AKT1/2/3 Recombinant Rabbit Monoclonal Antibody [ST48-09] (ET1609-51)
Catalog# ET1609-51
Rabbit Monoclonal to AKT1/2/3
-
WB
-
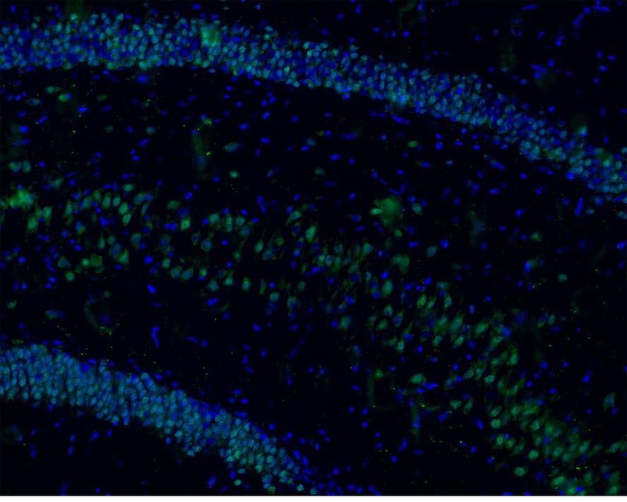
IF-Cell
-
IF-Tissue
-
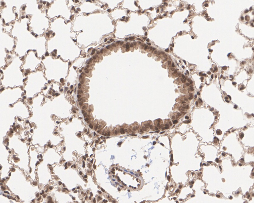
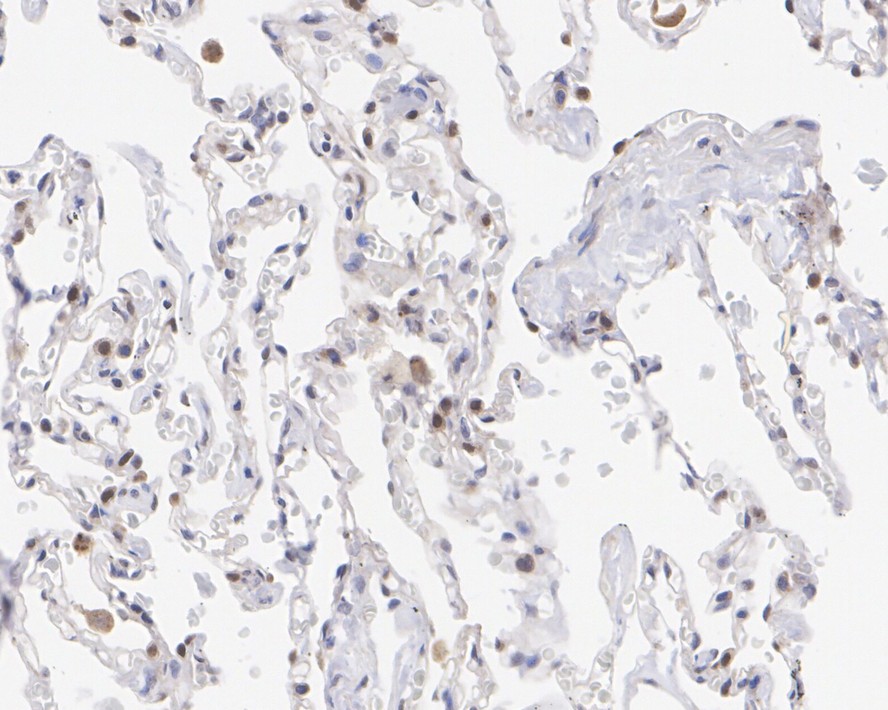
IHC-P
-
IP
-
FC
-
IHC-Fr
-
Human
-
Mouse
-
Rat
-
Monkey
Lane 1: MCF7 cell lysate (20 µg/Lane)
Lane 2: A549 cell lysate (20 µg/Lane)
Lane 3: U-2 OS cell lysate (20 µg/Lane)
Lane 4: COS-1 cell lysate (20 µg/Lane)
Lane 5: NIH/3T3 cell lysate (20 µg/Lane)
Lane 6: RAW264.7 cell lysate (20 µg/Lane)
Lane 7: C6 cell lysate (20 µg/Lane)
Lane 8: PC-12 cell lysate (20 µg/Lane)
Lane 9: Mouse brain tissue lysate (20 µg/Lane)
Lane 10: Mouse heart tissue lysate (20 µg/Lane)
Lane 11: Mouse testis tissue lysate (20 µg/Lane)
Lane 12: Rat brain tissue lysate (20 µg/Lane)
Lane 13: Rat heart tissue lysate (20 µg/Lane)
Lane 14: Rat testis tissue lysate (20 µg/Lane)
Predicted band size: 56 kDa
Observed band size: 56 kDa
Exposure time: 24 seconds; ECL: K1801;
4-20% SDS-PAGE gel.
Proteins were transferred to a PVDF membrane and blocked with 5% NFDM/TBST for 1 hour at room temperature. The primary antibody (ET1609-51) at 1/5,000 dilution was used in 5% NFDM/TBST at room temperature for 2 hours. Goat Anti-Rabbit IgG - HRP Secondary Antibody (HA1001) at 1/50,000 dilution was used for 1 hour at room temperature.
Safety datasheet
Select your chosen country/region
- MSDS_HUABIO.pdf
- MSDS_HUABIO.pdf
- MSDS_ET1609-51_Europe.pdf
- No MSDS Found
COA DOWNLOAD
- No COA Found
Specifications
Product Type
Recombinant Rabbit monoclonal primary
Product Name
AKT1/2/3 Recombinant Rabbit Monoclonal Antibody [ST48-09] (ET1609-51)
Immunogen
Recombinant protein within human akt3 aa 300-479.
Host
Rabbit
Positive Control
MCF7 cell lysate, U-2 OS cell lysate, Jurkat cell lysate, C6 cell lysate, mouse heart tissue lysate, mouse testis tissue lysate, rat heart tissue lysate, rat testis tissue lysate, MCF7, RAW264.7, C6, human brain tissue, human lung tissue, mouse brain tissue, mouse lung tissue, rat brain tissue, rat lung tissue, mouse hippocampus tissue, mouse cerebral cortex tissue.
Conjugation
Unconjugated
Clonality
Monoclonal
Clone Number
ST48-09
RRID
APPLICATION DILUTION
-
WB
-
1:5,000-1:10,000
-
IF-Cell
-
1:100-1:200
-
IF-Tissue
-
1:500-1:1,000
-
IHC-P
-
1:2,000
-
FC
-
1:1,000
-
IP
-
1-2μg/sample
-
IHC-Fr
-
1:100
PROPERTIES
Form
Liquid
Storage Condition
Shipped at 4℃. Store at +4℃ short term (1-2 weeks). It is recommended to aliquot into single-use upon delivery. Store at -20℃ long term.
Storage Buffer
1*TBS (pH7.4), 0.05% BSA, 40% Glycerol. Preservative: 0.05% Sodium Azide.
Concentration
1ug/ul
Purification
Protein A affinity purified.
Molecular Weight
Predicted band size: 56 kDa
Isotype
IgG
TARGET
UNIPROT #
PROTEIN NAME
AKT1/2/3
SYNONYMS
AKT antibody;AKT1 antibody;AKT1 kinase antibody;AKT1m antibody;AKT2 antibody;AKT2 kinase antibody;Akt3 antibody;AKT3_HUMAN antibody;CAKT antibody;CWS6 antibody;DKFZp434N0250 antibody;HIHGHH antibody;kinase Akt1 antibody;MGC99656 antibody;MPPH antibody;Murine thymoma viral (v-akt) homolog 2 antibody;PKB ALPHA antibody;PKB antibody;PKB beta antibody;PKB gamma antibody;PKB-GAMMA antibody;PKB/Akt antibody;PKBALPHA antibody;PKBB antibody;PKBBETA antibody;PKBG antibody;PKBGAMMA antibody;PRKBA antibody;PRKBB antibody;PRKBG antibody;Protein kinase Akt 2 antibody;Protein kinase Akt-3 antibody;Protein kinase B alpha antibody;Protein kinase B antibody;Protein kinase B beta antibody;Protein kinase B gamma antibody;Proto oncogene c Akt antibody;RAC ALPHA antibody;RAC alpha serine/threonine protein kinase antibody;RAC antibody;RAC BETA antibody;RAC beta serine/threonine protein kinase antibody;RAC PK alpha antibody;RAC PK beta antibody;rac protein kinase alpha antibody;rac protein kinase beta antibody;RAC-gamma antibody;RAC-gamma serine/threonine-protein kinase antibody;RAC-PK-gamma antibody;RACALPHA antibody;RACalpha serine/threonine kinase antibody;RACBETA antibody;RACgamma antibody;RACgamma serine/threonine protein kinase antibody;RACPKgamma antibody;serine threonine protein kinase antibody;STK-2 antibody;STK2 antibody;thymoma viral proto oncogene 1 antibody;thymoma viral proto oncogene antibody;V akt murine thymoma viral oncogene homolog 1 antibody;V akt murine thymoma viral oncogene homolog 2 antibody;V akt murine thymoma viral oncogene homolog 3 (protein kinase B, gamma) antibody;V akt murine thymoma viral oncogene homolog 3 antibody;vakt murine thymoma viral oncogene homolog 1 antibody;vakt murine thymoma viral oncogene homolog 2 antibody;vakt murine thymoma viral oncogene homolog 3 antibody
SEQUENCE SIMILARITIES
Belongs to the protein kinase superfamily. AGC Ser/Thr protein kinase family. RAC subfamily.
TISSUE SPECIFICITY
Expressed in prostate cancer and levels increase from the normal to the malignant state (at protein level). Expressed in all human cell types so far analyzed. The Tyr-176 phosphorylated form shows a significant increase in expression in breast cancers during the progressive stages i.e. normal to hyperplasia (ADH), ductal carcinoma in situ (DCIS), invasive ductal carcinoma (IDC) and lymph node metastatic (LNMM) stages.
POST-TRANSLATIONAL MODIFICATION
O-GlcNAcylation at Thr-305 and Thr-312 inhibits activating phosphorylation at Thr-308 via disrupting the interaction between AKT1 and PDPK1. O-GlcNAcylation at Ser-473 also probably interferes with phosphorylation at this site.; Phosphorylation on Thr-308, Ser-473 and Tyr-474 is required for full activity. Activated TNK2 phosphorylates it on Tyr-176 resulting in its binding to the anionic plasma membrane phospholipid PA. This phosphorylated form localizes to the cell membrane, where it is targeted by PDPK1 and PDPK2 for further phosphorylations on Thr-308 and Ser-473 leading to its activation. Ser-473 phosphorylation by mTORC2 favors Thr-308 phosphorylation by PDPK1. Phosphorylated at Thr-308 and Ser-473 by IKBKE and TBK1. Ser-473 phosphorylation is enhanced by interaction with AGAP2 isoform 2 (PIKE-A). Ser-473 phosphorylation is enhanced in focal cortical dysplasias with Taylor-type balloon cells. Ser-473 phosphorylation is enhanced by signaling through activated FLT3 (By similarity). Ser-473 is dephosphorylated by PHLPP. Dephosphorylated at Thr-308 and Ser-473 by PP2A phosphatase. The phosphorylated form of PPP2R5B is required for bridging AKT1 with PP2A phosphatase. Ser-473 is dephosphorylated by CPPED1, leading to termination of signaling.; Ubiquitinated via 'Lys-48'-linked polyubiquitination by ZNRF1, leading to its degradation by the proteasome (By similarity). Ubiquitinated; undergoes both 'Lys-48'- and 'Lys-63'-linked polyubiquitination. TRAF6-induced 'Lys-63'-linked AKT1 ubiquitination is critical for phosphorylation and activation. When ubiquitinated, it translocates to the plasma membrane, where it becomes phosphorylated. When fully phosphorylated and translocated into the nucleus, undergoes 'Lys-48'-polyubiquitination catalyzed by TTC3, leading to its degradation by the proteasome. Also ubiquitinated by TRIM13 leading to its proteasomal degradation. Phosphorylated, undergoes 'Lys-48'-linked polyubiquitination preferentially at Lys-284 catalyzed by MUL1, leading to its proteasomal degradation.; Acetylated on Lys-14 and Lys-20 by the histone acetyltransferases EP300 and KAT2B. Acetylation results in reduced phosphorylation and inhibition of activity. Deacetylated at Lys-14 and Lys-20 by SIRT1. SIRT1-mediated deacetylation relieves the inhibition.
SUBCELLULAR LOCATION
Cell membrane, Cytoplasm, Membrane, Nucleus.
FUNCTION
The serine/threonine kinase Akt family contains several members, including Akt1 (also designated PKB or RacPK), Akt2 (also designated PKBβ or RacPK-β) and Akt 3 (also designated PKBγ or thyoma viral proto-oncogene 3), which exhibit sequence homology with the protein kinase A and C families and are encoded by the c-Akt proto-oncogene. All members of the Akt family have a pleckstrin homology domain. Akt1 and Akt2 are activated by PDGF stimulation. This activation is dependent on PDGFR-β tyrosine residues 740 and 751, which bind the subunit of the phosphatidylinositol 3-kinase (PI 3-kinase) complex. Activation of Akt1 by insulin or insulin-growth factor-1(IGF-1) results in phosphorylation of both Thr 308 and Ser 473. Phosphorylation of both residues is important to generate a high level of Akt1 activity, and the phosphorylation of Thr 308 is not dependent on phosphorylation of Ser 473 in vivo. Thus, Akt proteins become phosphorylated and activated in insulin/IGF-1-stimulated cells by an upstream kinase(s). The activation of Akt1 and Akt2 is inhibited by the PI kinase inhibitor wortmannin, suggesting that the protein signals downstream of the PI kinases.
CITATIONS
-
Liu Xinying,et al
Genipin promotes the apoptosis and autophagy of neuroblastoma cells by suppressing the PI3K/AKT/mTOR pathway
-
WB
-
Human
-
Citation
-
-
Te Liger,et al
Hyperuricemia Induces Reproductive Damage in Male Rats through Zinc Homeostasis Imbalance and Oxidative Stress
-
WB
-
Rat
-
Citation
-
-
Chen, X., Wang, J., Song, L., Yu, Y., Shi, M., Jiang, W., Liu, X., & He, X.
Downregulation of fibulin-4 inhibits autophagy and promotes the sensitivity of esophageal squamous cell carcinoma cells to apatinib by activating the Akt-mTOR signaling pathway
-
WB
-
Human
-
Citation
-
-
Cul4 E3 ubiquitin ligase regulates ovarian cancer drug resistance by targeting the antiapoptotic protein BIRC3
-
WB
-
Human
-
Citation
-
-
Jian Li; Caiqiao Zhang
Metformin Prevents Follicular Atresia in Aging Laying Chickens through Activation of PI3K/AKT and Calcium Signaling Pathways
-
WB
-
IF
-
IHC
-
hen
-
Citation
-
-
GLP‑1 receptor agonist protects palmitate-induced insulin resistance in skeletal muscle cells by up-regulating sestrin2 to promote autophagy
-
WB
-
Rat
-
Citation
-
-
Li Xin,et al
Exploring the Osteogenic Effects of Simiao Wan through Activation of the PI3K/AKT Pathway in Osteoblasts
-
WB
-
Mouse
-
Citation
-
-
Li, Y., Li, D., You, L., Deng, T., Pang, Q., Meng, X., & Zhu, B.
dCas9-Based PDGFR-β Activation ADSCs Accelerate Wound Healing in Diabetic Mice through Angiogenesis and ECM Remodeling
-
WB
-
Mouse
-
Human
-
Citation
-
-
Hu Jiahe,et al
Engineered-Doping Strategy for Self-Sufficient Reactive Oxygen Species Blossom to Amplify Ferroptosis/Cuproptosis Sensibilization in Hepatocellular Carcinoma Treatment
-
WB
-
Human
-
Citation
-
-
Antibacterial and Angiogenic (2A) Bio-Heterojunctions Facilitate Infectious Ischemic Wound Regeneration via an Endogenous-Exogenous Bistimulatory Strategy
-
WB
-
Mouse
-
Citation
-
-
Zhang Qian,et al
Identification of SARS-CoV-2-specific T cell and its receptor
-
WB
-
Human
-
Citation
-
-
Uncovering the mechanisms of leech and centipede granules in the treatment of diabetes mellitus-induced erectile dysfunction utilising network pharmacology
-
WB
-
Rat
-
Citation
-
-
Yang Yuling,et al
Exosome/antimicrobial peptide laden hydrogel wound dressings promote scarless wound healing through miR-21-5p-mediated multiple functions
-
WB
-
Human
-
Mouse
-
Citation
-
-
Yili Jin,et al
Framework Nucleic Acids Loaded with Quercetin: Protecting Retinal Neurovascular Unit via the Protein Kinase B/Heme Oxygenase-1 Pathway
-
IF;WB
-
Mouse
-
Citation
-
-
Xu, F., Wu, J., Hu, Y., Chu, C., Liu, W., Li, X., Zheng, W., Yang, W., Zhao, B., Guo, J., Wang, Z., Jia, Y., & Xiao, W.
Mechanisms of action underlying the effect of Tongsaimai on wound healing based on experimental and network pharmacology
-
WB
-
Mouse
-
Citation
-
-
Gu, Y., Zhang, N., Zhu, S., Lu, S., Jiang, H., & Zhou, H.
Estradiol reduced 5-HT reuptake by downregulating the gene expression of Plasma Membrane Monoamine Transporter (PMAT, Slc29a4) through estrogen receptor β and the MAPK/ERK signaling pathway
-
WB
-
Rat
-
Citation
-
-
Tian Xiaoling,et al
The Therapeutic Potential of Chi Shao and Fu Zi in Acute-on-Chronic Liver Failure: Insights from Network Pharmacology and Animal Studies
-
WB
-
Rat
-
Citation
-
-
Cheng-Ke Xie,et al
Sulindac (K-80003) with nab-paclitaxel and gemcitabine overcomes drug-resistant pancreatic cancer
-
WB
-
Human
-
Citation
-
-
Icariin alleviates osteoarthritis through PI3K/Akt/mTOR/ULK1 signaling pathway
-
WB
-
Human
-
Citation
-
-
LncRNA RP11-93B14. 5 promotes gastric cancer cell growth through PI3K/AKT signaling pathway
-
WB
-
Human
-
Citation
-
-
Rao Zichen
HNRNP I promotes IRAK1 degradation to reduce podocyte apoptosis and inflammatory response alleviating renal injury in diabetic nephropathy
-
WB
-
Human
-
Citation
-
-
Wang GuiYing
Knockdown of ISOC1 inhibits the proliferation and migration and induces the apoptosis of colon cancer cells through the AKT/GSK-3β pathway
-
WB
-
Human
-
Citation
-
-
Tetrahedral framework nucleic acids inhibit pathological neovascularization and vaso-obliteration in ischaemic retinopathy via PI3K/AKT/mTOR signalling pathway
-
WB
-
Human
-
Citation
-
-
Di Guohui,et al
Extracellular Vesicles Containing GAS6 Protect the Liver from Ischemia-Reperfusion Injury by Enhancing Macrophage Efferocytosis via MerTK-ERK-COX2 Signaling
-
WB
-
Citation
-
-
He, Y., Wang, X., Lu, W., Zhang, D., Huang, L., Luo, Y., Xiong, L., Li, H., Zhang, P., Li, Q., & Liang, S.
PGK1 contributes to tumorigenesis and sorafenib resistance of renal clear cell carcinoma via activating CXCR4/ERK signaling pathway and accelerating glycolysis
-
WB
-
Human
-
Citation
-
-
Chen, Y., Lu, Z., Qi, C., Yu, C., Li, Y., Huan, W., Wang, R., Luo, W., Shen, D., Ding, L., Ren, L., Xie, H., Xue, D., Wang, M., Ni, K., Xia, L., Qian, J., & Li, G.
N6-methyladenosine-modified TRAF1 promotes sunitinib resistance by regulating apoptosis and angiogenesis in a METTL14-dependent manner in renal cell carcinoma
-
WB
-
Human
-
Citation
-
-
Circular RNA hsa_circ_0084054 promotes the progression of periodontitis with diabetes via the miR‐508‐3p/PTEN axis
-
WB
-
Human
-
Citation
-
-
Yang Xiu,et al
Regulation of Glycolysis-Derived L-lactate Production in Astrocytes Rescues the Memory Deficits and Aβ Burden in Early Alzheimer's Disease Models
-
WB
-
Mouse
-
Citation
-
-
Tumor Suppressor Functions of miRNA-375 in Nasopharyngeal Carcinoma through Inhibition of Ubiquitin-Specific Protease 1 Expression
-
WB
-
Human
-
Citation
-
-
Wu Kun,et al
Disintegrin Accutin inhibits A549 cell migration though suppression of EMT and FAK/AKT signaling pathway
-
WB
-
Human
-
Citation
-
-
Dandan Yuan;Mingxing Li
CD44 inhibition attenuates EGFR signaling and enhances cisplatin sensitivity in human EGFR wild-type non-small-cell lung cancer cells
-
WB
-
IF
-
Human
-
Citation
-
-
Yun, X., Fang, Y., Lv, C., Qiao, S., Tao, Y., Dai, Y., & Xia, Y.
Inhibition of the activation of γδT17 cells throughPPARγ–PTEN/Akt/GSK3β/NFAT pathwaycontributes to the anti-colitis effect of madecassicacid
-
WB
-
Mouse
-
Citation
-
-
Weichu Sun,et al
Sulforaphane inhibits multiple myeloma cell-induced osteoclast differentiation and macrophage proliferation by elevating ferroportin1
-
WB
-
Human
-
Citation
-
-
Chen Li,et al
Resveratrol alleviates depression-like behaviors by inhibiting ferroptosis via AKT/NRF2 pathway
-
WB
-
rat
-
Citation
-
-
Lu-Sha Cen,et al
Shikonin protects mitochondria through the NFAT5/AMPK pathway for the treatment of diabetic wounds
-
WB
-
Human
-
Citation
-
-
Dong, J., Guo, C., Yang, Z., Wu, Y., & Zhang, C.
Follicle-Stimulating Hormone Alleviates Ovarian Aging by Modulating Mitophagy- and Glycophagy-Based Energy Metabolism in Hens
-
WB
-
Hen
-
Citation
-
-
Liang Xiaoliu,et al
Rhein‐based Pickering emulsion for hepatocellular carcinoma: Shaping the metabolic signaling and immunoactivation in transarterial chemoembolization
-
WB
-
Human
-
Citation
-
-
Gao Yuelan,et al
Inhibiting PRMT1 protects against CoNV by regulating macrophages through the FGF2/PI3K/Akt pathway
-
WB
-
Mouse
-
Citation
-
-
Carvedilol exhibits anti-acute T lymphoblastic leukemia effect in vitro and in vivo via inhibiting β-ARs signaling pathway
-
WB
-
Human
-
Citation
-
-
Wang, F., Yang, L., Xiao, M., Zhang, Z., Shen, J., Anuchapreeda, S., Tima, S., Chiampanichayakul, S., & Xiao, Z.
PD-L1 regulates cell proliferation and apoptosis in acute myeloid leukemia by activating PI3K-AKT signaling pathway
-
WB
-
Human
-
Citation
-
-
Yang, S., Zhu, J., Lu, C., Chai, Y., Cao, Z., Lu, J., Zhang, Z., Zhao, H., Huang, Y. Y., Yao, S., Kong, X., Zhang, P., & Wang, X.
Aligned fibrin/functionalized self-assembling peptide interpenetrating nanofiber hydrogel presenting multi-cues promotes peripheral nerve functional recovery
-
WB
-
Rat
-
Citation
-
-
Ginsenoside Rk1 Prevents UVB Irradiation-Mediated Oxidative Stress, Inflammatory Response, and Collagen Degradation via the PI3K/AKT/NF-κB Pathway In Vitro and In Vivo
-
WB
-
Human
-
Citation
-
-
Nickel nanoparticles affect the migration and invasion of HTR-8/SVneo cells by downregulating MMP2 through the PI3K/AKT pathway
-
WB
-
Human
-
Citation
-
-
Chen Jianghong,et al
Enhancing the therapeutic efficacy of gefitinib on subcutaneously transplanted SKOV3 ovarian cancer tumors in nude mice via ultrasound‑stimulated microbubble cavitation
-
WB
-
Mouse
-
Citation
-
-
Upregulation of glutamate transporter 1 by mTOR/Akt pathway in astrocyte culture during oxygen-glucose deprivation and reoxygenation
-
WB
-
Rat
-
Citation
-