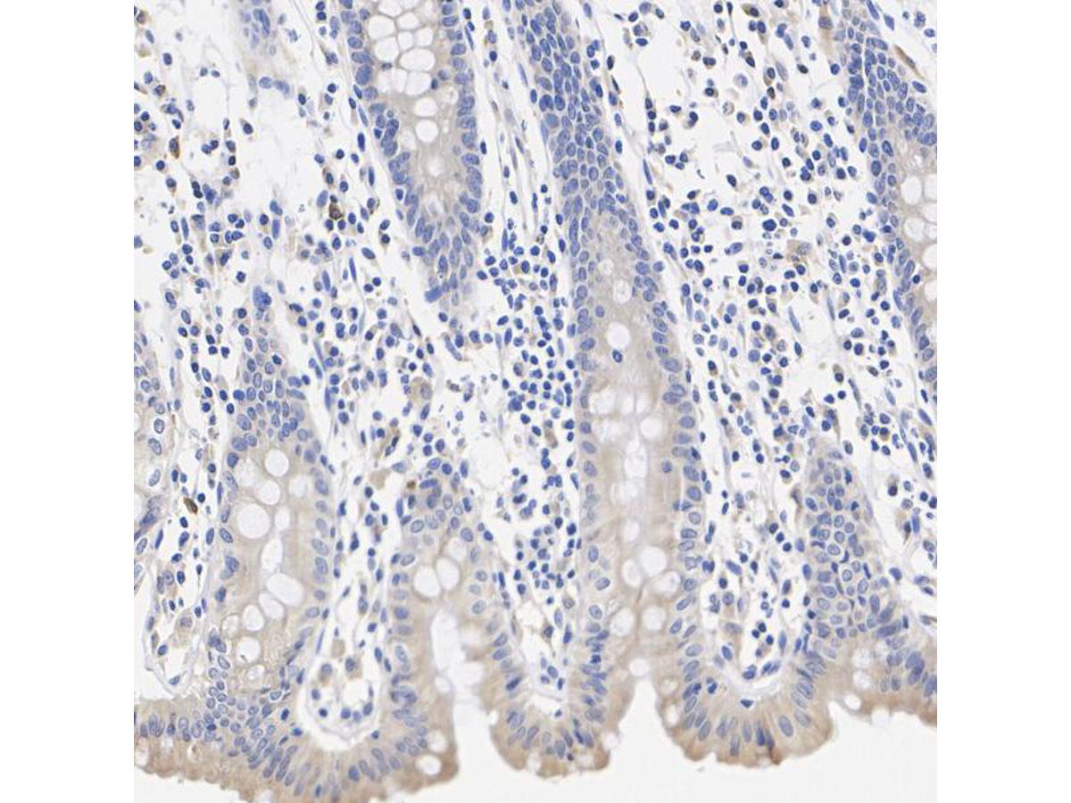
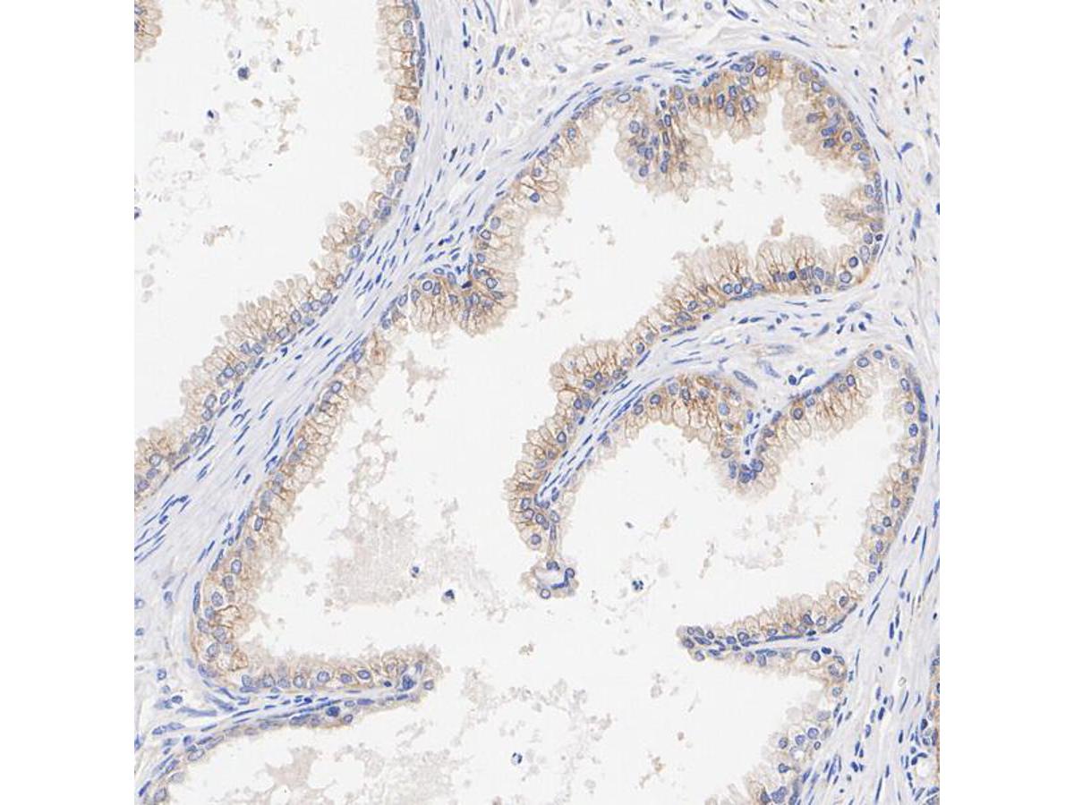
TMEFF2 Recombinant Rabbit Monoclonal Antibody [JE39-42] (HA722861)
Catalog# HA722861
Rabbit Monoclonal to TMEFF2
Tested for
-
WB
-
IHC-P
Reacts with
-
Human
Recombinant production enables lot-to-lot consistency and is animal-cruelty-free