VEGF Recombinant Rabbit Monoclonal Antibody [SP07-01] (ET1604-28)
Catalog# ET1604-28
Rabbit Monoclonal to VEGF
-
WB
-
IF-Cell
-
IF-Tissue
-
IHC-P
-
IP
-
FC
-
Human
-
Mouse
-
Rat
Cells were fixed in 4% paraformaldehyde for 15 minutes at room temperature, permeabilized with 0.1% Triton X-100 in PBS for 15 minutes at room temperature, then blocked with 1% BSA in 10% negative goat serum for 1 hour at room temperature. Cells were then incubated with Rabbit anti-VEGF antibody (ET1604-28) at 1/100 dilution in 1% BSA in PBST overnight at 4 ℃. Goat Anti-Rabbit IgG H&L (iFluor™ 488, HA1121) was used as the secondary antibody at 1/1,000 dilution. PBS instead of the primary antibody was used as the secondary antibody only control. Nuclear DNA was labelled in blue with DAPI.
Beta tubulin (HA601187, red) was stained at 1/100 dilution overnight at +4℃. Goat Anti-Mouse IgG H&L (iFluor™ 594, HA1126) was used as the secondary antibody at 1/1,000 dilution.
Safety datasheet
Select your chosen country/region
- MSDS_HUABIO.pdf
- MSDS_HUABIO.pdf
- MSDS_ET1604-28_Europe.pdf
- No MSDS Found
COA DOWNLOAD
Specifications
Product Type
Recombinant Rabbit monoclonal primary
Product Name
VEGF Recombinant Rabbit Monoclonal Antibody [SP07-01] (ET1604-28)
Immunogen
Synthetic peptide within human vegf aa 183-232 / 232.
Host
Rabbit
Positive Control
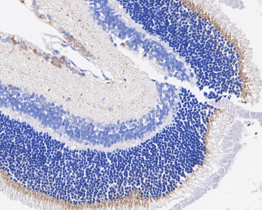
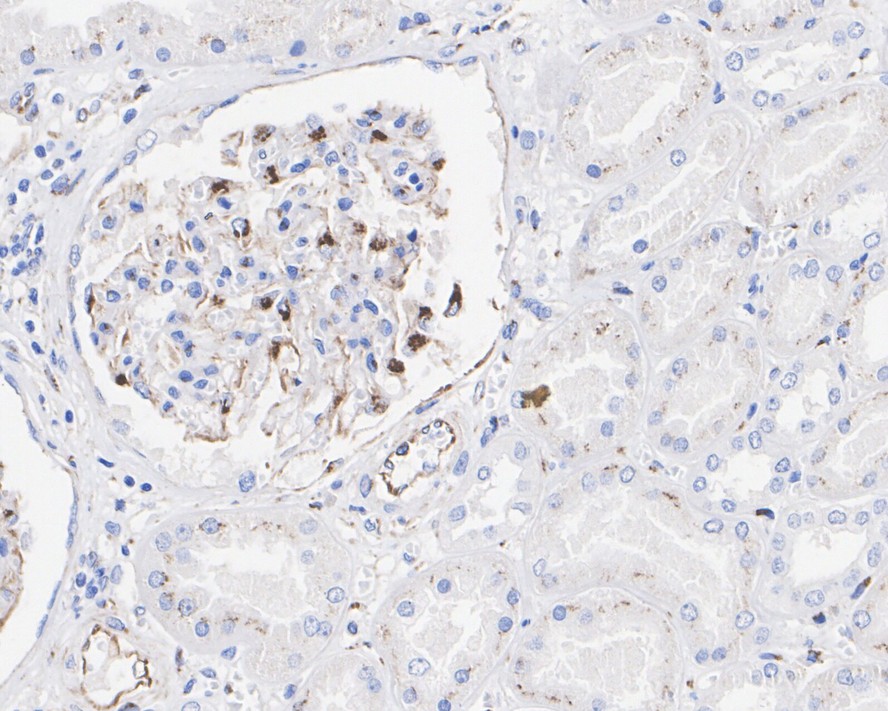
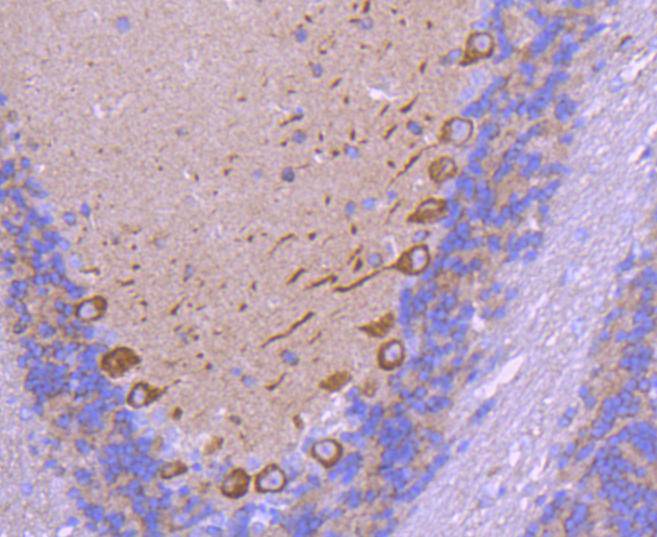
HUVEC, NIH/3T3, human kidney tissue, rat eyeball tissue, mouse cerebellum tissue, mouse hippocampus tissue, mouse brain tissue, mouse adipose tissue.
Conjugation
Unconjugated
Clonality
Monoclonal
Clone Number
SP07-01
RRID
APPLICATION DILUTION
-
WB
-
1:500-1:2,000
-
IF-Cell
-
1:100
-
IF-Tissue
-
1:50-1:200
-
IHC-P
-
1:200-1:1,000
-
FC
-
1:1,000
-
IP
-
Use at an assay dependent concentration.
PROPERTIES
Form
Liquid
Storage Condition
Shipped at 4℃. Store at +4℃ short term (1-2 weeks). It is recommended to aliquot into single-use upon delivery. Store at -20℃ long term.
Storage Buffer
1*TBS (pH7.4), 0.05% BSA, 40% Glycerol. Preservative: 0.05% Sodium Azide.
Concentration
1ug/ul
Purification
Protein A affinity purified.
Molecular Weight
Predicted band size: 27 kDa
Isotype
IgG
TARGET
UNIPROT #
PROTEIN NAME
VEGF
SYNONYMS
Folliculostellate cell-derived growth factor antibody;Glioma-derived endothelial cell mitogen antibody;MGC70609 antibody;MVCD1 antibody;Vascular endothelial growth factor A antibody;vascular endothelial growth factor A121 antibody;vascular endothelial growth factor A165 antibody;vascular endothelial growth factor antibody;Vascular permeability factor antibody;VEGF A antibody;Vegf antibody;VEGF-A antibody;VEGF120 antibody;Vegfa antibody;VEGFA_HUMAN antibody;VPF antibody
SEQUENCE SIMILARITIES
Belongs to the PDGF/VEGF growth factor family.
TISSUE SPECIFICITY
Isoform VEGF189, isoform VEGF165 and isoform VEGF121 are widely expressed. Isoform VEGF206 and isoform VEGF145 are not widely expressed. A higher level expression seen in pituitary tumors as compared to the pituitary gland.
SUBCELLULAR LOCATION
Secreted.
FUNCTION
The onset of angiogenesis is believed to be an early event in tumorigenesis and may facilitate tumor progression and metastasis. Several growth factors with angiogenic activity have been described. These include fibroblast growth factors (FGFs), platelet derived growth factor (PDGF) and vascular endothelial growth factor (VEGF). VEGF is a dimeric glycoprotein with structural homology to PDGF. Several variants of VEGF have been described that arise by alternative mRNA splicing. It has been speculated that VEGF may function as a tumor angiogenesis factor in vivo because the expression pattern of VEGF is consistent with a role in embryonic angiogenesis. VEGF mRNA is formed in some primary tumors, VEGF is produced by tumor cell lines in vitro and VEGF mitogenic activity appears to be restricted to endothelial cells. A member of the PDGF receptor family, Flt, has been identified as a high-affinity receptor for VEGF.
CITATIONS
-
Tao Jing,et al
A nano-platform combats the "attack" and "defense" of cytoskeleton to block cascading tumor metastasis
-
WB
-
Mouse
-
Citation
-
-
Tetrahedral Framework Nucleic Acids Promote Senile Osteoporotic Fracture Repair by Enhancing Osteogenesis and Angiogenesis of Callus
-
WB
-
Mouse
-
Citation
-
-
Xu, F., Zhang, J., Ji, L., Cui, W., Cui, J., Tang, Z., Sun, N., Zhang, G., Guo, M., Liu, B., & Dong, J.
Inhibition of Non-small Cell Lung Cancer by Ferroptosis and Apoptosis Induction through P53 and GSK-3β/Nrf2 Signal Pathways using Qingrehuoxue Formula
-
WB
-
Mouse
-
Citation
-
-
Zhang, C., Xie, Y., Lai, R., Wu, J., & Guo, Z.
Nonsynonymous C1653T Mutation of Hepatitis B Virus X Gene Enhances Malignancy of Hepatocellular Carcinoma Cells
-
WB
-
Human
-
Citation
-
-
Ma Shilong,et al
Gelatin‑sodium alginate composite hydrogel doped with black phosphorus@ZnO heterojunction for cutaneous wound healing with antibacterial, immunomodulatory, and angiogenic properties
-
WB
-
Human
-
Citation
-
-
Li Danyang,et al
Single-cell sequencing reveals glial cell involvement in development of neuropathic pain via myelin sheath lesion formation in the spinal cord
-
IF
-
Mouse
-
Citation
-
-
Xiaoying Zhao ,et al
High-throughput screening-based design of multifunctional natural polyphenol nano-vesicles to accelerate diabetic wound healing
-
WB
-
IHC
-
Rat
-
Citation
-
-
Cheng Lin,et al
Hemodynamic force dictates endothelial angiogenesis through MIEN1-ERK/MAPK-signaling axis
-
WB
-
Human
-
Citation
-
-
Liu Jiajun,et al
Therapeutic potential of gelatine methacrylate hydrogels loaded with macrophage-derived exosomes for accelerating angiogenesis and cutaneous wound healing
-
IF
-
Human
-
Citation
-
-
Wang Meng,et al
Shen-Shuai-II-Recipe inhibits tubular inflammation by PPARα-mediated fatty acid oxidation to attenuate fibroblast activation in fibrotic kidneys
-
WB
-
Rat
-
Citation
-
-
Yu Jinjin,et al
(−)-Epicatechin gallate prevented atherosclerosis by reducing abnormal proliferation of VSMCs and oxidative stress of AML 12 cells
-
WB
-
Mouse
-
Citation
-
-
Li, Y., Cai, W., Jin, F., Wang, X., Liu, W., Li, T., Yang, X., Liu, H., Xu, H., & Yang, F.
Thalidomide Alleviates Pulmonary Fibrosis Induced by Silica in Mice by Inhibiting ER Stress and the TLR4-NF-κB Pathway
-
WB
-
Mouse
-
Citation
-
-
Wanshun Wang,et al
Microenvironment-responsive injectable hydrogel for neuro-vascularized bone regeneration
-
IF
-
rat
-
Citation
-
-
Chen Fuying,et al
Osteo-immunomodulatory effects of macrophage-derived extracellular vesicles treated with biphasic calcium phosphate ceramics on bone regeneration
-
IF
-
Human
-
Citation
-
-
Ye, S., Cao, Q., Ni, P., Xiong, S., Zhong, M., Yuan, T., Shan, J., Liang, J., Fan, Y., & Zhang, X.
Construction of Microfluidic Chip Structure for Cell Migration Studies in Bioactive Ceramics
-
IF
-
Mouse
-
Citation
-
-
Jiapeng Huang,et al
Dual-tDCS Ameliorates Cerebral Injury and Promotes Motor Function Recovery via cGAS-STING Signaling Pathway in a Rat Model of Ischemic Stroke
-
WB
-
rat
-
Citation
-
-
Huang Xiaona,et al
MUC16 can Predict the Pregnancy Outcomes in Human and Intraperitoneal Administration of MUC16 can Rescue Pregnancy Losses in Mouse Models
-
FC
-
Human
-
Citation
-
-
Huang Xiuhong,et al
Polyphenol-Based Photothermal Nanoparticles with Sprayable Capability for Self-regulation of Microenvironment to Accelerate Diabetic Wound Healing
-
IF
-
Human
-
Citation
-
-
Liang Jinghao,et al
Astaxanthin promotes nerve repair by regulating the M1/M2 ratio of microglia and promoting angiogenesis
-
IHC
-
Rat
-
Citation
-
-
Heng Chen,et al
Taurine ameliorates radiation-induced oxidative stress in bone marrow mesenchymal stromal cells and promotes osteogenesis
-
WB
-
Mouse
-
Citation
-
-
Xia, L., Liu, X., Mao, W., Guo, Y., Huang, J., Hu, Y., Jin, L., Liu, X., Fu, H., Du, Y., & Shou, Q.
Panax notoginseng saponins normalises tumour blood vessels by inhibiting EphA2 gene expression to modulate the tumour microenvironment of breast cancer
-
WB
-
Mouse
-
Citation
-
-
Hyaluronan-based hydrogel integrating exosomes for traumatic brain injury repair by promoting angiogenesis and neurogenesis
-
IF-Tissue
-
Rat
-
Citation
-
-
Chen, Y., Lu, Z., Qi, C., Yu, C., Li, Y., Huan, W., Wang, R., Luo, W., Shen, D., Ding, L., Ren, L., Xie, H., Xue, D., Wang, M., Ni, K., Xia, L., Qian, J., & Li, G.
N6-methyladenosine-modified TRAF1 promotes sunitinib resistance by regulating apoptosis and angiogenesis in a METTL14-dependent manner in renal cell carcinoma
-
WB
-
Human
-
Citation
-
-
Li, S., Li, L., Lin, X., Chen, C., Luo, C., & Huang, Y.
Targeted Inhibition of Tumor Inflammation and Tumor-Platelet Crosstalk by Nanoparticle-Mediated Drug Delivery Mitigates Cancer Metastasis
-
WB
-
Mouse
-
Citation
-
-
Marine Bromophenol Bis(2,3,6-Tribromo-4,5-Dihydroxybenzyl)ether Inhibits Angiogenesis in Human Umbilical Vein Endothelial Cells and Reduces Vasculogenic Mimicry in Human Lung Cancer A549 Cells
-
WB
-
Human
-
Citation
-
-
Fu Huijiao,et al
COX-2 blocking therapy in cisplatin chemosensitization of ovarian cancer: an Allicin-based nanomedicine approach
-
WB
-
IF
-
Human
-
Citation
-
-
Yufei Fu
SOX5 induces lung adenocarcinoma angiogenesis by inducing the expression of VEGF through STAT3 signaling
-
WB
-
Human
-
Citation
-
-
Huang Xiuhong,Fu Meimei,Lu Min,et al
Polyphenol-Based Photothermal Nanoparticles with Sprayable Capability for Self-regulation of Microenvironment to Accelerate Diabetic Wound Healing
-
IF
-
Human
-
Citation
-
-
Delin Ma,et al
Multi-omics-driven discovery of invasive patterns and treatment strategies in CA19-9 positive intrahepatic cholangiocarcinoma
-
IHC
-
Human
-
Citation
-
-
Liu, Y., Chen, Y., Wang, Y., Jiang, S., Lin, W., Wu, Y., Li, Q., Guo, Y., Liu, W., & Yuan, Q.
DNA demethylase ALKBH1 promotes adipogenic differentiation via regulation of HIF-1 signaling
-
WB
-
Human
-
Citation
-
-
Ze-Qi decoction inhibits non-small cell lung cancer growth and metastasis by modulating the PI3K/Akt/p53 signaling pathway
-
WB
-
Mouse
-
Citation
-
-
DAB2IP-knocking down resulted in radio-resistance of breast cancer cells is associated with increased hypoxia and vasculogenic mimicry formation
-
WB
-
Mouse
-
Citation
-
-
Zhong-Xia Yang,et al
Interleukin-17A facilitates tumor progression via upregulating programmed death ligand-1 expression in hepatocellular carcinoma
-
WB
-
Mouse
-
Citation
-
-
Zhuo Liu,et al
Silencing CXCR6 promotes epithelial-mesenchymal transition and invasion in colorectal cancer by activating the VEGFA/PI3K/AKT/mTOR pathway
-
WB
-
Mouse
-
Citation
-
-
Jin Hui,et al
Tranilast alleviates skin inflammation and fibrosis in rosacea-like mice induced by long-term exposure to LL-37
-
WB
-
Mouse
-
Citation
-
-
Wu, Q., Xu, R., Zhang, K., Sun, R., Yang, M., Li, K., Liu, H., Xue, Y., Xu, H., & Guo, Y.
Characterization of early myocardial inflammation in ischemia-reperfusion injury
-
WB
-
Mouse
-
Citation
-
-
Luo, C., Zhou, M., Chen, C., Li, S., Li, Q., Huang, Y., & Zhou, Z.
A liposome-based combination strategy using doxorubicin and a PI3K inhibitor efficiently inhibits pre-metastatic initiation by acting on both tumor cells and tumor-associated macrophages
-
IHC
-
Mouse
-
Citation
-