beta Actin Rabbit Polyclonal Antibody (R1207-1)
Catalog# R1207-1
Rabbit Polyclonal to beta Actin
-
WB
-
IF-Cell
-
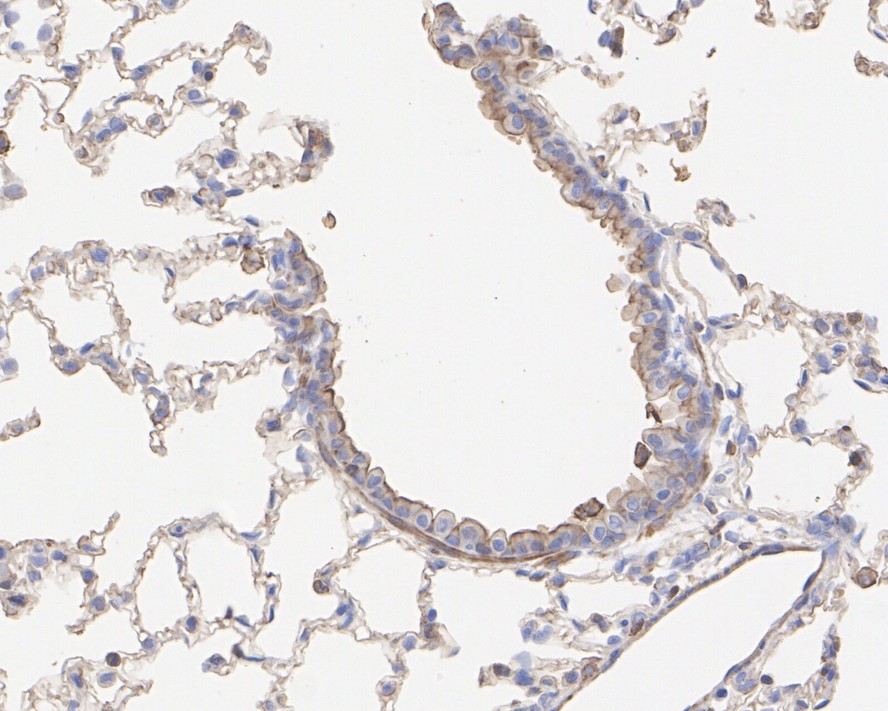
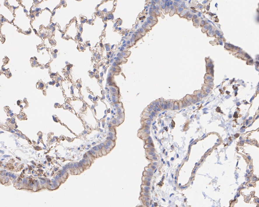
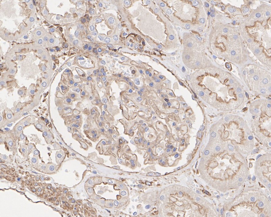
IHC-P
-
FC
-
Human
-
Mouse
-
Rat
-
Zebrafish
-
Bamboo
Lane 1: HeLa cell lysate
Lane 2: A549 cell lysate
Lane 3: Jurkat cell lysate
Lane 4: NIH/3T3 cell lysate
Lane 5: PC-12 cell lysate
Lane 6: Mouse brain tissue lysate
Lane 7: Rat brain tissue lysate
Lane 8: Mouse lung tissue lysate
Lane 9: Rat lung tissue lysate
Lysates/proteins at 20 µg/Lane.
Predicted band size: 42 kDa
Observed band size: 42 kDa
Exposure time: 30 seconds;
4-20% SDS-PAGE gel.
Proteins were transferred to a PVDF membrane and blocked with 5% NFDM/TBST for 1 hour at room temperature. The primary antibody (R1207-1) at 1/20,000 dilution was used in 5% NFDM/TBST at 4℃ overnight. Goat Anti-Rabbit IgG - HRP Secondary Antibody (HA1001) at 1/50,000 dilution was used for 1 hour at room temperature.
Safety datasheet
Select your chosen country/region
- MSDS_HUABIO.pdf
- MSDS_HUABIO.pdf
- MSDS_R1207-1_Europe.pdf
- No MSDS Found
COA DOWNLOAD
- No COA Found
Specifications
Product Type
Rabbit polyclonal primary
Product Name
beta Actin Rabbit Polyclonal Antibody (R1207-1)
Immunogen
Synthetic peptide within n-terminal residues of β-actin.
Host
Rabbit
Positive Control
HeLa cell lysate, A549 cell lysate, Jurkat cell lysate, NIH/3T3 cell lysate, PC-12 cell lysate, mouse brain tissue lysate, rat brain tissue lysate, mouse lung tissue lysate, rat lung tissue lysate, HeLa, NIH/3T3, PC-12, human kidney tissue, human lung tissue, mouse kidney tissue, mouse lung tissue, rat kidney tissue, rat lung tissue, hybrid fish (crucian-carp) brain tissue, hybrid fish (crucian-carp) kidney tissue.
Conjugation
Unconjugated
Clonality
Polyclonal
RRID
APPLICATION DILUTION
-
WB
-
1:20,000
-
IF-Cell
-
1:100
-
IHC-P
-
1:2,000
-
FC
-
1:1,000
PROPERTIES
Form
Liquid
Storage Condition
Shipped at 4℃. Store at +4℃ short term (1-2 weeks). It is recommended to aliquot into single-use upon delivery. Store at -20℃ long term.
Storage Buffer
1*PBS (pH7.4), 0.2% BSA, 40% Glycerol. Preservative: 0.05% Sodium Azide.
Concentration
1ug/ul
Purification
Immunogen affinity purified.
Molecular Weight
Predicted band size: 42 kDa
Isotype
IgG
TARGET
UNIPROT #
PROTEIN NAME
beta Actin
SYNONYMS
A26C1A antibody;A26C1B antibody;ACTB antibody;ACTB_HUMAN antibody;Actin beta antibody;Actin cytoplasmic 1 antibody;Actin, cytoplasmic 1, N-terminally processed antibody;Actx antibody;b actin antibody;Beta cytoskeletal actin antibody;Beta-actin antibody;BRWS1 antibody;E430023M04Rik antibody;MGC128179 antibody;PS1TP5 binding protein 1 antibody;PS1TP5BP1 antibody;β-actin antibody;β actin antibody
SEQUENCE SIMILARITIES
Belongs to the actin family.
POST-TRANSLATIONAL MODIFICATION
ISGylated.; Oxidation of Met-44 and Met-47 by MICALs (MICAL1, MICAL2 or MICAL3) to form methionine sulfoxide promotes actin filament depolymerization. MICAL1 and MICAL2 produce the (R)-S-oxide form. The (R)-S-oxide form is reverted by MSRB1 and MSRB2, which promote actin repolymerization.; Monomethylation at Lys-84 (K84me1) regulates actin-myosin interaction and actomyosin-dependent processes. Demethylation by ALKBH4 is required for maintaining actomyosin dynamics supporting normal cleavage furrow ingression during cytokinesis and cell migration.; Methylated at His-73 by SETD3. Methylation at His-73 is required for smooth muscle contraction of the laboring uterus during delivery (By similarity).; [Actin, cytoplasmic 1, N-terminally processed]: N-terminal acetylation by NAA80 affects actin filament depolymerization and elongation, including elongation driven by formins. In contrast, filament nucleation by the Arp2/3 complex is not affected.; (Microbial infection) Monomeric actin is cross-linked by V.cholerae toxins RtxA and VgrG1 in case of infection: bacterial toxins mediate the cross-link between Lys-50 of one monomer and Glu-270 of another actin monomer, resulting in formation of highly toxic actin oligomers that cause cell rounding. The toxin can be highly efficient at very low concentrations by acting on formin homology family proteins: toxic actin oligomers bind with high affinity to formins and adversely affect both nucleation and elongation abilities of formins, causing their potent inhibition in both profilin-dependent and independent manners.
SUBCELLULAR LOCATION
Cytoskeleton
FUNCTION
Actins are highly conserved proteins involved in cell motility, structure and integrity. Actin has been found to be expressed in at least six isomeric forms. It is expressed in heart and skeletal striated muscle tissue, and in certain smooth muscle tissues, regulating contractile potentials for these cells. It is also expressed in the cytoplasm of non-muscle cells, functioning to control cell structure and motility. Beta actin is usually used as a loading control, for among others, the integrity of cells, protein degradation, in Western Blotting.
CITATIONS
-
Luo, R., Fu, W., Shao, J., Ma, L., Shuai, S., Xu, Y., Jiang, Z., Ye, Z., Zheng, L., Zheng, L., Yu, J., Zhang, Y., Yin, L., Tu, L., Lv, X., Li, J., Liang, G., & Chen, L.
Discovery of a potent and selective allosteric inhibitor targeting the SHP2 tunnel site for RTK-driven cancer treatment
-
WB
-
Human
-
Citation
-
-
Yang J, Yang Y, Wei Y, Wei X
A small-molecule pan-HER inhibitor alone or in combination with cisplatin exerts efficacy against nasopharyngeal carcinoma
-
WB
-
Human
-
Citation
-
-
Jian Li; Caiqiao Zhang
Metformin Prevents Follicular Atresia in Aging Laying Chickens through Activation of PI3K/AKT and Calcium Signaling Pathways
-
WB
-
IF
-
IHC
-
hen
-
Citation
-
-
Yuyin Chen
Immune response of peroxinectin of chinese mitten crab eriocheir sinensis to exterior stimulation
-
WB
-
Eriocheir sinensis
-
Citation
-
-
MicroRNA-375 Mediated Regulation on Pre-mRNA Processing Factor 3 in Zebrafish Embryos Exposed to Di-(2-ethylhexyl)phthalate at Low Concentrations
-
WB
-
zebrafish
-
Citation
-
-
Jin-Yan Li
Identification of Cancer Stem-Like Side Population Cells in Purified Primary Cultured Human Laryngeal Squamous Cell Carcinoma Epithelia
-
WB
-
Human
-
Citation
-
-
Lixin Wei
Autophagy protects against palmitate-induced apoptosis in hepatocytes
-
WB
-
Human
-
Citation
-
-
Hu Qidi,et al
Adenosine A2A receptor antagonist KW6002 protects against A53T mutant alpha-synuclein-induced brain damage and neuronal apoptosis in Parkinson's disease mice by restoring autophagic flux
-
WB
-
Mouse
-
Citation
-
-
Zong, X., Xiao, X., Shen, B., Jiang, Q., Wang, H., Lu, Z., Wang, F., Jin, M., Min, J., Wang, F., & Wang, Y.
The N6-methyladenosine RNA-binding protein YTHDF1 modulates the translation of TRAF6 to mediate the intestinal immune response. Nucleic acids research, 49(10), 5537–5552.
-
WB
-
Mouse
-
Citation
-
-
Wang Hong,et al
Hydrogel-immobilized nanotherapeutics: Inhibition of protective autophagy to amplify STING signals for postsurgical tumor immunotherapy
-
WB
-
Mouse
-
Citation
-
-
Heng Zhou,et al
The role of apoptosis, immunogenic cell death, and macrophage polarization in carbon ion radiotherapy for keloids: Targeting the TGF-β1/SMADs signaling pathway
-
WB
-
Mouse
-
Citation
-
-
A genome-wide CRISPR screen identifies the CCT chaperonin as a critical regulator of vesicle trafficking
-
WB
-
Human
-
Citation
-
-
Feng Juan,et al
Discovery of novel peptide-dehydroepiandrosterone hybrids inducing endoplasmic reticulum stress with effective in vitro and in vivo anti-melanoma activities
-
WB
-
Mouse
-
Citation
-
-
Xiao, L. X., Qi, L., Zhang, X. L., Zhou, Y. Q., Yue, H. L., Yu, E. D., & Li, Q. Y.
Liver injury in septic mice were suppressed by a camptothecin-bile acid conjugate via inhibiting NF-κB signaling pathway. Life sciences, 257, 118130.
-
WB
-
Mouse
-
Citation
-
-
Liu Shengde,et al
Genome-wide CRISPR Screening Identifies the Pivotal Role of ANKRD42 in Colorectal Cancer Metastasis Through EMT Regulation
-
WB
-
Mouse
-
Citation
-
-
Wu, Y., Hu, A., Shu, X., Huang, W., Zhang, R., Xu, Y., & Yang, C.
Lactobacillus plantarum postbiotics trigger AMPK-dependent autophagy to suppress Salmonella intracellular infection and NLRP3 inflammasome activation
-
WB
-
Pig
-
Citation
-
-
Cai Binhao,et al
Discovery of a doublecortin-like kinase 1 inhibitor to prevent inflammatory responses in acute lung injury
-
WB
-
Mouse
-
Citation
-
-
Gao Bingbing,et al
Beneficial Effects of Oxymatrine from Sophora flavescens on Alleviating by Improving Inflammation and Ferroptosis
-
WB
-
Mouse
-
Citation
-
-
Wang, J., Bai, Y., Yin, S., Cui, J., Zhang, Y., Wang, X., Zhang, F., Li, H., Tang, Y., & Wang, J.
Circadian clock gene BMAL1 reduces urinary calcium oxalate stones formation by regulating NRF2/HO-1 pathway. Life sciences, 265, 118853.
-
Chen Lingfeng,et al
Discovery of LC-MI-3: A Potent and Orally Bioavailable Degrader of Interleukin-1 Receptor-Associated Kinase 4 for the Treatment of Inflammatory Diseases
-
WB
-
Mouse
-
Citation
-
-
MiR‐17 family‐mediated regulation of Pknox1 influences hepatic steatosis and insulin signaling
-
WB
-
Human;Rat
-
Citation
-
-
Hua Zhang; Fang Kuang
Inhibition of MyD88 Signaling Skews Microglia/Macrophage Polarization and Attenuates Neuronal Apoptosis in the Hippocampus After Status Epilepticus in Mice
-
WB
-
Mouse
-
Citation
-
-
Inhibition of complement C3 signaling ameliorates locomotor and visual dysfunction in autoimmune inflammatory diseases
-
WB
-
Mouse
-
Citation
-
-
Sun, F., Zhao, Z., Willoughby, M. M., Shen, S., Zhou, Y., Shao, Y., Kang, J., Chen, Y., Chen, M., Yuan, X., Hamza, I., Reddi, A. R., & Chen, C.
HRG-9 homologues regulate haem trafficking from haem-enriched compartments
-
WB
-
Mouse
-
Citation
-
-
Song, X., Liu, B., Zhao, G., Pu, X., Liu, B., Ding, M., & Xue, Y.
Streptococcus pneumoniae promotes migration and invasion of A549 cells in vitro by activating mTORC2/AKT through up-regulation of DDIT4 expression
-
WB
-
Human
-
Citation
-
-
Liu, Y., Wang, C., Cheng, P., Zhang, S., Zhou, W., Xu, Y., Xu, H., & Ji, G.
FHL1 Inhibits the Progression of Colorectal Cancer by Regulating the Wnt/β-Catenin Signaling Pathway. Journal of Cancer, 12(17), 5345–5354.
-
WB
-
Human
-
Citation
-
-
Yahui Li ,et al
Coronavirus M protein promotes mitophagy over virophagy by recruiting PDPK1 to phosphorylate SQSTM1 at T138
-
WB
-
mice
-
Citation
-
-
Liu, X., Cui, S., Dan, C., Li, W., Xie, H., Li, C., & Shi, L.
Phellinus baumii Polyphenol: A Potential Therapeutic Candidate against Lung Cancer Cells
-
WB
-
Human
-
Citation
-
-
Luan Yi,et al
Linear ubiquitination regulates the KSHV replication and transcription activator protein to control infection
-
WB
-
Human
-
Citation
-
-
Shuxin Li,et al
Overcoming multi-drug resistance in SCLC: a synergistic approach with venetoclax and hydroxychloroquine targeting the lncRNA LYPLAL1-DT/BCL2/BECN1 pathway
-
WB
-
Mouse
-
Citation
-
-
Shengtao Yao,et al
LTBP2 silence suppresses glioblastoma proliferation and tumor growth of Xenograft tumor mice through modulating JAK2/STAT3 signaling pathway
-
WB
-
Mouse
-
Citation
-
-
Guo-Kang Fan
Cancer-Associated Fibroblasts in a Human HEp-2 Established Laryngeal Xenografted Tumor Are Not Derived from Cancer Cells through Epithelial-Mesenchymal Transition,Phenotypically Activated but Karyotypically Normal
-
WB
-
Human
-
Citation
-
-
Xiong Yufeng,et al
A novel trifluoromethyl quinoline derivative targeting SGK1 inducing autophagy and apoptosis via regulating mTOR/FOXO3a pathway in glioblastoma
-
WB
-
Human
-
Citation
-
-
Tang H, Sun M, Duan W, et al
Nucleophosmin 1a translocated from nucleus to cytoplasm and facilitate GCRV replication
-
WB
-
Fish
-
Citation
-
-
Tetrahydropalmatine Prevents High-Fat Diet-Induced Hyperlipidemia in Golden Hamsters (Mesocricetus Auratus)
-
WB
-
Mouse
-
Citation
-
-
Huibin Qiu;Peifeng Liu
Selective Killing of Cancer Cells by Nonplanar Aromatic Hydrocarbon-Induced DNA Damage
-
WB
-
Human
-
Citation
-
-
Increase of PRPP enhances chemosensitivity of PRPS1 mutant acute lymphoblastic leukemia cells to 5‐Fluorouracil
-
WB
-
Human
-
Citation
-
-
Shan Lin,et al
SNRK modulates mTOR-autophagy pathway for liver lipid homeostasis in MAFLD
-
WB
-
Mouse
-
Citation
-
-
Weiping Wang,Junli Zhen
Chronic mild hypoxia promotes hippocampal neurogenesis involving Notch1 signaling in epileptic rats.
-
WB
-
rat
-
Citation
-
-
Liao Zhi
Production and Function of Different Regions from Mytichitin-1 of Mytilus coruscus
-
WB
-
Mytilus coruscus
-
Citation
-
-
Targeting DNA polymerase β elicits synthetic lethality with mismatch repair deficiency in acute lymphoblastic leukemia
-
WB
-
Human
-
Citation
-
-
Xiaoqiang Guo ,Xianglin Duan
Histone H3K9 demethylase JMJD1A is a co-activator of erythropoietin expression under hypoxia.
-
WB
-
hepatocellular carcinoma cells (HepG2)
-
Citation
-
-
Xu Li,et al
Lycium barbarum glycopeptide ameliorates motor and visual deficits in autoimmune inflammatory diseases
-
WB
-
Mouse
-
Citation
-
-
PD184352 exerts anti-inflammatory and antioxidant effects by promoting activation of the Nrf2/HO-1 axis
-
WB
-
Mouse
-
Citation
-
-
Mo, F., Zhou, X., Yang, M., Chen, L., Tang, Z., Wang, C., & Cui, Y.
Trehalose Attenuates Oxidative Stress and Endoplasmic Reticulum Stress-Mediated Apoptosis in IPEC-J2 Cells Subjected to Heat Stress
-
WB
-
Pig
-
Citation
-
-
Zhou, W., Shi, W., Du, X., Han, Y., Tang, Y., Ri, S., Ju, K., Kim, T., Huang, L., Zhang, W., Yu, Y., Tian, D., Yu, Y., Chen, L., Wu, Z., & Liu, G.
Assessment of Nonalcoholic Fatty Liver Disease Symptoms and Gut-Liver Axis Status in Zebrafish after Exposure to Polystyrene Microplastics and Oxytetracycline, Alone and in Combination
-
WB
-
Zebrafish
-
Citation
-
-
Pleiotrophin ameliorates age-induced adult hippocampal neurogenesis decline and cognitive dysfunction
-
WB
-
Mouse
-
Citation
-
-
Chengfei Xu,et al
Histone modifications and Sp1 promote GPR160 expression in bone cancer pain within rodent models
-
WB
-
mice
-
Citation
-
-
Yongjing Guo,et al
Maresin1 Inhibits Ferroptosis via the Nrf2/SLC7A11/GPX4 Pathway to Protect Against Sepsis-Induced Acute Liver Injury
-
WB
-
Mouse
-
Citation
-
-
Novel Dimeric Architecture of an IFN-γ–Related Cytokine Provides Insights into Subfunctionalization of Type II IFNs in Teleost Fish
-
WB
-
Human
-
Citation
-
-
Cheng, Y., Mo, F., Li, Q., Han, X., Shi, H., Chen, S., Wei, Y., & Wei, X.
Targeting CXCR2 inhibits the progression of lung cancer and promotes therapeutic effect of cisplatin. Molecular cancer, 20(1), 62.
-
WB
-
Mouse
-
Citation
-
-
Liu Shengde,et al
Claudin-18.2 mediated interaction of gastric Cancer cells and Cancer-associated fibroblasts drives tumor progression
-
WB
-
Human
-
Mouse
-
Citation
-
-
Xiang, H., Shao, M., Lu, Y., Wang, J., Wu, T., & Ji, G.
Kaempferol Alleviates Steatosis and Inflammation During Early Non-Alcoholic Steatohepatitis Associated With Liver X Receptor α-Lysophosphatidylcholine Acyltransferase 3 Signaling Pathway. Frontiers in pharmacology, 12, 690736.
-
WB
-
Mouse
-
Citation
-
-
Wang F
Zebrafish slc30a10 deficiency revealed a novel compensatory mechanism of Atp2c1 in maintaining manganese homeostasis
-
WB
-
Zebrafish
-
Citation
-
-
Integrated Analysis of mRNA-seq and miRNA-seq to Identify c-MYC, YAP1 and miR-3960 as Major Players in the Anticancer Effects of Caffeic Acid Phenethyl Ester in Human Small Cell Lung Cancer Cell Line
-
WB
-
Human
-
Citation
-
-
Qingchang Suppository Ameliorates Colonic Vascular Permeability in Dextran-Sulfate-Sodium-Induced Colitis
-
WB
-
Rat
-
Citation
-
-
Xinying Li,et al
Ghrelin regulates the endoplasmic reticulum stress signalling pathway in gestational diabetes mellitus
-
WB
-
Human
-
Citation
-
-
Jinrong Peng
Liver-Enriched Gene 1,a Glycosylated Secretory Protein,Binds to FGFR and Mediates an Anti-stress Pathway to Protect Liver Development in Zebrafish
-
IF
-
WB
-
Zebrafish
-
Citation
-
-
Curcumol inhibits malignant biological behaviors and TMZ-resistance of glioma cells via reducing long noncoding RNA FoxD2-As1 promoted EZH2 activation
-
WB
-
Mouse
-
Citation
-
-
Wei-Qiang Tan;Jun Chen
p53 isoform Δ113p53 promotes zebrafish heart regeneration by maintaining redox homeostasis
-
WB
-
Zebrafish
-
Citation
-
-
Huang, J., Zhang, Q., Shen, J., Chen, X., & Ma, S.
Multi-omics analysis identifies potential mechanisms of AURKB in mediating poor outcome of lung adenocarcinoma.
-
WB
-
Human
-
Citation
-
-
Li Hui,et al
Folylpolyglutamate synthetase inactivation in relapsed ALL induces a druggable folate metabolic vulnerability
-
WB
-
Human
-
Citation
-
-
Xiang Zuo,et al
Fluoxetine Ameliorates Cognitive Deficits in High-Fat Diet Mice by Regulating BDNF Expression
-
WB
-
Mouse
-
Citation
-
-
Lixin Weib
Autophagy inhibits chemotherapy-induced apoptosis through downregulating Bad and Bim in hepatocellular carcinoma cells
-
WB
-
Human
-
Citation
-
-
Protective effects of epigallocatechin‐3‐o‐gallate combined with organic selenium against transforming growth factor‐beta 1‐induced fibrosis in LX‐2 cells
-
WB
-
Human
-
Citation
-
-
Zhang Zizhen,et al
Influential upregulation of KCNE4: Propelling cancer associated fibroblasts-driven colorectal cancer progression
-
WB
-
Mouse
-
Citation
-
-
Wang, C., Wei, S., Liu, B., Wang, F., Lu, Z., Jin, M., & Wang, Y.
Maternal consumption of a fermented diet protects offspring against intestinal inflammation by regulating the gut microbiota
-
WB
-
Pig
-
Citation
-
-
Zhao Jinquan,et al
The anti-non-small cell lung cancer effect of Diosbulbin B: targeting YY1 induced cell cycle arrest and apoptosis
-
WB
-
Human
-
Citation
-
-
Zhu, Y., Wang, Y., Tao, B., Han, J., Chen, H., Zhu, Q., Huang, L., He, Y., Hong, J., Li, Y., Chen, J., Huang, J., Lo, L. J., & Peng, J.
Nucleolar GTPase Bms1 displaces Ttf1 from RFB-sites to balance progression of rDNA transcription and replication
-
WB
-
Zebrafish
-
Citation
-
-
Elucidation of the anti-colon cancer mechanism of Phellinus baumii polyphenol by an integrative approach of network pharmacology and experimental verification
-
WB
-
Human
-
Citation
-