beta Tubulin Mouse Monoclonal Antibody [A1-A4] (M1305-2)
Catalog# M1305-2
Mouse Monoclonal to beta Tubulin
-
WB
-
IF-Cell
-
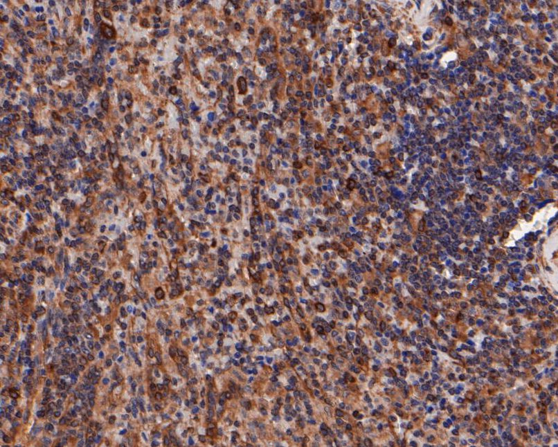
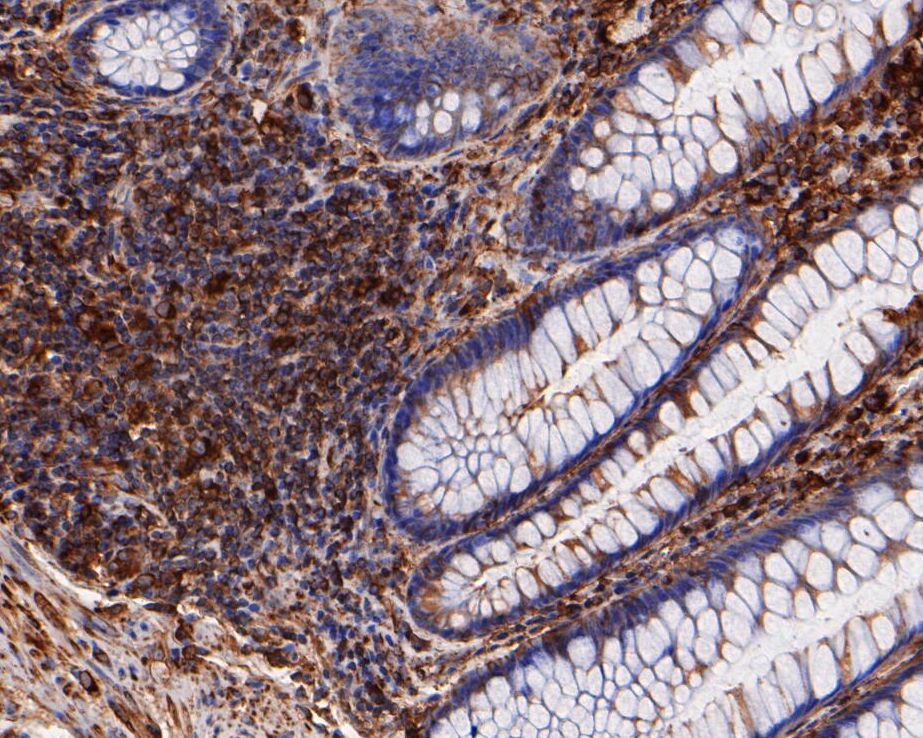
IHC-P
-
FC
-
Human
-
Mouse
-
Rat
Hela cell lysates at 10 µg/Lane.
Predicted band size: 50 kDa
Observed band size: 50 kDa
8% SDS-PAGE gel.
Proteins were transferred to a PVDF membrane and blocked with 5% NFDM/TBST for 1 hour at room temperature. The primary antibody (M1305-2) at serial dilution was used in 5% NFDM/TBST at room temperature for 2 hours. Goat Anti-Mouse IgG - HRP Secondary Antibody (HA1006) at 1:100,000 dilution was used for 1 hour at room temperature.
Safety datasheet
Select your chosen country/region
- MSDS_HUABIO.pdf
- MSDS_HUABIO.pdf
- MSDS_M1305-2_Europe.pdf
- No MSDS Found
COA DOWNLOAD
- No COA Found
Specifications
Product Type
Mouse monoclonal primary
Product Name
beta Tubulin Mouse Monoclonal Antibody [A1-A4] (M1305-2)
Immunogen
Synthetic peptide within human beta tubulin aa 151-200 / 444.
Host
Mouse
Positive Control
Hela cell lysates, NIH/3T3 cell lysates, PC-12 cell lysates, SKOV-3 cells, HeLa, 293, human tonsil tissue, human spleen tissue, human colon tissue, rat brain tissue, NIH/3T3.
Conjugation
Unconjugated
Clonality
Monoclonal
Clone Number
A1-A4
RRID
APPLICATION DILUTION
-
WB
-
1:5,000-1:20,000
-
IF-Cell
-
1:100-1:500
-
IHC-P
-
1:50-1:200
-
FC
-
1:100-1:1,000
PROPERTIES
Form
Liquid
Storage Condition
Shipped at 4℃. Store at +4℃ short term (1-2 weeks). It is recommended to aliquot into single-use upon delivery. Store at -20℃ long term.
Storage Buffer
1*PBS (pH7.4), 0.2% BSA, 40% Glycerol. Preservative: 0.05% Sodium Azide.
Concentration
2ug/ul
Purification
Protein A affinity purified.
Molecular Weight
Predicted band size: 50 kDa
Isotype
IgG3
TARGET
UNIPROT #
PROTEIN NAME
beta Tubulin
SYNONYMS
beta 3 tubulin antibody;beta-4 antibody;CDCBM antibody;CDCBM1 antibody;CFEOM3 antibody;CFEOM3A antibody;FEOM3 antibody;M(beta)3 antibody;M(beta)6 antibody;MC1R antibody;Neuron specific beta III Tubulin antibody;Neuron-specific class III beta-tubulin antibody;QccE-11995 antibody;QccE-15186 antibody;TBB3_HUMAN antibody;Tubb 3 antibody;TUBB3 antibody;TUBB4 antibody;Tubulin beta 3 antibody;Tubulin beta 3 chain antibody;Tubulin beta 4 antibody;Tubulin beta III antibody;Tubulin beta-3 chain antibody;Tubulin beta-4 chain antibody;Tubulin beta-III antibody
SEQUENCE SIMILARITIES
Belongs to the tubulin family.
TISSUE SPECIFICITY
Ubiquitously expressed with highest levels in spleen, thymus and immature brain.
POST-TRANSLATIONAL MODIFICATION
Some glutamate residues at the C-terminus are polyglutamylated, resulting in polyglutamate chains on the gamma-carboxyl group. Polyglutamylation plays a key role in microtubule severing by spastin (SPAST). SPAST preferentially recognizes and acts on microtubules decorated with short polyglutamate tails: severing activity by SPAST increases as the number of glutamates per tubulin rises from one to eight, but decreases beyond this glutamylation threshold.; Some glutamate residues at the C-terminus are monoglycylated but not polyglycylated due to the absence of functional TTLL10 in human. Monoglycylation is mainly limited to tubulin incorporated into axonemes (cilia and flagella). Both polyglutamylation and monoglycylation can coexist on the same protein on adjacent residues, and lowering glycylation levels increases polyglutamylation, and reciprocally. The precise function of monoglycylation is still unclear (Probable).; Phosphorylated on Ser-172 by CDK1 during the cell cycle, from metaphase to telophase, but not in interphase. This phosphorylation inhibits tubulin incorporation into microtubules.
SUBCELLULAR LOCATION
Cytoplasm, Cytoskeleton, Microtubule.
FUNCTION
Tubulins is one of several members of a small family of globular proteins. The most common members of the tubulins family are α-tubulins and β-tubulins. The beta-tubulins (relative molecular weight about 50 kDa) is counterpart of alpha-tubulin in tubulins heterodimer, it is coded by multiple tubulins genes and it is also posttranslationally modified. Heterogeneity of subunit is concentrated in C-terminal structural domain. Beta-Tubulins may have bound GTP or GDP. Under certain conditions β-tubulin can hydrolyze its bound GTP to GDP plus Pi, release the Pi, and exchange the GDP for GTP.
CITATIONS
-
Ma, X. R., Yang, S. Y., Zheng, S. S., Yan, H. H., Gu, H. M., Wang, F., Wu, Y., Dong, Z. J., Wang, D. X., Wang, Y., Meng, X., Sun, J., Xia, H. G., & Zhao, J. W.
Inhibition of RIPK1 by ZJU-37 promotes oligodendrocyte progenitor proliferation and remyelination via NF-κB pathway
-
WB
-
Rat
-
Citation
-
-
Jie Wu ;Ayaz Najafov;Hongguang Xia
Pharmacological targeting of MCL-1 promotes mitophagy and improves disease pathologies in an Alzheimer’s disease mouse model
-
WB
-
COIP
-
Human
-
Citation
-
-
Zhou, D., Yan, H., Yang, S., Zhang, Y., Xu, X., Cen, X., Lei, K., & Xia, H.
SC75741, A Novel c-Abl Inhibitor, Promotes the Clearance of TDP25 Aggregates via ATG5-Dependent Autophagy Pathway
-
WB
-
Human
-
Citation
-
-
Dongping Du
P2Y12 regulates microglia activation and excitatory synaptic transmission in spinal lamina II neurons during neuropathic pain in rodents
-
WB
-
rat
-
Citation
-
-
Hongqiang Cheng;
Shp2 in myocytes is essential for cardiovascular and neointima development.
-
WB
-
Mouse
-
Citation
-
-
Du, J. X., Luo, Y. H., Zhang, S. J., Wang, B., Chen, C., Zhu, G. Q., Zhu, P., Cai, C. Z., Wan, J. L., Cai, J. L., Chen, S. P., Dai, Z., & Zhu, W.
Splicing factor SRSF1 promotes breast cancer progression via oncogenic splice switching of PTPMT1. Journal of experimental & clinical cancer research : CR, 40(1), 171.
-
WB
-
IHC
-
Human
-
Citation
-
-
Yang, S., Yan, H., Wu, Y., Shan, B., Zhou, D., Liu, X., Mao, X., Zhou, S., Zhao, Q., & Xia, H.
Deubiquitination and Stabilization of PD-L1 by USP21
-
WB
-
Human
-
Citation
-
-
Wang, F., Ma, X. R., Wu, Y., Xu, Y. C., Gu, H. M., Wang, D. X., Dong, Z. J., Li, H. L., Wang, L. B., & Zhao, J. W.
Neutralization of Hv1/HVCN1 With Antibody Enhances Microglia/Macrophages Myelin Clearance by Promoting Their Migration in the Brain
-
WB
-
Mouse
-
Citation
-
-
Gao XK, Sheng ZK, Lu YH, et al
VAPB-mediated ER-targeting stabilizes IRS-1 signalosomes to regulate insulin/IGF signaling
-
WB
-
Mouse
-
Citation
-
-
Zhang, J., Wang, Z., Wang, K., Xin, D., Wang, L., Fan, Y., & Xu, Y.
Increased Expression of SRSF1 Predicts Poor Prognosis in Multiple Myeloma
-
WB
-
Human
-
Citation
-
-
Wang Jianfeng,et al
Cigarette smoking inhibits myoblast regeneration by promoting proteasomal degradation of NPAT protein and hindering cell cycle progression
-
WB
-
Mouse
-
Citation
-
-
Liu, P., Li, Y., Li, M., Zhou, H., Zhang, H., Zhang, Y., Xu, J., Xu, Y., Zhang, J., Xia, B., Cheng, H., Ke, Y., & Zhang, X.
Endothelial Shp2 deficiency controls alternative activation of macrophage preventing radiation-induced lung injury through notch signaling
-
WB
-
Human
-
Citation
-
-
Hou Changxu,et al
Subtle structural alteration in indisulam switches the molecular mechanisms for the inhibitory effect on the migration of gastric cancer cells
-
WB
-
Human
-
Citation
-
-
Wang X, Jiang X, Li B, et al
A regulatory circuit comprising the CBP and SIRT7 regulates FAM134B-mediated ER-phagy
-
WB
-
Citation
-
-
Zhang Bao;Jianying Zhou
Triptolide induces atrophy of myotubes by triggering IRS-1 degradation and activating the FoxO3 pathway. Toxicology in vitro : an international journal published in association with BIBRA, 65, 104793.
-
WB
-
Human
-
Citation
-
-
Jiang, X., Wang, X., Ding, X., Du, M., Li, B., Weng, X., Zhang, J., Li, L., Tian, R., Zhu, Q., Chen, S., Wang, L., Liu, W., Fang, L., Neculai, D., & Sun, Q.
FAM134B oligomerization drives endoplasmic reticulum membrane scission for ER-phagy. The EMBO journal, 39(5), e102608.
-
WB
-
Human
-
Citation
-
-
Ma, X. R., Zhu, X., Xiao, Y., Gu, H. M., Zheng, S. S., Li, L., Wang, F., Dong, Z. J., Wang, D. X., Wu, Y., Yang, C., Jiang, W., Yao, K., Yin, Y., Zhang, Y., Peng, C., Gao, L., Meng, Z., Hu, Z., Liu, C., … Zhao, J. W.
Restoring nuclear entry of Sirtuin 2 in oligodendrocyte progenitor cells promotes remyelination during ageing
-
WB
-
Mouse
-
Citation
-
-
J Zhou
JWA regulates TRAIL-induced apoptosis via MARCH8-mediated DR4 ubiquitination in cisplatin-resistant gastric cancer cells
-
WB
-
Human
-
Citation
-
-
Wu, W., Xu, J., Gao, D., Xie, Z., Chen, W., Li, W., Yuan, Q., Duan, L., Zhang, Y., Yang, X., Chen, Y., Dong, Z., Liu, K., & Jiang, Y.
TOPK promotes the growth of esophageal cancer in vitro and in vivo by enhancing YB1/eEF1A1 signal pathway
-
Jiemin Wong,et al
An H3K14 ubiquitination-dependent SUV39H recruitment and activation is uniquely required for mammalian pericentromeric heterochromatin formation
-
WB
-
Human
-
Citation
-
-
Atg9A-mediated mitophagy is required for decidual differentiation of endometrial stromal cells
-
WB
-
Human
-
Citation
-
-
Qi, L., Chen, J., Zhou, B., Xu, K., Wang, K., Fang, Z., Shao, Y., Yuan, Y., Zheng, S., & Hu, W.
HomeoboxC6 promotes metastasis by orchestrating the DKK1/Wnt/β-catenin axis in right-sided colon cancer. Cell death & disease, 12(4), 337.
-
WB
-
Mouse
-
Citation
-
-
Xiang Gao;Yan Luo
Glucose-6-Phosphate Upregulates Txnip Expression by Interacting With MondoA
-
WB
-
Human
-
Citation
-
-
Liu, Q., Xiang, P., Chen, M., Luo, Y., Zhao, Y., Zhu, J., Jing, W., & Yu, H.
Nano-Sized Hydroxyapatite Induces Apoptosis and Osteogenic Differentiation of Vascular Smooth Muscle Cells via JNK/c-JUN Pathway. International journal of nanomedicine, 16, 3633–3648.
-
WB
-
Human
-
Citation
-
-
Dan-Dan Hu,et al
Dihydrotanshinone I promotes LDL uptake by HepG2 cells through increasing LDLR level
-
WB
-
Human
-
Citation
-
-
ARIH1 activates STING-mediated T-cell activation and sensitizes tumors to immune checkpoint blockade
-
WB
-
Human
-
Citation
-
-
Xu Xiaoyan,et al
Hsc70 promotes anti-tumor immunity by targeting PD-L1 for lysosomal degradation
-
WB
-
Human
-
Citation
-
-
Yang Guang,et al
Engineering Entomopathogenic Fungi Using Thermal-Responsive Polymer to Boost Their Resilience against Abiotic Stresses
-
WB
-
Citation
-
-
Gastrodin protects porcine sertoli cells from zearalenone-induced abnormal secretion of glial cell line-derived neurotrophic factor through the NOTCH signaling pathway.
-
WB
-
Pig
-
Citation
-
-
Jin, L., Yu, B., Wang, H., Shi, L., Yang, J., Wu, L., Gao, C., Pan, H., Han, F., Lin, W., Lai, E. Y., Wang, Y. F., & Yang, Y.
STING promotes ferroptosis through NCOA4-dependent ferritinophagy in acute kidney injury
-
WB
-
Mouse
-
Citation
-
-
Lu, J., Li, D., Jiang, H., Li, Y., Lu, C., Chen, T., Wang, Y., Wang, X., Sun, W., Pu, Z., Qiao, C., Ma, J., & Xu, G.
The aryl sulfonamide indisulam inhibits gastric cancer cell migration by promoting the ubiquitination and degradation of the transcription factor ZEB1
-
WB
-
Human
-
Citation
-