alpha smooth muscle Actin Recombinant Rabbit Monoclonal Antibody [SY02-64] (ET1607-53)
Catalog# ET1607-53
Rabbit Monoclonal to alpha smooth muscle Actin
-
WB
-
IF-Cell
-
IF-Tissue
-
IHC-P
-
FC
-
mIHC
-
Human
-
Mouse
-
Rat
Lane 1: Saos-2 cell lysate (15 µg/Lane)
Lane 2: A431 cell lysate (15 µg/Lane)
Lane 3: NIH/3T3 cell lysate (15 µg/Lane)
Lane 4: C2C12 cell lysate (15 µg/Lane)
Lane 5: Neuro-2a cell lysate (15 µg/Lane)
Lane 6: Mouse skin tissue lysate (30 µg/Lane)
Lane 7: Rat skin tissue lysate (30 µg/Lane)
Predicted band size: 42 kDa
Observed band size: 42 kDa
Exposure time: 46 seconds; ECL: K1801;
4-20% SDS-PAGE gel.
Proteins were transferred to a PVDF membrane and blocked with 5% NFDM/TBST for 1 hour at room temperature. The primary antibody (ET1607-53) at 1/20,000 dilution and competitor's antibody at 1/5,000 dilution were used in 5% NFDM/TBST at 4℃ overnight. Goat Anti-Rabbit IgG - HRP Secondary Antibody (HA1001) at 1/50,000 dilution was used for 1 hour at room temperature.
Safety datasheet
Select your chosen country/region
- MSDS_HUABIO.pdf
- MSDS_HUABIO.pdf
- MSDS_ET1607-53_Europe.pdf
- No MSDS Found
COA DOWNLOAD
- No COA Found
Specifications
Product Type
Recombinant Rabbit monoclonal primary
Product Name
alpha smooth muscle Actin Recombinant Rabbit Monoclonal Antibody [SY02-64] (ET1607-53)
Immunogen
Synthetic peptide within n-terminal human alpha smooth muscle actin.
Host
Rabbit
Positive Control
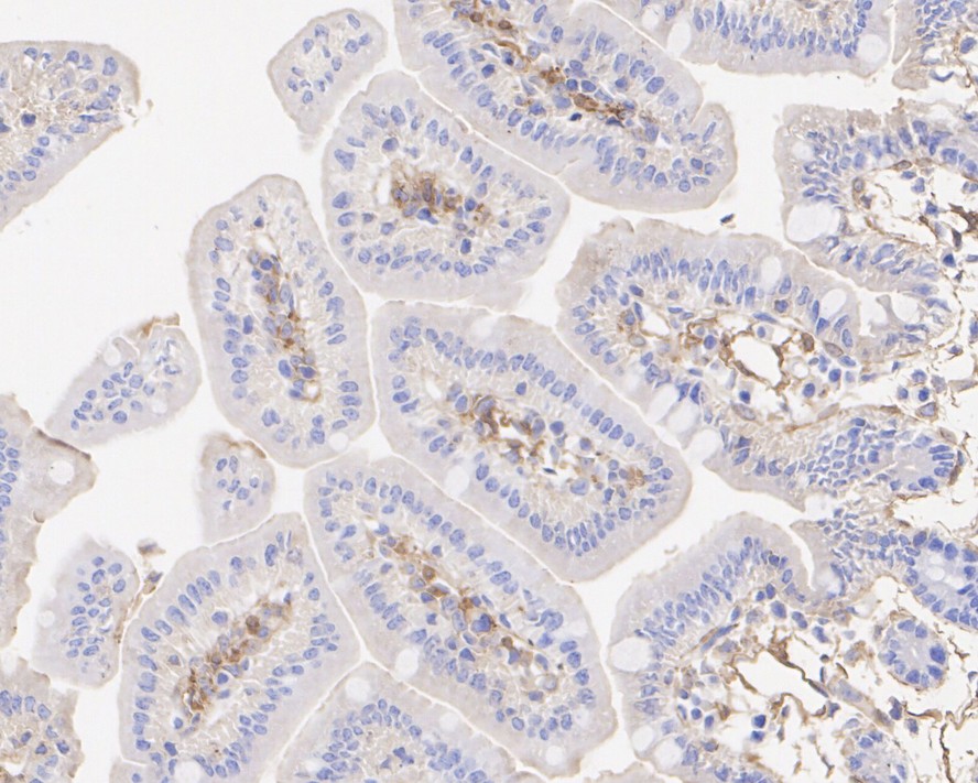
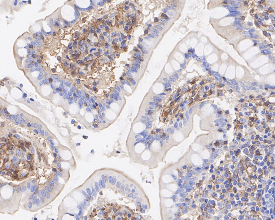
Saos-2 cell lysate, A431 cell lysate, NIH/3T3 cell lysate, C2C12 cell lysate, Neuro-2a cell lysate, mouse skin tissue lysate, rat skin tissue lysate, human breast carcinoma tissue, HeLa cell lysate, A431 cell lysate, A549 cell lysate, NIH/3T3 cell lysate, C2C12 cell lysate, L6 cell lysate, mouse heart tissue lysate, mouse skin tissue lysate, rat heart tissue lysate, rat skin tissue lysate, rat smooth muscle tissue lysate, human kidney tissue, human stomach cancer tissue, human pancreatic carcinoma, HepG2, human tonsil tissue, human liver tissue, human gastric cancer, Human non-small cell lung cancer, mouse pancreas, mouse liver, mouse kidney, human stomach cancer tissue, human small intestine tissue, mouse small intestine tissue, rat small intestine tissue, NIH/3T3, PC-12, HepG2.
Conjugation
Unconjugated
Clonality
Monoclonal
Clone Number
SY02-64
RRID
APPLICATION DILUTION
-
WB
-
1:20,000-1:50,000
-
IF-Cell
-
1:2,000-1:3,000
-
IF-Tissue
-
1:1,000-1:2,000
-
IHC-P
-
1:50,000-1:100,000
-
FC
-
1:1,000-1:2,000
-
mIHC
-
1:2,000-1:10,000
PROPERTIES
Form
Liquid
Storage Condition
Shipped at 4℃. Store at +4℃ short term (1-2 weeks). It is recommended to aliquot into single-use upon delivery. Store at -20℃ long term.
Storage Buffer
1*TBS (pH7.4), 0.05% BSA, 40% Glycerol. Preservative: 0.05% Sodium Azide.
Concentration
1ug/ul
Purification
Protein A affinity purified.
Molecular Weight
Predicted band size: 42 kDa
Isotype
IgG
TARGET
UNIPROT #
PROTEIN NAME
alpha smooth muscle Actin
SYNONYMS
alpha SMA;a-SMA antibody;asma antibody;a actin antibody;AAT6 antibody;ACTA_HUMAN antibody;ACTA2 antibody;Actin alpha 2 smooth muscle aorta antibody;Actin aortic smooth muscle antibody;Actin, aortic smooth muscle antibody;ACTSA antibody;ACTVS antibody;Alpha 2 actin antibody;Alpha actin 2 antibody;Alpha cardiac actin antibody;Alpha-actin-2 antibody;Cell growth inhibiting gene 46 protein antibody;Cell growth-inhibiting gene 46 protein antibody;GIG46 antibody;Growth inhibiting gene 46 antibody;MYMY5 antibody
SEQUENCE SIMILARITIES
Belongs to the actin family.
POST-TRANSLATIONAL MODIFICATION
Oxidation of Met-46 and Met-49 by MICALs (MICAL1, MICAL2 or MICAL3) to form methionine sulfoxide promotes actin filament depolymerization. MICAL1 and MICAL2 produce the (R)-S-oxide form. The (R)-S-oxide form is reverted by MSRB1 and MSRB2, which promotes actin repolymerization.; Monomethylation at Lys-86 (K84me1) regulates actin-myosin interaction and actomyosin-dependent processes. Demethylation by ALKBH4 is required for maintaining actomyosin dynamics supporting normal cleavage furrow ingression during cytokinesis and cell migration.; Methylated at His-75 by SETD3.; (Microbial infection) Monomeric actin is cross-linked by V.cholerae toxins RtxA and VgrG1 in case of infection: bacterial toxins mediate the cross-link between Lys-52 of one monomer and Glu-272 of another actin monomer, resulting in formation of highly toxic actin oligomers that cause cell rounding. The toxin can be highly efficient at very low concentrations by acting on formin homology family proteins: toxic actin oligomers bind with high affinity to formins and adversely affect both nucleation and elongation abilities of formins, causing their potent inhibition in both profilin-dependent and independent manners.
SUBCELLULAR LOCATION
Cytoplasm.
FUNCTION
All eukaryotic cells express Actin, which often constitutes as much as 50% of total cellular protein. Actin filaments can form both stable and labile structures and are crucial components of microvilli and the contractile apparatus of muscle cells. While lower eukaryotes, such as yeast, have only one Actin gene, higher eukaryotes have several isoforms encoded by a family of genes. At least six types of Actin are present in mammalian tissues and fall into three classes. α-Actin expression is limited to various types of muscle, whereas β-Actin and γ-Actin are the principle constituents of filaments in other tissues. Members of the small GTPase family regulate the organization of the Actin cytoskeleton. Rho controls the assembly of Actin stress fibers and focal adhesion. Rac regulates Actin filament accumulation at the plasma membrane. Cdc42 stimulates formation of filopodia.
CITATIONS
-
Ping Fu; Liang Ma
Pterostilbene, a bioactive component of blueberries, alleviates renal fibrosis in a severe mouse model of hyperuricemic nephropathy. Biomedicine & pharmacotherapy = Biomedecine & pharmacotherapie, 109, 1802–1808.
-
WB
-
Mouse
-
Citation
-
-
Hongming Wei,et al
Gut commensal Parabacteroides distasonis exerts neuroprotective effects in acute ischemic stroke with hyperuricemia via regulating gut microbiota-gut-brain axis
-
WB
-
Rat
-
Citation
-
-
Xu, Z., Jia, K., Wang, H., Gao, F., Zhao, S., Li, F., & Hao, J.
METTL14-regulated PI3K/Akt signaling pathway via PTEN affects HDAC5-mediated epithelial–mesenchymal transition of renal tubular cells in diabetic kidney disease
-
WB
-
Mouse
-
Citation
-
-
Han-mei Li ,et al
A Novel Nanoscale Phase-Change Contrast Agent Evaluates the Hepatic Fibrosis Through Targeting Hepatic Stellate Cell Platelet-Derived Factor Beta Receptor by Ultrasound in Vitro
-
IF
-
Rat
-
Citation
-
-
TRIM21 deficiency protects against atrial inflammation and remodeling post myocardial infarction by attenuating oxidative stress
-
WB
-
Mouse
-
Citation
-
-
Li, Q., Hong, Y., Chen, J., Zhou, X., Tian, X., Yu, Y., Shen, L., Long, C., Cai, M., Wu, S., & Wei, G.
Hypoxia-Induced HIF-1α Expression Promotes Neurogenic Bladder Fibrosis via EMT and Pyroptosis
-
WB
-
Rat
-
Citation
-
-
Yuqin Yao;Xiaoxin Chen3
The pharmacodynamic and differential gene expression analysis of PPAR α/δ agonist GFT505 in CDAHFD-induced NASH model
-
IHC
-
Mouse
-
Citation
-
-
Ming Wu;Chaoyang Ye
Renal asymmetric dimethylarginine inhibits fibrosis
-
WB
-
Mouse
-
Citation
-
-
Liu Xiaofei,et al
Necroptosis plays a role in TL1A-induced airway inflammation and barrier damage in asthma
-
WB
-
Human
-
Mouse
-
Citation
-
-
Xu Cheng,et al
Nanomaterial‐Mediated Reprogramming of Macrophages to Inhibit Refractory Muscle Fibrosis
-
IF
-
Mouse
-
Citation
-
-
Dan Wang ,et al
Tanshinone IIA alleviates liver fibrosis through inducing inactivation and ferroptosis in hepatic stellate cells
-
WB
-
Human
-
Citation
-
-
Wang Meng,et al
Shen-Shuai-II-Recipe inhibits tubular inflammation by PPARα-mediated fatty acid oxidation to attenuate fibroblast activation in fibrotic kidneys
-
WB
-
Rat
-
Citation
-
-
Xiao, X., Chen, J., Zhai, Q., Xin, L., Zheng, X., Wang, S., & Song, J.
Suppressing STAT3 activation impairs bone formation during maxillary expansion and relapse
-
IHC
-
Rat
-
Citation
-
-
Liu R, Feng L, Tang S, Liu Y, Yang Q
The impact and mechanism of TET3 overexpression on the progression of hepatic fibrosis
-
WB
-
Mouse
-
Citation
-
-
Shen Shuai Ⅱ Recipe attenuates renal fibrosis in chronic kidney disease by improving hypoxia-induced the imbalance of mitochondrial dynamics via PGC-1α activation
-
WB
-
Human
-
Citation
-
-
Shen Shuai II Recipe inhibits hypoxia-induced glycolysis by preserving mitochondrial dynamics to attenuate kidney fibrosis
-
WB
-
Rat
-
Citation
-
-
Wang, Y., Wu, M., Chen, D., Tan, B., Lin, P., Huang, D., & Ye, C.
SDMA attenuates renal tubulointerstitial fibrosis through inhibition of STAT4
-
WB
-
Mouse
-
Citation
-
-
Li, Y., Guo, F., Huang, R., Ma, L., & Fu, P.
Natural flavonoid pectolinarigenin alleviated kidney fibrosis via inhibiting the activation of TGFβ/SMAD3 and JAK2/STAT3 signaling. International immunopharmacology, 91, 107279.
-
WB
-
Mouse
-
Citation
-
-
Sodium houttuyfonate against cardiac fibrosis attenuates isoproterenol-induced heart failure by binding to MMP2 and p38
-
WB
-
Mouse
-
Citation
-
-
Wu Wensi,et al
circGRHPR inhibits aberrant epithelial-mesenchymal transformation progression of lung epithelial cells associated with idiopathic pulmonary fibrosis
-
WB
-
Human
-
Citation
-
-
Ren, Q., Tao, S., Guo, F., Wang, B., Yang, L., Ma, L., & Fu, P.
Natural flavonol fisetin attenuated hyperuricemic nephropathy via inhibiting IL-6/JAK2/STAT3 and TGF-β/SMAD3 signaling. Phytomedicine : international journal of phytotherapy and phytopharmacology, 87, 153552.
-
WB
-
IHC
-
Mouse
-
Citation
-
-
Tang Yi,et al
Targeted ultrasound-mediated molecular diagnosis and tumor microenvironment remodeling of pancreatic cancer with aPD-L1-modified docetaxel-loaded phase-transition nanoparticles
-
IF
-
Mouse
-
Citation
-
-
Jia-Ming Chen,et al
Transcriptomics of tissue exosomes to investigate miR-195-5p's amelioration of endometrial fibrosis via the YAP-Smad7 pathway: an animal study
-
IF
-
rat
-
Citation
-
-
Lin, P., Qiu, F., Wu, M., Xu, L., Huang, D., Wang, C., Yang, X., & Ye, C.
Salvianolic acid B attenuates tubulointerstitial fibrosis by inhibiting EZH2 to regulate the PTEN/Akt pathway
-
WB
-
Mouse
-
Citation
-
-
Hypoxia Drives Material-Induced Heterotopic Bone Formation by Enhancing Osteoclastogenesis via M2/Lipid-Loaded Macrophage Axis
-
IF
-
Mouse
-
Citation
-
-
Zhou, Y., Long, D., Zhao, Y., Li, S., Liang, Y., Wan, L., Zhang, J., Xue, F., & Feng, L.
Oxidative stress-mediated mitochondrial fission promotes hepatic stellate cell activation via stimulating oxidative phosphorylation
-
IHC
-
Mouse
-
Citation
-
-
Meng Lingjie,et al
The combination of paeoniflorin and metformin synergistically inhibits the progression of liver fibrosis in mice
-
WB
-
IHC
-
Mouse
-
Citation
-
-
Yanfang Bai,et al
Tanshinone I improves renal fibrosis by promoting gluconeogenesis through upregulation of peroxisome proliferator-activated receptor-γ coactivator 1α
-
WB
-
Human
-
Citation
-
-
Follistatin-related protein 1 in asthma: miR-200b-3p interactions affect airway remodeling and inflammation phenotype
-
WB
-
Human
-
Citation
-
-
Liu Hongyao,et al
Niclosamide - encapsulated lipid nanoparticles for the reversal of pulmonary fibrosis
-
WB
-
IF
-
Mouse
-
Citation
-
-
Kaiping Bai,et al
A New Rat Model of Sacral Cord Injury Producing a Neurogenic Bladder and Its Functional and Mechanistic Studies
-
WB
-
Rat
-
Citation
-
-
Pterostilbene, a bioactive component of blueberries, alleviates renal interstitial fibrosis by inhibiting macrophage-myofibroblast transition
-
WB
-
IF
-
Mouse
-
Citation
-
-
Minglu Zhou,et al
Cell surface patching via CXCR4-targeted nanothreads for cancer metastasis inhibition
-
FC
-
Mouse
-
Citation
-
-
Xu, L., Tan, B., Huang, D., Yuan, M., Li, T., Wu, M., & Ye, C.
Remdesivir Inhibits Tubulointerstitial Fibrosis in Obstructed Kidneys. Frontiers in pharmacology, 12, 626510.
-
WB
-
Rat
-
Citation
-
-
Ren, Q., Wang, B., Guo, F., Huang, R., Tan, Z., Ma, L., & Fu, P.
Natural Flavonoid Pectolinarigenin Alleviated Hyperuricemic Nephropathy via Suppressing TGFβ/SMAD3 and JAK2/STAT3 Signaling Pathways
-
WB
-
IHC
-
Mouse
-
Citation
-
-
A cancer-associated fibroblast subtypes-based signature enables the evaluation of immunotherapy response and prognosis in bladder cancer
-
IF
-
Human
-
Citation
-
-
Long non-coding RNA MALAT1 sponges miR-30c to promote the calcification of human vascular smooth muscle cells by regulating Runx2
-
WB
-
Human
-
Citation
-
-
Loss of TRIM67 attenuates the progress of obesity-induced non-alcoholic fatty liver disease
-
WB
-
IHC
-
Mouse
-
Citation
-
-
Ming Wu,Chaoyang Ye
Reduced asymmetric dimethylarginine accumulation through inhibition of the type I protein arginine methyltransferases promotes renal fibrosis in obstructed kidneys.
-
WB
-
Human kidney 2 (HK2) cells
-
Citation
-
-
ZNF32 prevents the activation of cancer‐associated fibroblasts through negative regulation of TGFB1 transcription in breast cancer
-
WB
-
IHC
-
IF
-
Mouse
-
Citation
-
-
Guo, H., Jian, Z., Liu, H., Cui, H., Deng, H., Fang, J., Zuo, Z., Wang, X., Zhao, L., Geng, Y., Ouyang, P., & Tang, H.
TGF-β1-induced EMT activation via both Smad-dependent and MAPK signaling pathways in Cu-induced pulmonary fibrosis
-
WB
-
IHC
-
Mouse
-
Citation
-
-
Wang Xiaolong,et al
Lactobacillus-Polydopamine System for Targeted Drug Delivery in Overactive Bladder: Evidence from Bladder Cell Spheroids, Rat Models, and Urinary Microbiome Profiling
-
IF
-
Human
-
Citation
-
-
Lai Weizhi,et al
DIREN mitigates DSS-induced colitis in mice and attenuates collagen deposition via inhibiting the Wnt/β-catenin and focal adhesion pathways
-
IF
-
Mouse
-
Citation
-
-
Zhang, J., Zhang, D., Pan, Y., Liu, X., Xu, J., Qiao, X., Cui, W., & Dong, L.
The TL1A-DR3 Axis in Asthma: Membrane-Bound and Secreted TL1A Co-Determined the Development of Airway Remodeling
-
WB
-
Human
-
Citation
-
-
Icariin attenuates renal fibrosis in chronic kidney disease by inhibiting interleukin‐1β/transforming growth factor‐β‐mediated activation of renal fibroblasts
-
WB
-
IF
-
Rat
-
Citation
-
-
Xu Qing,et al
Suppression of STK39 weakens the MASLD/MASH process by protecting the intestinal barrier
-
WB
-
Mouse
-
Citation
-
-
Wu, M., Yang, F., Huang, D., & Ye, C.
Tanshinone I attenuates fibrosis in fibrotic kidneys through down-regulation of inhibin beta-A
-
WB
-
Mouse
-
Citation
-
-
Liang Ma;Ping Fu
Inhibition of Fatty Acid–Binding Protein 4 Attenuated Kidney Fibrosis by Mediating Macrophage-to-Myofibroblast Transition
-
WB
-
IF
-
Human
-
Mouse
-
Citation
-