beta Tubulin Mouse Monoclonal Antibody [1-B11] (EM0103)
Catalog# EM0103
Mouse Monoclonal to beta Tubulin
-
WB
-
IF-Cell
-
IHC-P
-
FC
-
IF-Tissue
-
Human
-
Mouse
-
Rat
-
Zebrafish
Lane 1: K-562 cell lysate
Lane 2: Jurkat cell lysate
Lane 3: HeLa cell lysate
Lane 4: NIH/3T3 cell lysate
Lane 5: RAW264.7 cell lysate
Lane 6: C6 cell lysate
Lysates/proteins at 15 µg/Lane.
Predicted band size: 50 kDa
Observed band size: 50 kDa
Exposure time: 1 minute 40 seconds;
4-20% SDS-PAGE gel.
Proteins were transferred to a PVDF membrane and blocked with 5% NFDM/TBST for 1 hour at room temperature. The primary antibody (EM0103) at 1/20,000 dilution was used in 5% NFDM/TBST at room temperature for 2 hours. Goat Anti-Mouse IgG - HRP Secondary Antibody (HA1006) at 1:50,000 dilution was used for 1 hour at room temperature.
Safety datasheet
Select your chosen country/region
- MSDS_HUABIO.pdf
- MSDS_HUABIO.pdf
- MSDS_EM0103_Europe.pdf
- No MSDS Found
COA DOWNLOAD
- No COA Found
Specifications
Product Type
Mouse monoclonal primary
Product Name
beta Tubulin Mouse Monoclonal Antibody [1-B11] (EM0103)
Immunogen
Synthetic peptide within human beta tubulin aa 51-100.
Host
Mouse
Positive Control
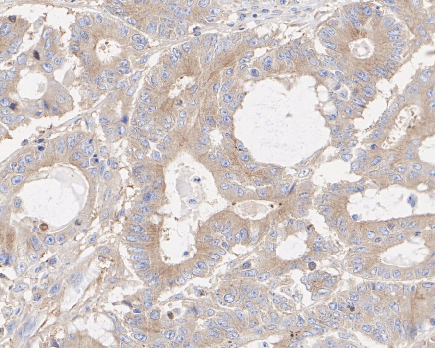
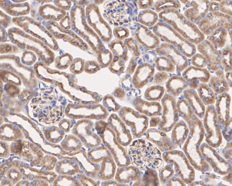
K-562 cell lysate, Jurkat cell lysate, HeLa cell lysate, NIH/3T3 cell lysate, RAW264.7 cell lysate, C6 cell lysate, HeLa, NIH/3T3, PC-12, hybrid fish (crucian-carp) brain tissue lysates, human colon cancer tissue, human kidney tissue, mouse kidney tissue, rat kidney tissue, Rat kidney tissue lysate, Rat heart tissue lysate, Rat liver tissue lysate.
Conjugation
Unconjugated
Clonality
Monoclonal
Clone Number
1-B11
RRID
APPLICATION DILUTION
-
WB
-
1:20,000-1:50,000
-
IF-Cell
-
1:100
-
IHC-P
-
1:3,000-1:10,000
-
IF-Tissue
-
1:500-1:2,000
PROPERTIES
Form
Liquid
Storage Condition
Shipped at 4℃. Store at +4℃ short term (1-2 weeks). It is recommended to aliquot into single-use upon delivery. Store at -20℃ long term.
Storage Buffer
1*PBS (pH7.4), 0.2% BSA, 40% Glycerol. Preservative: 0.05% Sodium Azide.
Concentration
2ug/ul
Purification
Protein A affinity purified.
Molecular Weight
Predicted band size: 50 kDa
Isotype
IgG1
TARGET
UNIPROT #
PROTEIN NAME
beta Tubulin
SYNONYMS
Beta 4 tubulin antibody;Beta 5 tubulin antibody;BetaTubulin antibody;TBB5_HUMAN antibody;TUBB antibody;TUBB2 antibody;TUBB2A antibody;TUBB5 antibody;tubulin beta 2A antibody;Tubulin beta chain antibody;Tubulin beta-5 chain antibody
SEQUENCE SIMILARITIES
Belongs to the tubulin family.
TISSUE SPECIFICITY
Ubiquitously expressed with highest levels in spleen, thymus and immature brain.
POST-TRANSLATIONAL MODIFICATION
Some glutamate residues at the C-terminus are polyglutamylated, resulting in polyglutamate chains on the gamma-carboxyl group. Polyglutamylation plays a key role in microtubule severing by spastin (SPAST). SPAST preferentially recognizes and acts on microtubules decorated with short polyglutamate tails: severing activity by SPAST increases as the number of glutamates per tubulin rises from one to eight, but decreases beyond this glutamylation threshold.; Some glutamate residues at the C-terminus are monoglycylated but not polyglycylated due to the absence of functional TTLL10 in human. Monoglycylation is mainly limited to tubulin incorporated into axonemes (cilia and flagella). Both polyglutamylation and monoglycylation can coexist on the same protein on adjacent residues, and lowering glycylation levels increases polyglutamylation, and reciprocally. The precise function of monoglycylation is still unclear (Probable).; Phosphorylated on Ser-172 by CDK1 during the cell cycle, from metaphase to telophase, but not in interphase. This phosphorylation inhibits tubulin incorporation into microtubules.
SUBCELLULAR LOCATION
Cytoplasm ,cytoskeleton
FUNCTION
Tubulin in molecular biology can refer either to the tubulin protein superfamily of globular proteins, or one of the member proteins of that superfamily. α- and β-tubulins polymerize into microtubules, a major component of the eukaryotic cytoskeleton. Microtubules function in many essential cellular processes, including mitosis. Tubulin-binding drugs kill cancerous cells by inhibiting microtubule dynamics, which are required for DNA segregation and therefore cell division. In eukaryotes, there are six members of the tubulin superfamily, although not all are present in all species. Both α and β tubulins have a mass of around 50 kDa and are thus in a similar range compared to actin (with a mass of ~42 kDa). In contrast, tubulin polymers (microtubules) tend to be much bigger than actin filaments due to their cylindrical nature. Tubulin was long thought to be specific to eukaryotes. More recently, however, several prokaryotic proteins have been shown to be related to tubulin.
CITATIONS
-
Xu, T., Yu, W., Fang, H., Wang, Z., Chi, Z., Guo, X., Jiang, D., Zhang, K., Chen, S., Li, M., Guo, Y., Zhang, J., Yang, D., Yu, Q., Wang, D., & Zhang, X.
Ubiquitination of NLRP3 by gp78/Insig-1 restrains NLRP3 inflammasome activation
-
WB
-
Mouse
-
Citation
-
-
Hu, Y., Liu, H., Zhu, Z., Qi, X., Yuan, W., Tian, M., Wang, D., & Xu, J.
LACTB suppresses migration and invasion of glioblastoma via downregulating RHOC/Cofilin signaling pathway
-
WB
-
Human
-
Citation
-
-
GAB1 is upregulated to promote anaplastic thyroid cancer cell migration through AKT-MDR1
-
WB
-
Human
-
Citation
-
-
Yi Ting Zhou,Boon Chuan Low
KIF5B transports BNIP-2 to regulate p38 mitogen-activated protein kinase activation and myoblast differentiation
-
WB
-
Mouse
-
Citation
-
-
AKT inhibition sensitizes acute leukemia cells to S63845-induced apoptosis
-
WB
-
Human
-
Citation
-
-
Selective binding of mitophagy receptor protein Bcl-rambo to LC3/GABARAP family proteins
-
WB
-
Citation
-
-
A genome-wide CRISPR screen identifies the CCT chaperonin as a critical regulator of vesicle trafficking
-
WB
-
Human
-
Citation
-
-
A Single-Component Optogenetic Gal4-UAS System Allows Stringent Control of Gene Expression in Zebrafish and Drosophila
-
WB
-
Zebrafish and Drosophila
-
Citation
-
-
Systematic identification of cell-fate regulatory programs using a single-cell atlas of mouse development
-
WB
-
Citation
-
-
Yue Liu , Huasong Zhang , Cong Fan , Feiyi Liu , Shaoying Li , Juanjuan Li , Huiying Zhao , Xianhai Zeng
Potential role of Bcl2 in lipid metabolism and synaptic dysfunction of age-related hearing loss
-
IF
-
Rat
-
Citation
-
-
Zhang, D. G., Zhao, T., Hogstrand, C., Ye, H. M., Xu, X. J., & Luo, Z.
Oxidized fish oils increased lipid deposition via oxidative stress-mediated mitochondrial dysfunction and the CREB1-Bcl2-Beclin1 pathway in the liver tissues and hepatocytes of yellow catfish. Food chemistry, 360, 129814.
-
WB
-
Yellow catfish
-
Citation
-
-
Lv, J. J., Wang, H., Cui, H. Y., Liu, Z. K., Zhang, R. Y., Lu, M., Li, C., Yong, Y. L., Liu, M., Zhang, H., Zhang, T. J., Zhang, K., Li, G., Nan, G., Zhang, C., Guo, S. P., Wang, L., Chen, Z. N., & Bian, H.
Blockade of Macrophage CD147 Protects Against Foam Cell Formation in Atherosclerosis. Frontiers in cell and developmental biology, 8, 609090.
-
WB
-
Mouse
-
Citation
-
-
王迪
Cholesterol Homeostatic Regulator SCAP-SREBP2 Integrates NLRP3 Inflammasome Activation and Cholesterol Biosynthetic Signaling in Macrophages
-
WB
-
None
-
Citation
-
-
Zhao, J., Xu, J., Yang, T., Yu, X., Cheng, C., Zhang, T., Ren, Z., Li, N., Yang, F., & Li, G.
Expression, purification and characterisation of a human anti-CDK4 single-chain variable fragment antibody
-
WB
-
Human
-
Citation
-
-
Sun W, Zhu J, Qin G, et al
Lonicera japonica polysaccharides alleviate D-galactose-induced oxidative stress and restore gut microbiota in ICR mice
-
WB
-
Mouse
-
Citation
-
-
Zhaoyan Chen,et al
Quercetin alleviates neonatal hypoxic-ischaemic brain injury by rebalancing microglial M1/M2 polarization through silent information regulator 1/ high mobility group box-1 signalling
-
WB
-
Mouse
-
Citation
-
-
Cai-Wen Duan;Bin-Bing S. Zhou
Bromodomains and Extra-Terminal (BET) Inhibitor JQ1 Suppresses Proliferation of Acute Lymphocytic Leukemia by Inhibiting c-MycMediated Glycolysis
-
WB
-
Human
-
Citation
-
-
Di Wang
Histone Deacetylase 3 Couples Mitochondria to Drive IL-1β-Dependent Inflammation by Configuring Fatty Acid Oxidation
-
WB
-
IP
-
Mouse
-
Citation
-
-
The mtDNA-STING pathway plays an important role in both navitoclax-and S63845-induced autophagy and enhances cell death
-
WB
-
Human
-
Citation
-
-
MIRO-1 interacts with VDAC-1 to regulate mitochondrial membrane potential in Caenorhabditis elegans.
-
WB
-
Citation
-
-
Wu Peiyao,et al
Periodontal pathogen Fusobacterium nucleatum infection accelerates hepatic steatosis in high‐fat diet‐fed ApoE knockout mice by inhibiting Nrf2/Keap1 signaling
-
WB
-
Mouse
-
Citation
-
-
Yu Jianpeng,et al
Monoacylglycerol lipase blockades the senescence-associated secretory phenotype by interfering with NF-κB activation and promotes docetaxel efficacy in prostate cancer
-
WB
-
Human
-
Mouse
-
Citation
-
-
Dongping Du
Regular Swimming Exercise Attenuated Neuroma Pain in Rats: Involvement of Leptin and Adiponectin.
-
WB
-
rat
-
Citation
-
-
Wen Wang,Lin-Tao Jia
Tanshinone IIA and Astragaloside IV promote the angiogenesis of mesenchymal stem cell-derived endothelial cell-like cells via upregulation of Cx37,Cx40 and Cx43
-
WB
-
rat
-
Citation
-
-
Gut flora mediates the rapid tolerance of electroacupuncture on ischemic stroke by activating melatonin receptor through regulating indole-3-Propionic acid
-
WB
-
Mouse
-
Citation
-
-
φC31‐Mediated Cassette Exchange in Sf9 Insect Cells for Stable Expression
-
WB
-
Species independent
-
Citation
-