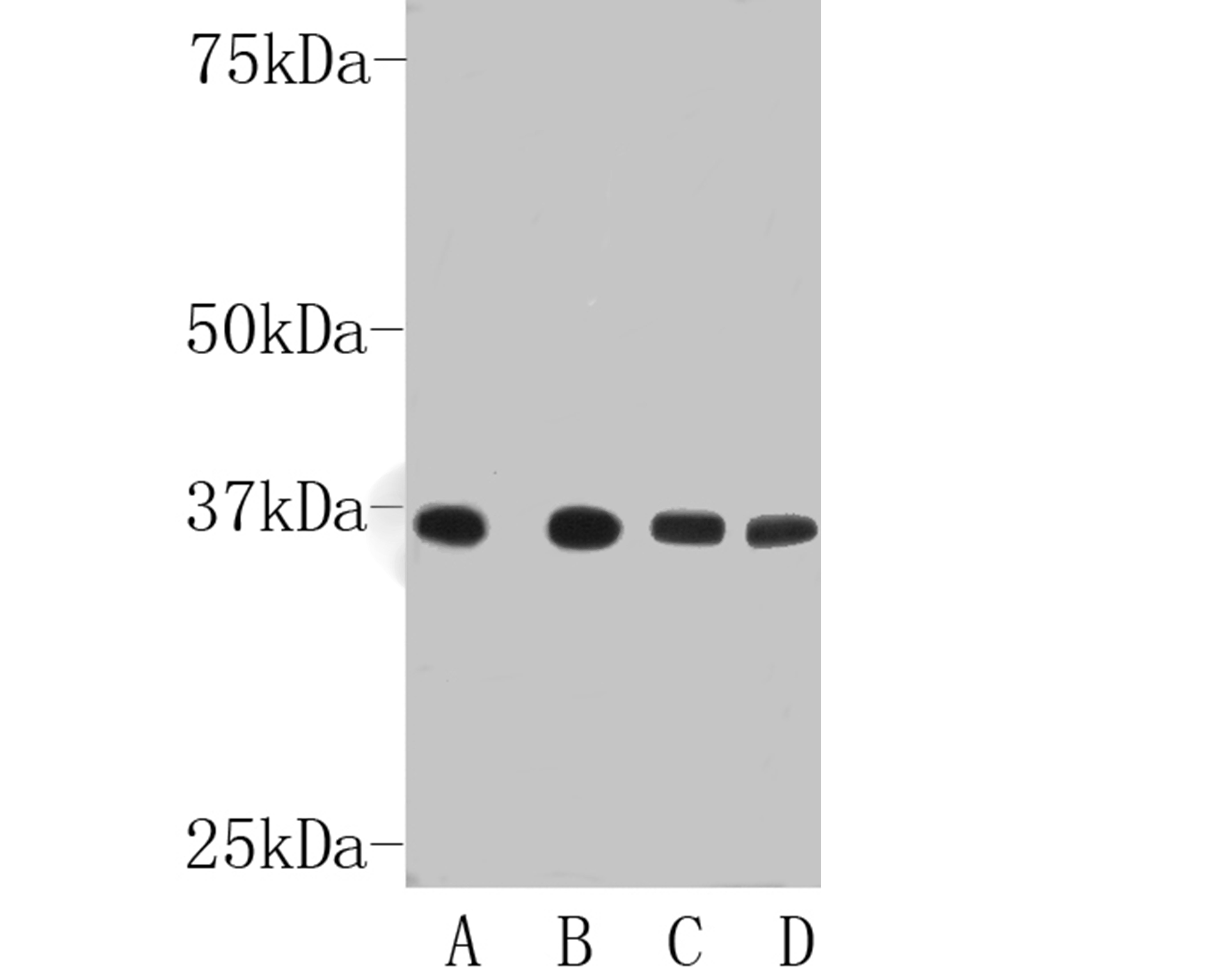
GAPDH Rabbit Polyclonal Antibody (R1108-1)
Catalog# R1108-1
Rabbit Polyclonal to GAPDH
Tested for
-
WB
Reacts with
-
Human
-
Mouse
-
Rat
This product has been cited in peer reviewed publications, see list HERE