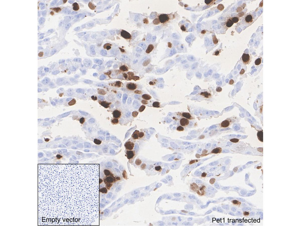
Pet1 Recombinant Rabbit Monoclonal Antibody [PSH07-77] (HA722893)
Catalog# HA722893
Rabbit Monoclonal to Pet1
Tested for
-
WB
-
IF-Cell
-
IHC-P
Reacts with
-
Human
Recombinant production enables lot-to-lot consistency and is animal-cruelty-free